| UNIPROT | D3Z9U2 |
| Иммуноген | RPB726Ra01-Recombinant Cluster Of Differentiation (CD163) |
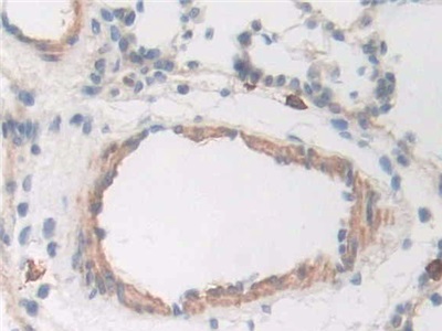
Polyclonal Antibody to Cluster Of Differentiation (CD163) (PAB726Ra01)
Реактивность подтвержденная:
крыса
Источник (хозяин):
кролик
Валидировано для:
IHC
Характеристики
Техническое описание
| Русское название | PAB726Ra01 Поликлональное антитело к CD163 (крыса) <Cloud-Clone,Китай> |
| Каталожный номер | PAB726Ra01 |
| Название антигена | Cluster Of Differentiation (CD163) |
| UNIPROT | D3Z9U2 |
| Иммуноген | RPB726Ra01-Recombinant Cluster Of Differentiation (CD163) |
| Английские синонимы | CD-163, CD 163, M130, MM130, Scavenger receptor cysteine-rich type 1 protein M130, Hemoglobin scavenger receptor |
| Русские синонимы | Кластер дифференцировки 163 |
Реактивность подтвержденная Нужна другая реактивность? |
крыса |
| Источник (хозяин) | кролик |
| Клональность | поликлональное |
| Рекомбинантное | нет |
| Готовое к использованию | нет |
| Концентрация | 0.5 мг/мл |
| Конъюгат | По запросу: HRP, biotin, PerCP, PE, Cy3, FITC, Cy7, Cy5.5, PE-Cy5, PE-Cy7, PerCp-Cy5.5, APC, Cy5, PE-Cy3, PE-Cy5.5, APC-Cy7, Biotin-APC, FITC-Biotin, TRITC, APC-Cy5, AF488, AF594, AF405, AF555, AF700, AF647, AF750 |
| Валидировано для | IHC Иммуногистохимия |
| Рекомендуемые разведения | WB: 0.01-2 мкг/мл; IHC: 5-20 мкг/мл; ICC: 5-20 мкг/мл; Оптимальное разведение определяется конечным потребителем |
| Метод очистки | Антигенспецифическая аффинная хроматография с последующей аффинной хроматографией с белком А |
| Состав буфера | PBS, pH7.4, 0.02% NaN3, 50% глицерин |
| Условия доставки | термобокс с аккумуляторами холода |
| Условия хранения | Сразу после получения аликвотировать и хранить при -20ºС до 24 месяцев. Для частого использования хранить при +4ºС не более 2 недель. Избегать повторения циклов замерзания/оттаивания |
| Срок хранения | 24 месяца |
| Производитель | Cloud-Clone Corp. |
| Ссылка на страницу товара на сайте производителя | http://www.cloud-clone.com/products/PAB726Ra01.html |
|
Артикул
|
Наименование |
Производитель
|
|---|
|
Артикул
|
Наименование |
Производитель
|
|---|
|
Артикул
|
Наименование |
Производитель
|
|---|
|
Артикул
|
Наименование |
Производитель
|
|---|
|
Артикул
|
Наименование |
Производитель
|
|---|
|
Артикул
|
Наименование |
Производитель
|
|---|
Акции и предложения
Популярные продукты:
Monoclonal Antibody to Cyclin Dependent Kinase Inhibitor 2A (CDKN2A) (MAA794Hu24)
Источник (хозяин): мышь
Реактивность подтвержденная: человек
Валидировано для: WB
Реактивность подтвержденная: человек
Валидировано для: WB
Rabbit Methotrexate ELISA kit (E04M0349)
Организм: кролик
Sheep Calponin 3(CNN3) ELISA kit (E14C1855)
Организм: овца
Rat DNA Methyltransferase 1 ELISA kit (E02D0320)
Организм: крыса
Bovine Alkaline ceramidase 3(ACER3) ELISA kit (E11A1190)
Организм: корова

