| UNIPROT | P12259 |
| Иммуноген | RPA675Hu03-Recombinant Coagulation Factor V (F5) |
Polyclonal Antibody to Coagulation Factor V (F5) (PAA675Hu03)
Реактивность подтвержденная:
человек
Источник (хозяин):
кролик
Валидировано для:
IHC
WB
Характеристики
Техническое описание
| Русское название | PAA675Hu03 Поликлональное антитело к фактору свертывания крови V (человек) <Cloud-Clone,Китай> |
| Каталожный номер | PAA675Hu03 |
| Название антигена | Coagulation Factor V (F5) |
| UNIPROT | P12259 |
| Иммуноген | RPA675Hu03-Recombinant Coagulation Factor V (F5) |
| Английские синонимы | FV, FVL, PCCF, Proaccelerin, Labile Factor, Factor V Leiden, Accelerator Globulin, Activated protein C cofactor, Proaccelerin, labile factor |
| Русские синонимы | Проацеклерин |
Реактивность подтвержденная Нужна другая реактивность? |
человек |
| Реактивность предсказываемая | мышь, свинья |
| Источник (хозяин) | кролик |
| Клональность | поликлональное |
| Рекомбинантное | нет |
| Готовое к использованию | нет |
| Концентрация | 0.5 мг/мл |
| Конъюгат | По запросу: HRP, biotin, PerCP, PE, Cy3, FITC, Cy7, Cy5.5, PE-Cy5, PE-Cy7, PerCp-Cy5.5, APC, Cy5, PE-Cy3, PE-Cy5.5, APC-Cy7, Biotin-APC, FITC-Biotin, TRITC, APC-Cy5, AF488, AF594, AF405, AF555, AF700, AF647, AF750 |
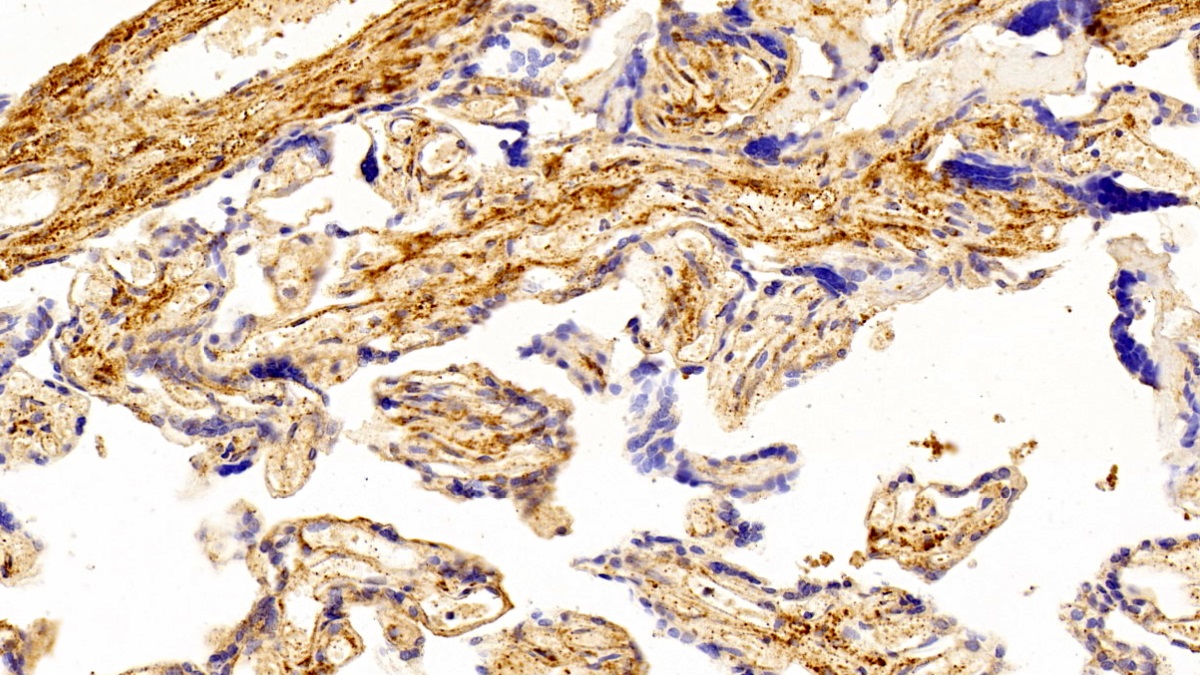
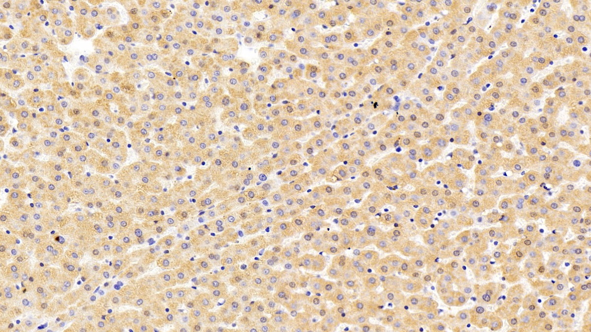
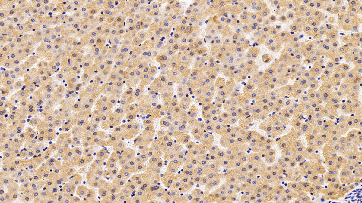
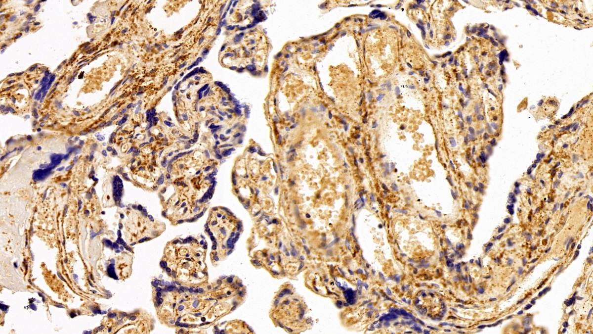
| Валидировано для | IHC WB Иммуногистохимия; Вестерн-блоттинг |
| Рекомендуемые разведения | WB: 0.01-2 мкг/мл; IHC: 5-20 мкг/мл; ICC: 5-20 мкг/мл; Оптимальное разведение определяется конечным потребителем |
| Метод очистки | Антигенспецифическая аффинная хроматография с последующей аффинной хроматографией с белком А |
| Состав буфера | 0.01M PBS, pH7.4, 0.05% Proclin-300, 50% глицерин |
| Условия доставки | термобокс с аккумуляторами холода |
