| UNIPROT | P97290 |
| Иммуноген | RPA235Mu02-Recombinant Complement 1 Inhibitor (C1INH) |
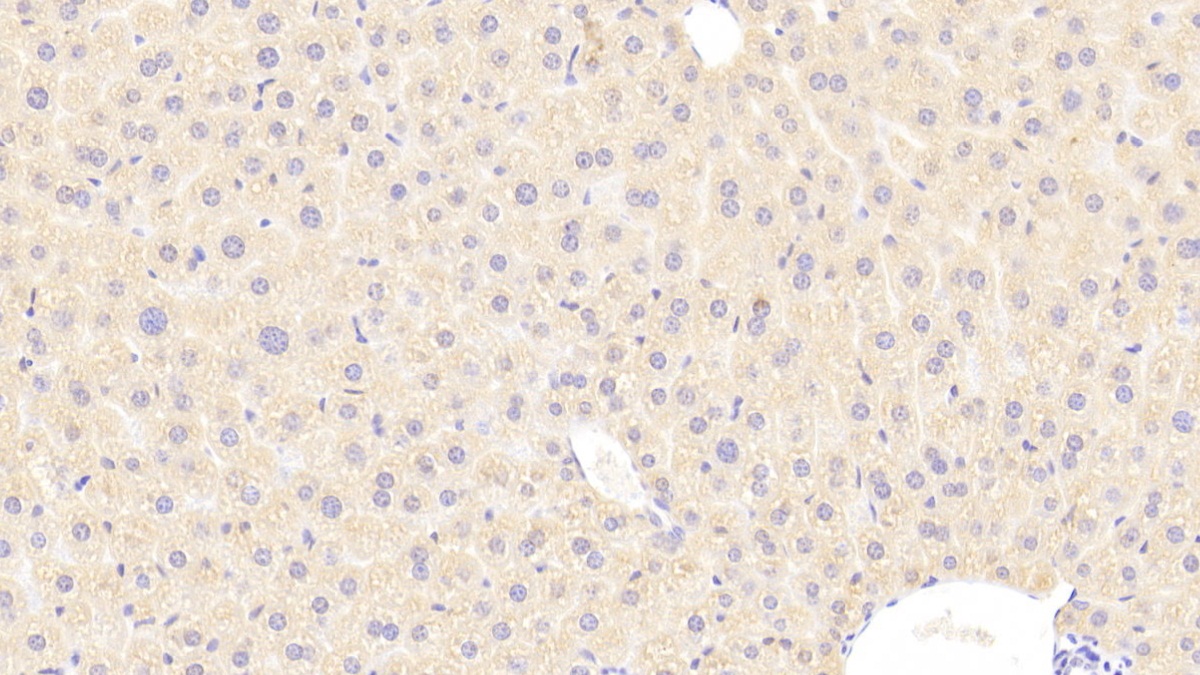
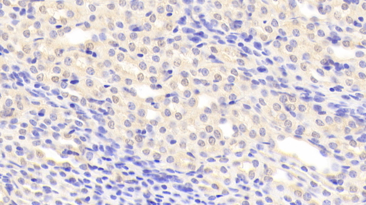
Polyclonal Antibody to Complement 1 Inhibitor (C1INH) (PAA235Mu02)
Реактивность подтвержденная:
мышь
Источник (хозяин):
кролик
Валидировано для:
IHC
WB
Характеристики
Техническое описание
| Русское название | PAA235Mu02 Поликлональное антитело к C1INH (мышь) <Cloud-Clone,Китай> |
| Каталожный номер | PAA235Mu02 |
| Название антигена | Complement 1 Inhibitor (C1INH) |
| UNIPROT | P97290 |
| Иммуноген | RPA235Mu02-Recombinant Complement 1 Inhibitor (C1INH) |
| Английские синонимы | SERPING1, C1IN, C1-INH, C1NH, HAE1, HAE2, Serpin Peptidase Inhibitor Clade G Member 1, Angioedema Hereditary, C1 Inhibitor, C1 Esterase Inhibitor |
Реактивность подтвержденная Нужна другая реактивность? |
мышь |
| Источник (хозяин) | кролик |
| Клональность | поликлональное |
| Рекомбинантное | нет |
| Готовое к использованию | нет |
| Концентрация | 0.5 мг/мл |
| Конъюгат | По запросу: HRP, biotin, PerCP, PE, Cy3, FITC, Cy7, Cy5.5, PE-Cy5, PE-Cy7, PerCp-Cy5.5, APC, Cy5, PE-Cy3, PE-Cy5.5, APC-Cy7, Biotin-APC, FITC-Biotin, TRITC, APC-Cy5, AF488, AF594, AF405, AF555, AF700, AF647, AF750 |
| Валидировано для | IHC WB Иммуногистохимия; Вестерн-блоттинг |
| Рекомендуемые разведения | WB: 0.01-5 мкг/мл; IHC: 5-20 мкг/мл; ICC: 5-20 мкг/мл; Оптимальное разведение определяется конечным потребителем |
| Метод очистки | Антигенспецифическая аффинная хроматография с последующей аффинной хроматографией с белком А |
| Состав буфера | PBS, pH7.4, 0.02% NaN3, 50% глицерин |
| Условия доставки | термобокс с аккумуляторами холода |
| Условия хранения | Сразу после получения аликвотировать и хранить при -20ºС до 24 месяцев. Для частого использования хранить при +4ºС не более 2 недель. Избегать повторения циклов замерзания/оттаивания |
| Срок хранения | 24 месяца |
| Производитель | Cloud-Clone Corp. |
| Ссылка на страницу товара на сайте производителя | http://www.cloud-clone.com/products/PAA235Mu02.html |
|
Артикул
|
Наименование |
Производитель
|
|---|
|
Артикул
|
Наименование |
Производитель
|
|---|
|
Артикул
|
Наименование |
Производитель
|
|---|
|
Артикул
|
Наименование |
Производитель
|
|---|
|
Артикул
|
Наименование |
Производитель
|
|---|
|
Артикул
|
Наименование |
Производитель
|
|---|
Акции и предложения
Популярные продукты:
Anti-Heat Shock Protein Beta 6 (HSPb6) Monoclonal Antibody (FAF358Ra06)
Источник (хозяин): мышь
Реактивность подтвержденная: крыса
Валидировано для: FCM
Реактивность подтвержденная: крыса
Валидировано для: FCM
Anti-Coagulation Factor II (F2) Monoclonal Antibody (FAA820Hu02)
Источник (хозяин): мышь
Реактивность подтвержденная: человек
Валидировано для: FCM
Реактивность подтвержденная: человек
Валидировано для: FCM
Porcine Thymine DNA Glycosylase ELISA kit (E07T0890)
Организм: свинья

