| UNIPROT | P98139 |
| Иммуноген | RPB874Rb01-Recombinant Coagulation Factor VII (F7) |
Polyclonal Antibody to Coagulation Factor VII (F7) (PAB874Rb51)
Реактивность подтвержденная:
кролик
Источник (хозяин):
морская свинка
Валидировано для:
IHC
Характеристики
Техническое описание
| Русское название | PAB874Rb51 Поликлональное антитело к фактору свертывания крови VII (кролик) <Cloud-Clone,Китай> |
| Каталожный номер | PAB874Rb51 |
| Название антигена | Coagulation Factor VII (F7) |
| UNIPROT | P98139 |
| Иммуноген | RPB874Rb01-Recombinant Coagulation Factor VII (F7) |
| Английские синонимы | FVII, SPCA, proconvertin, Cothromboplastin, Serum Prothrombin Conversation Accelerator, Stable Factor, Eptacog alfa |
| Русские синонимы | Проконвертин |
Реактивность подтвержденная Нужна другая реактивность? |
кролик |
| Источник (хозяин) | морская свинка |
| Клональность | поликлональное |
| Рекомбинантное | нет |
| Готовое к использованию | нет |
| Концентрация | 500 мкг/мл |
| Конъюгат | По запросу: HRP, biotin, PerCP, PE, Cy3, FITC, Cy7, Cy5.5, PE-Cy5, PE-Cy7, PerCp-Cy5.5, APC, Cy5, PE-Cy3, PE-Cy5.5, APC-Cy7, Biotin-APC, FITC-Biotin, TRITC, APC-Cy5, AF488, AF594, AF405, AF555, AF700, AF647, AF750 |
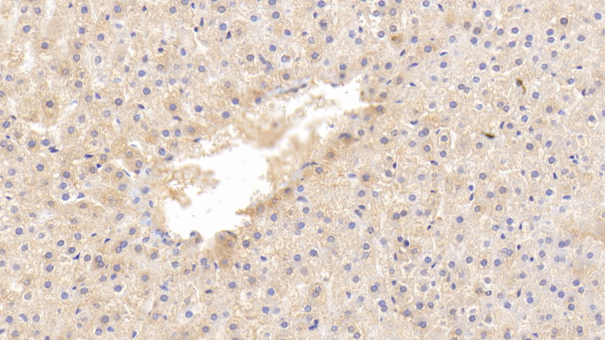
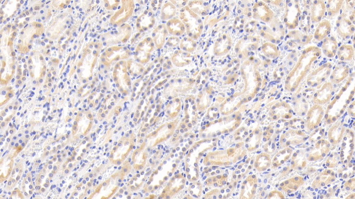
| Валидировано для | IHC Иммуногистохимия |
| Рекомендуемые разведения | WB: 0.2-2 мкг/мл; 1:250-2500; IHC: 5-20 мкг/мл; 1:25-100; ICC: 5-20 мкг/мл; 1:25-100; Оптимальное разведение определяется конечным потребителем |
| Метод очистки | Антигенспецифическая аффинная хроматография с последующей аффинной хроматографией с белком А |
| Состав буфера | 0.01M PBS, pH7.4, 0.05% Proclin-300, 50% глицерин |
| Условия доставки | термобокс с аккумуляторами холода |
| Условия хранения | Сразу после получения аликвотировать и хранить при -20ºС до 24 месяцев. Для частого использования хранить при +4ºС не более 2 недель. Избегать повторения циклов замерзания/оттаивания |
| Срок хранения | 24 месяца |
| Производитель | Cloud-Clone Corp. |
| Ссылка на страницу товара на сайте производителя | http://www.cloud-clone.com/products/PAB874Rb51.html |
|
Артикул
|
Наименование |
Производитель
|
|---|
|
Артикул
|
Наименование |
Производитель
|
|---|
|
Артикул
|
Наименование |
Производитель
|
|---|
|
Артикул
|
Наименование |
Производитель
|
|---|
|
Артикул
|
Наименование |
Производитель
|
|---|
|
Артикул
|
Наименование |
Производитель
|
|---|
Акции и предложения
Популярные продукты:
Anti-GPM6B Polyclonal Antibody (PHG55701)
Источник (хозяин): кролик
Реактивность подтвержденная: человек, мышь, крыса
Валидировано для: ELISA, WB
Реактивность подтвержденная: человек, мышь, крыса
Валидировано для: ELISA, WB
Anti-Tumor Necrosis Factor Alpha (TNFa) Monoclonal Antibody (FAA133Bo02)
Источник (хозяин): мышь
Реактивность подтвержденная: корова
Валидировано для: FCM
Реактивность подтвержденная: корова
Валидировано для: FCM
Monkey Putrescine ELISA kit (E09P1258)
Организм: обезьяна
Rabbit Putrescine ELISA kit (E04P1258)
Организм: кролик
Human NLR Pyrin Domain Containing Proteins 3 ELISA kit (E01N0593)
Организм: человек

