| UNIPROT | P00748 |
| Иммуноген | RPA677Hu01-Recombinant Coagulation Factor XII (F12) |
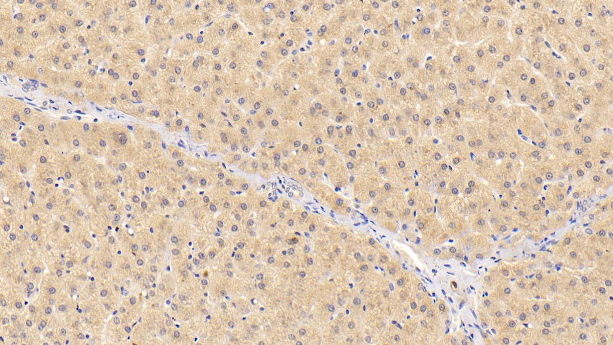
Polyclonal Antibody to Coagulation Factor XII (F12) (PAA677Hu01)
Реактивность подтвержденная:
человек
Источник (хозяин):
кролик
Валидировано для:
IHC
WB
Характеристики
Техническое описание
| Русское название | PAA677Hu01 Поликлональное антитело к фактору свертывания крови XII (человек) <Cloud-Clone,Китай> |
| Каталожный номер | PAA677Hu01 |
| Название антигена | Coagulation Factor XII (F12) |
| UNIPROT | P00748 |
| Иммуноген | RPA677Hu01-Recombinant Coagulation Factor XII (F12) |
| Английские синонимы | FXII, HAF, Contact Factor, Hageman Factor |
| Русские синонимы | Фактор Хагемана |
Реактивность подтвержденная Нужна другая реактивность? |
человек |
| Реактивность предсказываемая | свинья |
| Источник (хозяин) | кролик |
| Клональность | поликлональное |
| Рекомбинантное | нет |
| Готовое к использованию | нет |
| Концентрация | 0.24 мг/мл |
| Конъюгат | По запросу: HRP, biotin, PerCP, PE, Cy3, FITC, Cy7, Cy5.5, PE-Cy5, PE-Cy7, PerCp-Cy5.5, APC, Cy5, PE-Cy3, PE-Cy5.5, APC-Cy7, Biotin-APC, FITC-Biotin, TRITC, APC-Cy5, AF488, AF594, AF405, AF555, AF700, AF647, AF750 |
| Валидировано для | IHC WB Иммуногистохимия; Вестерн-блоттинг |
| Рекомендуемые разведения | WB: 0.01-3 мкг/мл; IHC: 5-30 мкг/мл; ICC: 5-30 мкг/мл; Оптимальное разведение определяется конечным потребителем |
| Метод очистки | Антигенспецифическая аффинная хроматография с последующей аффинной хроматографией с белком А |
| Состав буфера | PBS, pH7.4, 0.02% NaN3, 50% глицерин |
| Условия доставки | термобокс с аккумуляторами холода |
| Условия хранения | Сразу после получения аликвотировать и хранить при -20ºС до 24 месяцев. Для частого использования хранить при +4ºС не более 2 недель. Избегать повторения циклов замерзания/оттаивания |
| Срок хранения | 24 месяца |
| Производитель | Cloud-Clone Corp. |
| Ссылка на страницу товара на сайте производителя | http://www.cloud-clone.com/products/PAA677Hu01.html |
|
Артикул
|
Наименование |
Производитель
|
|---|
|
Артикул
|
Наименование |
Производитель
|
|---|
|
Артикул
|
Наименование |
Производитель
|
|---|
|
Артикул
|
Наименование |
Производитель
|
|---|
|
Артикул
|
Наименование |
Производитель
|
|---|
Акции и предложения
Популярные продукты:
p70 S6 Kinase Mouse Monoclonal Antibody (BF8161)
Источник (хозяин): мышь
Реактивность подтвержденная: человек, мышь
Валидировано для: WB
Реактивность подтвержденная: человек, мышь
Валидировано для: WB
NF kappaB p105/p50 Mouse Monoclonal Antibody (BF8151)
Источник (хозяин): мышь
Реактивность подтвержденная: человек, крыса
Валидировано для: IHC, WB
Реактивность подтвержденная: человек, крыса
Валидировано для: IHC, WB
Anti-Phosphoinositide Dependent Protein Kinase 1 (PDPK1) Polyclonal Antibody (FAC246Hu01)
Источник (хозяин): кролик
Реактивность подтвержденная: человек
Валидировано для: FCM
Реактивность подтвержденная: человек
Валидировано для: FCM
Maltose Colorimetric Assay Kit (E-BC-K756-M)
Организм: для всех
Диапазон определения: 0.01 мг/мл
Чувствительность: 0.01-1.00 мг/мл
Диапазон определения: 0.01 мг/мл
Чувствительность: 0.01-1.00 мг/мл

