| UNIPROT | P70375 |
| Иммуноген | RPB874Mu02-Recombinant Coagulation Factor VII (F7) |
Polyclonal Antibody to Coagulation Factor VII (F7) (PAB874Mu02)
Реактивность подтвержденная:
мышь
Источник (хозяин):
кролик
Валидировано для:
IHC
WB
Характеристики
Техническое описание
| Русское название | PAB874Mu02 Поликлональное антитело к фактору свертывания крови VII (мышь) <Cloud-Clone,Китай> |
| Каталожный номер | PAB874Mu02 |
| Название антигена | Coagulation Factor VII (F7) |
| UNIPROT | P70375 |
| Иммуноген | RPB874Mu02-Recombinant Coagulation Factor VII (F7) |
| Английские синонимы | FVII, SPCA, proconvertin, Cothromboplastin, Serum Prothrombin Conversation Accelerator, Stable Factor, Eptacog alfa |
| Русские синонимы | Проконвертин |
Реактивность подтвержденная Нужна другая реактивность? |
мышь |
| Реактивность предсказываемая | крыса |
| Источник (хозяин) | кролик |
| Клональность | поликлональное |
| Рекомбинантное | нет |
| Готовое к использованию | нет |
| Концентрация | 500 мкг/мл |
| Конъюгат | По запросу: HRP, biotin, PerCP, PE, Cy3, FITC, Cy7, Cy5.5, PE-Cy5, PE-Cy7, PerCp-Cy5.5, APC, Cy5, PE-Cy3, PE-Cy5.5, APC-Cy7, Biotin-APC, FITC-Biotin, TRITC, APC-Cy5, AF488, AF594, AF405, AF555, AF700, AF647, AF750 |
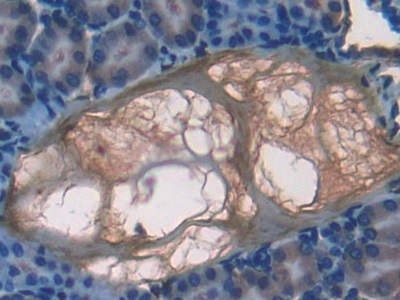
| Валидировано для | IHC WB Иммуногистохимия; Вестерн-блоттинг |
| Рекомендуемые разведения | WB: 0.5-5 мкг/мл; IHC: 5-20 мкг/мл; ICC: 5-20 мкг/мл; Оптимальное разведение определяется конечным потребителем |
| Метод очистки | Антигенспецифическая аффинная хроматография с последующей аффинной хроматографией с белком А |
| Состав буфера | 0.01M PBS, pH7.4, 0.05% Proclin-300, 50% глицерин |
| Условия доставки | термобокс с аккумуляторами холода |
| Условия хранения | Сразу после получения аликвотировать и хранить при -20ºС до 24 месяцев. Для частого использования хранить при +4ºС не более 2 недель. Избегать повторения циклов замерзания/оттаивания |
| Срок хранения | 24 месяца |
| Производитель | Cloud-Clone Corp. |
| Ссылка на страницу товара на сайте производителя | http://www.cloud-clone.com/products/PAB874Mu02.html |
|
Артикул
|
Наименование |
Производитель
|
|---|
|
Артикул
|
Наименование |
Производитель
|
|---|
|
Артикул
|
Наименование |
Производитель
|
|---|
|
Артикул
|
Наименование |
Производитель
|
|---|
|
Артикул
|
Наименование |
Производитель
|
|---|
|
Артикул
|
Наименование |
Производитель
|
|---|
Акции и предложения
Популярные продукты:
Rabbit Cullin 4B(CUL4B) ELISA kit (E04C2185)
Организм: кролик
Bovine Complexin 3(CPLX3) ELISA kit (E11C2004)
Организм: корова
Monkey Centrin 2(CETN2) ELISA kit (E09C1627)
Организм: обезьяна
Monkey Glutamate Cysteine Ligase Catalytic subunit ELISA kit (E09G0104)
Организм: обезьяна

