| UNIPROT | Q9Y2Z9 |
| Иммуноген | RPR876Hu01-Recombinant Coenzyme Q6 Homolog, Monooxygenase (COQ6) |
Polyclonal Antibody to Coenzyme Q6 Homolog, Monooxygenase (COQ6) (PAR876Hu01)
Реактивность подтвержденная:
человек
Источник (хозяин):
кролик
Валидировано для:
FCM
IHC
WB
Характеристики
Техническое описание
| Русское название | PAR876Hu01 Поликлональное антитело к COQ6 (человек) <Cloud-Clone,Китай> |
| Каталожный номер | PAR876Hu01 |
| Название антигена | Coenzyme Q6 Homolog, Monooxygenase (COQ6) |
| UNIPROT | Q9Y2Z9 |
| Иммуноген | RPR876Hu01-Recombinant Coenzyme Q6 Homolog, Monooxygenase (COQ6) |
| Английские синонимы | CGI-10, Coenzyme Q10 monooxygenase 6, Ubiquinone biosynthesis monooxygenase COQ6, mitochondrial |
Реактивность подтвержденная Нужна другая реактивность? |
человек |
| Реактивность предсказываемая | мышь, крыса, свинья |
| Источник (хозяин) | кролик |
| Клональность | поликлональное |
| Рекомбинантное | нет |
| Готовое к использованию | нет |
| Концентрация | 500 мкг/мл |
| Конъюгат | По запросу: HRP, biotin, PerCP, PE, Cy3, FITC, Cy7, Cy5.5, PE-Cy5, PE-Cy7, PerCp-Cy5.5, APC, Cy5, PE-Cy3, PE-Cy5.5, APC-Cy7, Biotin-APC, FITC-Biotin, TRITC, APC-Cy5, AF488, AF594, AF405, AF555, AF700, AF647, AF750 |
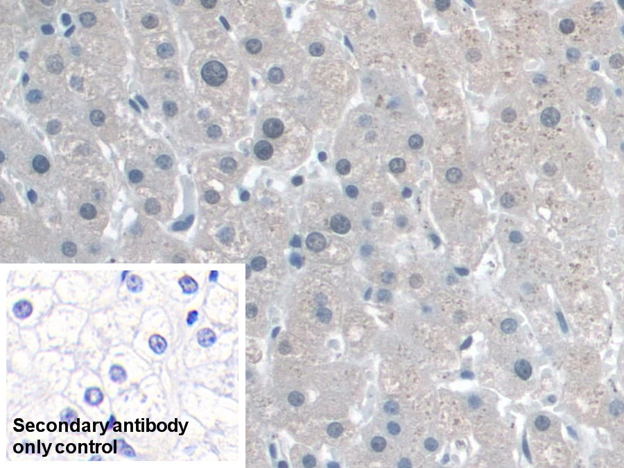
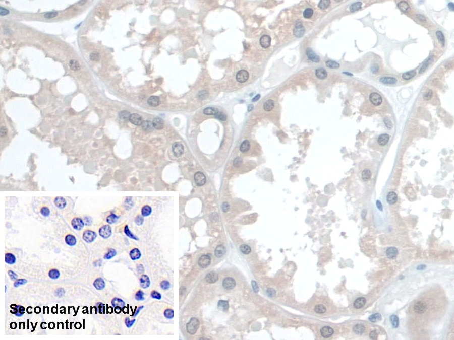
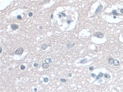
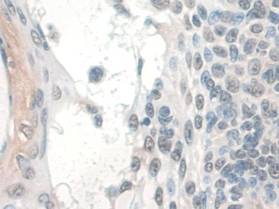
| Валидировано для | FCM IHC WB Проточная цитометрия; Иммуногистохимия; Вестерн-блоттинг |
| Рекомендуемые разведения | WB: 0.5-2 мкг/мл; IHC: 5-20 мкг/мл; ICC: 5-20 мкг/мл; FCM: 20 мкг/мл; Оптимальное разведение определяется конечным потребителем |
| Метод очистки | Антигенспецифическая аффинная хроматография с последующей аффинной хроматографией с белком А |
| Состав буфера | PBS, pH7.4, 0.02% NaN3, 50% глицерин |
| Условия доставки | термобокс с аккумуляторами холода |
| Условия хранения | Сразу после получения аликвотировать и хранить при -20ºС до 24 месяцев. Для частого использования хранить при +4ºС не более 2 недель. Избегать повторения циклов замерзания/оттаивания |
| Срок хранения | 24 месяца |
| Производитель | Cloud-Clone Corp. |
| Ссылка на страницу товара на сайте производителя | http://www.cloud-clone.com/products/PAR876Hu01.html |
|
Артикул
|
Наименование |
Производитель
|
|---|
|
Артикул
|
Наименование |
Производитель
|
|---|
|
Артикул
|
Наименование |
Производитель
|
|---|
Акции и предложения
Популярные продукты:
Porcine Zinc finger protein neuro d4(DPF1) ELISA kit (E07Z0006)
Организм: свинья
Monkey Platelet Derived Growth Factor BB ELISA kit (E09P0043)
Организм: обезьяна
Mouse Protein Kinase Inhibitor Alpha ELISA kit (E03P0115)
Организм: мышь
Canine Neurotrophin 3 ELISA kit (E08N0018)
Организм: собака
Диапазон определения: 250-5000 пг/мл
Чувствительность: 1 пг/мл
Диапазон определения: 250-5000 пг/мл
Чувствительность: 1 пг/мл