| Условия хранения | Сразу после получения аликвотировать и хранить при -20ºС до 24 месяцев. Для частого использования хранить при +4ºС не более 2 недель. Избегать повторения циклов замерзания/оттаивания |
| Срок хранения | 24 месяца |
| Производитель | Cloud-Clone Corp. |
| Ссылка на страницу товара на сайте производителя | http://www.cloud-clone.com/products/PAA675Hu03.html |
|
Артикул
|
Наименование |
Производитель
|
|---|
|
Артикул
|
Наименование |
Производитель
|
|---|
|
Артикул
|
Наименование |
Производитель
|
|---|
|
Артикул
|
Наименование |
Производитель
|
|---|
|
Артикул
|
Наименование |
Производитель
|
|---|
|
Артикул
|
Наименование |
Производитель
|
|---|
Акции и предложения
Популярные продукты:
Chicken Antidiuretic hormone ELISA kit (E12A0430)
Организм: курица
Recombinant Human PHLPP1 Protein, N-His (YHA89101)
Источник (хозяин): E.coli
Организм: человек
Фрагмент: Ser1168-Thr1425
Теги: N-His
Биоактивность: нет
Организм: человек
Фрагмент: Ser1168-Thr1425
Теги: N-His
Биоактивность: нет
Recombinant Human FBXO3 Protein, N-His (YHK01501)
Источник (хозяин): E.coli
Организм: человек
Фрагмент: Val155-Phe471
Теги: N-His
Биоактивность: нет
Организм: человек
Фрагмент: Val155-Phe471
Теги: N-His
Биоактивность: нет
KBTBD11 Polyclonal Antibody (E-AB-52073)
Источник (хозяин): кролик
Реактивность подтвержденная: человек, мышь
Валидировано для: IHC
Реактивность подтвержденная: человек, мышь
Валидировано для: IHC
PE Anti-Human CD79a Antibody[HM47] (E-AB-F1370D)
Источник (хозяин): мышь
Реактивность подтвержденная: человек
Валидировано для: FCM
Реактивность подтвержденная: человек
Валидировано для: FCM
Elab Fluor® Red 780 Anti-Mouse/Human CD11b Antibody[M1/70] (E-AB-F1081US)
Источник (хозяин): крыса
Реактивность подтвержденная: человек, мышь
Валидировано для: FCM
Реактивность подтвержденная: человек, мышь
Валидировано для: FCM

