| UNIPROT | P00741 |
| Иммуноген | RPB878Hu02-Recombinant Coagulation Factor VIII (F8) |
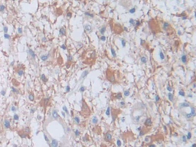
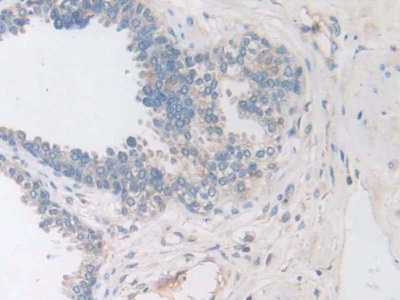
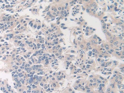
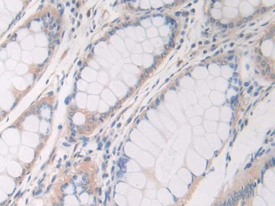
Polyclonal Antibody to Coagulation Factor VIII (F8) (PAB878Hu02)
Реактивность подтвержденная:
человек
Источник (хозяин):
кролик
Валидировано для:
IHC
Характеристики
Техническое описание
| Русское название | PAB878Hu02 Поликлональное антитело к фактору свертывания крови VIII (человек) <Cloud-Clone,Китай> |
| Каталожный номер | PAB878Hu02 |
| Название антигена | Coagulation Factor VIII (F8) |
| UNIPROT | P00741 |
| Иммуноген | RPB878Hu02-Recombinant Coagulation Factor VIII (F8) |
| Английские синонимы | FVIII, AHF, HEMA, F8B, F8C, Antihemophilic Globulin, Hemophilia A, Anti-Hemophilic Factor A, FVIII Procoagulant Component, F8 Protein |
| Русские синонимы | Антигемофильный глобулин |
Реактивность подтвержденная Нужна другая реактивность? |
человек |
| Источник (хозяин) | кролик |
| Клональность | поликлональное |
| Рекомбинантное | нет |
| Готовое к использованию | нет |
| Концентрация | 0.5 мг/мл |
| Конъюгат | По запросу: HRP, biotin, PerCP, PE, Cy3, FITC, Cy7, Cy5.5, PE-Cy5, PE-Cy7, PerCp-Cy5.5, APC, Cy5, PE-Cy3, PE-Cy5.5, APC-Cy7, Biotin-APC, FITC-Biotin, TRITC, APC-Cy5, AF488, AF594, AF405, AF555, AF700, AF647, AF750 |
| Валидировано для | IHC Иммуногистохимия |
| Рекомендуемые разведения | WB: 0.01-2 мкг/мл; IHC: 5-20 мкг/мл; IF: 5-20 мкг/мл; Оптимальное разведение определяется конечным потребителем |
| Метод очистки | Антигенспецифическая аффинная хроматография с последующей аффинной хроматографией с белком А |
| Состав буфера | PBS, pH7.4, 0.02% NaN3, 50% глицерин |
| Условия доставки | термобокс с аккумуляторами холода |
| Условия хранения | Сразу после получения аликвотировать и хранить при -20ºС до 24 месяцев. Для частого использования хранить при +4ºС не более 2 недель. Избегать повторения циклов замерзания/оттаивания |
| Срок хранения | 24 месяца |
| Производитель | Cloud-Clone Corp. |
| Ссылка на страницу товара на сайте производителя | http://www.cloud-clone.com/products/PAB878Hu02.html |
|
Артикул
|
Наименование |
Производитель
|
|---|
|
Артикул
|
Наименование |
Производитель
|
|---|
|
Артикул
|
Наименование |
Производитель
|
|---|
|
Артикул
|
Наименование |
Производитель
|
|---|
|
Артикул
|
Наименование |
Производитель
|
|---|
|
Артикул
|
Наименование |
Производитель
|
|---|
|
Артикул
|
Наименование |
Производитель
|
|---|
|
Артикул
|
Наименование |
Производитель
|
|---|
Акции и предложения
Популярные продукты:
Anti-Human CD94/KLRD1 Antibody (Fs0381), FITC (FHG45611)
Источник (хозяин): человек
Реактивность подтвержденная: человек
Валидировано для: ELISA, FCM, FuncS
Реактивность подтвержденная: человек
Валидировано для: ELISA, FCM, FuncS
Monoclonal Antibody to Peripheral Myelin Protein 22 (PMP22) (MAC746Hu23)
Источник (хозяин): мышь
Реактивность подтвержденная: человек
Валидировано для: IHC
Реактивность подтвержденная: человек
Валидировано для: IHC
Monoclonal Antibody to Peripheral Myelin Protein 22 (PMP22) (MAC746Hu22)
Источник (хозяин): мышь
Реактивность подтвержденная: человек
Валидировано для: IHC
Реактивность подтвержденная: человек
Валидировано для: IHC
ELISA Kit for 2,3-Bisphosphoglycerate (2,3-BPG) (CEA983Ge)
Организм: для всех
Диапазон определения: 1.23-100 мкг/мл
Чувствительность: 0.057 нг/мл
Диапазон определения: 1.23-100 мкг/мл
Чувствительность: 0.057 нг/мл
Guinea Pig U4/U6 small nuclear ribonucleoprotein Prp3(PRPF3) ELISA kit (E05U0038)
Организм: морская свинка

