| UNIPROT | P19221 |
| Иммуноген | RPA820Mu02-Recombinant Coagulation Factor II (F2) |
Polyclonal Antibody to Coagulation Factor II (F2) (PAA820Mu02)
Реактивность подтвержденная:
мышь
Источник (хозяин):
кролик
Валидировано для:
IHC
WB
Характеристики
Техническое описание
| Русское название | PAA820Mu02 Поликлональное антитело к фактору свертывания крови II (мышь) <Cloud-Clone,Китай> |
| Каталожный номер | PAA820Mu02 |
| Название антигена | Coagulation Factor II (F2) |
| UNIPROT | P19221 |
| Иммуноген | RPA820Mu02-Recombinant Coagulation Factor II (F2) |
| Английские синонимы | FII, TM, PT, Thrombin, Prothrombin, Pro-Thrombin, Activation peptide fragment 1, Activation peptide fragment 2, PIVKA-II |
| Русские синонимы | Тромбин |
Реактивность подтвержденная Нужна другая реактивность? |
мышь |
| Реактивность предсказываемая | крыса |
| Источник (хозяин) | кролик |
| Клональность | поликлональное |
| Рекомбинантное | нет |
| Готовое к использованию | нет |
| Концентрация | 500 мкг/мл |
| Конъюгат | По запросу: HRP, biotin, PerCP, PE, Cy3, FITC, Cy7, Cy5.5, PE-Cy5, PE-Cy7, PerCp-Cy5.5, APC, Cy5, PE-Cy3, PE-Cy5.5, APC-Cy7, Biotin-APC, FITC-Biotin, TRITC, APC-Cy5, AF488, AF594, AF405, AF555, AF700, AF647, AF750 |
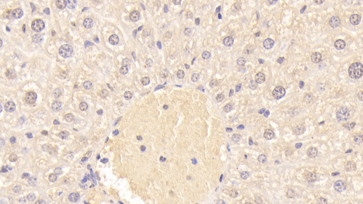
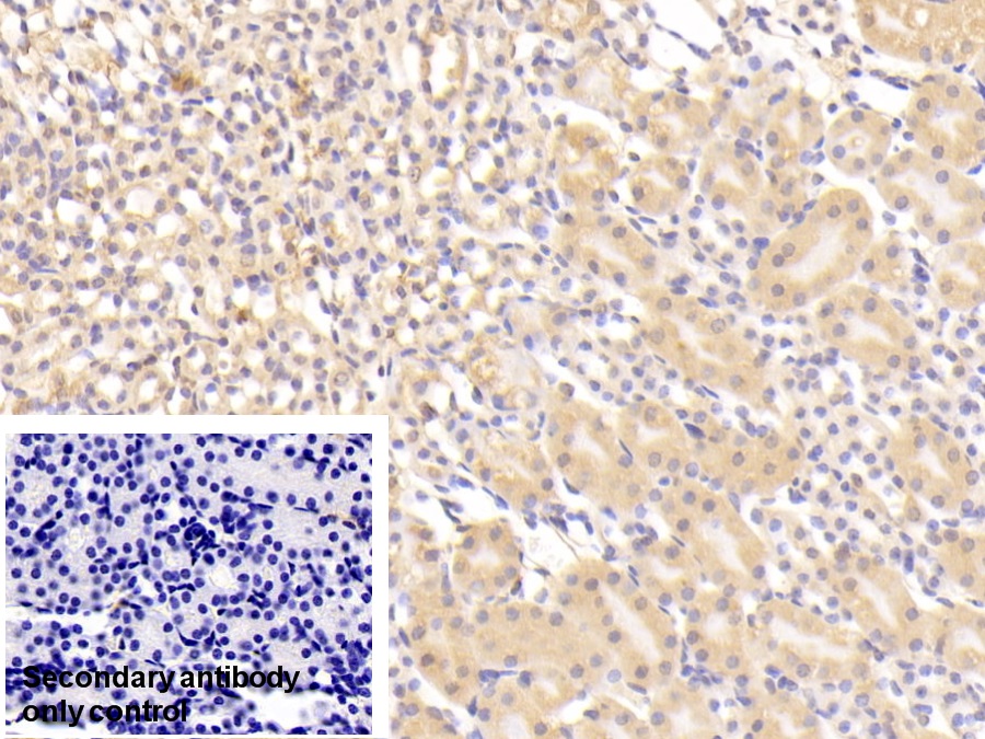
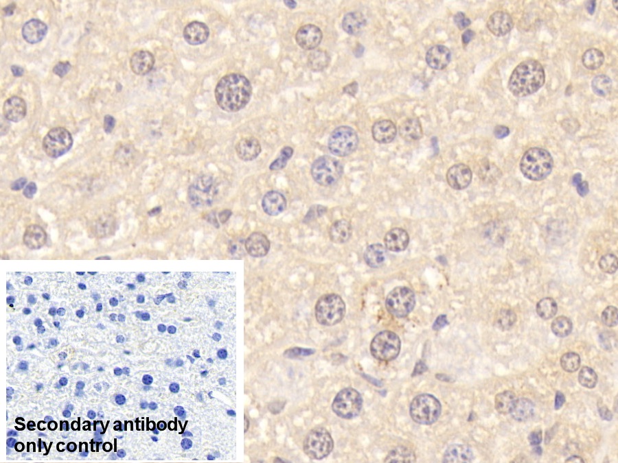
| Валидировано для | IHC WB Иммуногистохимия; Вестерн-блоттинг |
| Рекомендуемые разведения | WB: 0.2-2 мкг/мл; 1:250-2500; IHC: 5-20 мкг/мл; 1:25-100; ICC: 5-20 мкг/мл; 1:25-100; Оптимальное разведение определяется конечным потребителем |
| Метод очистки | Антигенспецифическая аффинная хроматография с последующей аффинной хроматографией с белком А |
| Состав буфера | 0.01M PBS, pH7.4, 0.05% Proclin-300, 50% глицерин |
| Условия доставки | термобокс с аккумуляторами холода |
| Условия хранения | Сразу после получения аликвотировать и хранить при -20ºС до 24 месяцев. Для частого использования хранить при +4ºС не более 2 недель. Избегать повторения циклов замерзания/оттаивания |
| Срок хранения | 24 месяца |
| Производитель | Cloud-Clone Corp. |
| Ссылка на страницу товара на сайте производителя | http://www.cloud-clone.com/products/PAA820Mu02.html |
|
Артикул
|
Наименование |
Производитель
|
|---|
|
Артикул
|
Наименование |
Производитель
|
|---|
|
Артикул
|
Наименование |
Производитель
|
|---|
|
Артикул
|
Наименование |
Производитель
|
|---|
|
Артикул
|
Наименование |
Производитель
|
|---|
|
Артикул
|
Наименование |
Производитель
|
|---|
|
Артикул
|
Наименование |
Производитель
|
|---|
Акции и предложения
Популярные продукты:
Human Acyl CoA synthetase family member 2, mitochondrial(ACSF2) ELISA kit (E01A1207)
Организм: человек
Диапазон определения: 10-250 нг/мл
Чувствительность: 1 нг/мл
Диапазон определения: 10-250 нг/мл
Чувствительность: 1 нг/мл
Porcine Chromobox protein homolog 1(CBX1) ELISA kit (E07C1420)
Организм: свинья

