| UNIPROT | P12259 |
| Иммуноген | RPA675Hu01-Recombinant Coagulation Factor V (F5) |
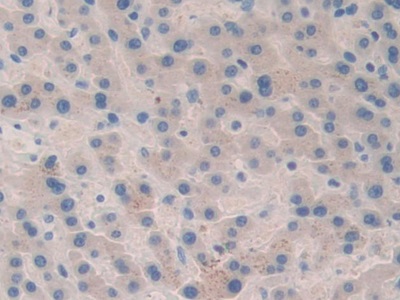
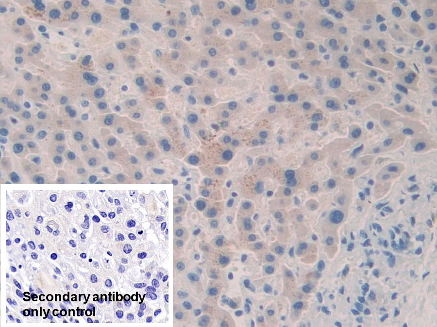
Polyclonal Antibody to Coagulation Factor V (F5) (PAA675Hu01)
Реактивность подтвержденная:
человек
Источник (хозяин):
кролик
Валидировано для:
IHC
WB
Характеристики
Техническое описание
| Русское название | PAA675Hu01 Поликлональное антитело к фактору свертывания крови V (человек) <Cloud-Clone,Китай> |
| Каталожный номер | PAA675Hu01 |
| Название антигена | Coagulation Factor V (F5) |
| UNIPROT | P12259 |
| Иммуноген | RPA675Hu01-Recombinant Coagulation Factor V (F5) |
| Английские синонимы | FV, FVL, PCCF, Proaccelerin, Labile Factor, Factor V Leiden, Accelerator Globulin, Activated protein C cofactor, Proaccelerin, labile factor |
| Русские синонимы | Проацеклерин |
Реактивность подтвержденная Нужна другая реактивность? |
человек |
| Источник (хозяин) | кролик |
| Клональность | поликлональное |
| Рекомбинантное | нет |
| Готовое к использованию | нет |
| Концентрация | 0.5 мг/мл |
| Конъюгат | По запросу: HRP, biotin, PerCP, PE, Cy3, FITC, Cy7, Cy5.5, PE-Cy5, PE-Cy7, PerCp-Cy5.5, APC, Cy5, PE-Cy3, PE-Cy5.5, APC-Cy7, Biotin-APC, FITC-Biotin, TRITC, APC-Cy5, AF488, AF594, AF405, AF555, AF700, AF647, AF750 |
| Валидировано для | IHC WB Иммуногистохимия; Вестерн-блоттинг |
| Рекомендуемые разведения | WB: 0.01-2 мкг/мл; IHC: 5-30 мкг/мл; IF: 5-20 мкг/мл; Оптимальное разведение определяется конечным потребителем |
| Метод очистки | Антигенспецифическая аффинная хроматография с последующей аффинной хроматографией с белком А |
| Состав буфера | 0.01M PBS, pH7.4, 0.05% Proclin-300, 50% глицерин |
| Условия доставки | термобокс с аккумуляторами холода |
| Условия хранения | Сразу после получения аликвотировать и хранить при -20ºС до 24 месяцев. Для частого использования хранить при +4ºС не более 2 недель. Избегать повторения циклов замерзания/оттаивания |
| Срок хранения | 24 месяца |
| Производитель | Cloud-Clone Corp. |
| Ссылка на страницу товара на сайте производителя | http://www.cloud-clone.com/products/PAA675Hu01.html |
|
Артикул
|
Наименование |
Производитель
|
|---|
|
Артикул
|
Наименование |
Производитель
|
|---|
|
Артикул
|
Наименование |
Производитель
|
|---|
|
Артикул
|
Наименование |
Производитель
|
|---|
|
Артикул
|
Наименование |
Производитель
|
|---|
|
Артикул
|
Наименование |
Производитель
|
|---|
Акции и предложения
Популярные продукты:
ELISA Kit DIY Materials for Alpha-Fetoprotein (AFP) (KSA153Ra01)
Организм: крыса
Диапазон определения: 0.312-20 нг/мл
Чувствительность: 0.114 нг/мл
Диапазон определения: 0.312-20 нг/мл
Чувствительность: 0.114 нг/мл
Rabbit Krueppel-like factor 2 ELISA kit (E04K0208)
Организм: кролик
Rabbit Centromere Protein I ELISA kit (E04C0645)
Организм: кролик
Anti-PPIC Polyclonal Antibody (PHE45301)
Источник (хозяин): кролик
Реактивность подтвержденная: человек, мышь, крыса
Валидировано для: ELISA, IHC, WB
Реактивность подтвержденная: человек, мышь, крыса
Валидировано для: ELISA, IHC, WB
Anti-HLA-A2-peptide (YLEPGPVT) Complex Antibody (2C5) (RHM03010)
Источник (хозяин): мышь
Реактивность подтвержденная: человек
Валидировано для: ELISA
Реактивность подтвержденная: человек
Валидировано для: ELISA
Recombinant Human PCDHB2 Protein, N-His (YHJ88901)
Источник (хозяин): E.coli
Организм: человек
Фрагмент: Leu54-Arg291
Теги: N-His
Биоактивность: нет
Организм: человек
Фрагмент: Leu54-Arg291
Теги: N-His
Биоактивность: нет

