| UNIPROT | Q2VLH6 |
| Иммуноген | RPB726Mu01-Recombinant Cluster Of Differentiation (CD163) |
Polyclonal Antibody to Cluster Of Differentiation (CD163) (PAB726Mu01)
Реактивность подтвержденная:
мышь
Источник (хозяин):
кролик
Валидировано для:
IHC
WB
Характеристики
Техническое описание
| Русское название | PAB726Mu01 Поликлональное антитело к CD163 (мышь) <Cloud-Clone,Китай> |
| Каталожный номер | PAB726Mu01 |
| Название антигена | Cluster Of Differentiation (CD163) |
| UNIPROT | Q2VLH6 |
| Иммуноген | RPB726Mu01-Recombinant Cluster Of Differentiation (CD163) |
| Английские синонимы | CD-163, CD 163, M130, MM130, Scavenger receptor cysteine-rich type 1 protein M130, Hemoglobin scavenger receptor |
| Русские синонимы | Кластер дифференцировки 163 |
Реактивность подтвержденная Нужна другая реактивность? |
мышь |
| Источник (хозяин) | кролик |
| Клональность | поликлональное |
| Рекомбинантное | нет |
| Готовое к использованию | нет |
| Концентрация | 0.5 мг/мл |
| Конъюгат | По запросу: HRP, biotin, PerCP, PE, Cy3, FITC, Cy7, Cy5.5, PE-Cy5, PE-Cy7, PerCp-Cy5.5, APC, Cy5, PE-Cy3, PE-Cy5.5, APC-Cy7, Biotin-APC, FITC-Biotin, TRITC, APC-Cy5, AF488, AF594, AF405, AF555, AF700, AF647, AF750 |
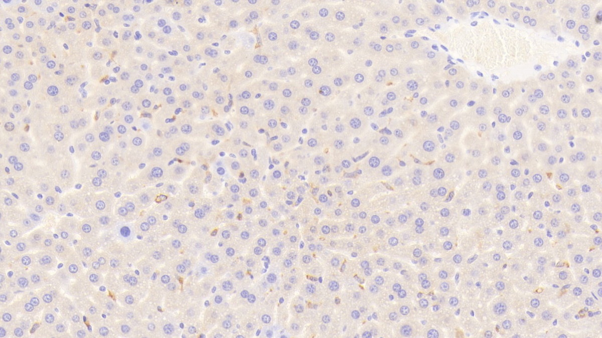
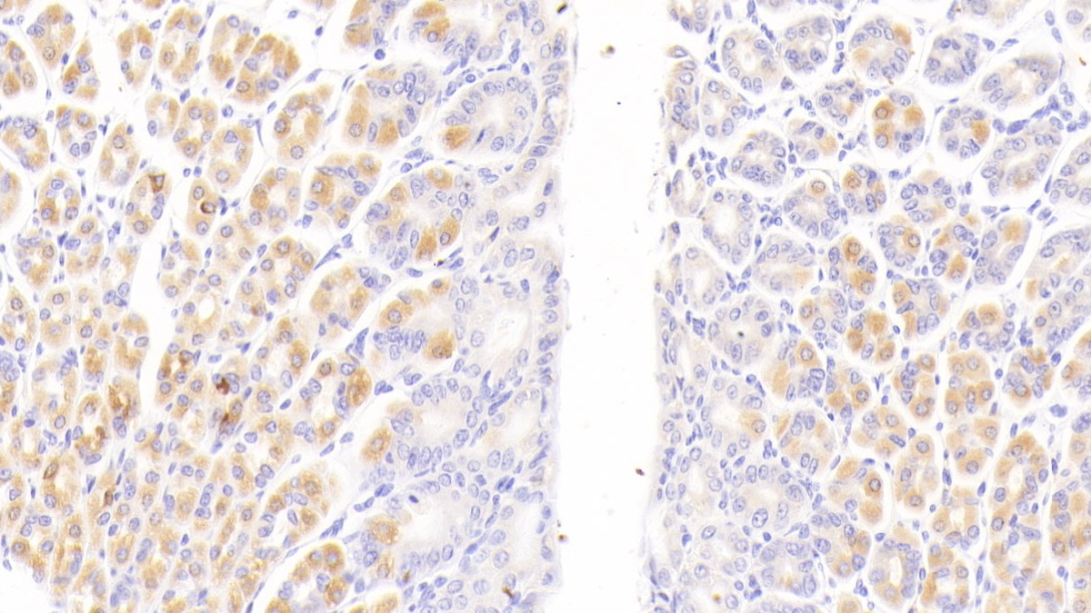
| Валидировано для | IHC WB Иммуногистохимия; Вестерн-блоттинг |
| Рекомендуемые разведения | WB: 0.01-2 мкг/мл; IHC: 5-20 мкг/мл; ICC: 5-20 мкг/мл; Оптимальное разведение определяется конечным потребителем |
| Метод очистки | Антигенспецифическая аффинная хроматография с последующей аффинной хроматографией с белком А |
| Состав буфера | PBS, pH7.4, 0.02% NaN3, 50% глицерин |
| Условия доставки | термобокс с аккумуляторами холода |
| Условия хранения | Сразу после получения аликвотировать и хранить при -20ºС до 24 месяцев. Для частого использования хранить при +4ºС не более 2 недель. Избегать повторения циклов замерзания/оттаивания |
| Срок хранения | 24 месяца |
| Производитель | Cloud-Clone Corp. |
| Ссылка на страницу товара на сайте производителя | http://www.cloud-clone.com/products/PAB726Mu01.html |
|
Артикул
|
Наименование |
Производитель
|
|---|
|
Артикул
|
Наименование |
Производитель
|
|---|
|
Артикул
|
Наименование |
Производитель
|
|---|
|
Артикул
|
Наименование |
Производитель
|
|---|
|
Артикул
|
Наименование |
Производитель
|
|---|
|
Артикул
|
Наименование |
Производитель
|
|---|
Акции и предложения
Популярные продукты:
Anti-HBV HBsAg Polyclonal Antibody (PVV03001)
Источник (хозяин): кролик
Реактивность подтвержденная: вирусы
Валидировано для: ELISA, IHC, WB
Реактивность подтвержденная: вирусы
Валидировано для: ELISA, IHC, WB
Monoclonal Antibody to Thymic Stromal Lymphopoietin (TSLP) (MAB320Hu28)
Источник (хозяин): мышь
Реактивность подтвержденная: человек
Валидировано для: ICC, IF
Реактивность подтвержденная: человек
Валидировано для: ICC, IF
Monoclonal Antibody to Thymic Stromal Lymphopoietin (TSLP) (MAB320Hu26)
Источник (хозяин): мышь
Реактивность подтвержденная: человек
Валидировано для: ICC, IF
Реактивность подтвержденная: человек
Валидировано для: ICC, IF
Goat Angiopoietin 2 ELISA kit (E06A0503)
Организм: коза
Sheep Cell division cycle associated protein 5 ELISA kit (E14C2706)
Организм: овца
Диапазон определения: 25-500 нг/мл
Диапазон определения: 25-500 нг/мл
Human CLIP associating protein 2(CLASP2) ELISA kit (E01C1750)
Организм: человек
Диапазон определения: 50-1000 пг/мл
Чувствительность: 1 пг/мл
Диапазон определения: 50-1000 пг/мл
Чувствительность: 1 пг/мл

