| UNIPROT | P97290 |
| Иммуноген | RPA235Mu03-Recombinant Complement 1 Inhibitor (C1INH) |
Polyclonal Antibody to Complement 1 Inhibitor (C1INH) (PAA235Mu03)
Реактивность подтвержденная:
мышь
Источник (хозяин):
кролик
Валидировано для:
IHC
Характеристики
Техническое описание
| Русское название | PAA235Mu03 Поликлональное антитело к C1INH (мышь) <Cloud-Clone,Китай> |
| Каталожный номер | PAA235Mu03 |
| Название антигена | Complement 1 Inhibitor (C1INH) |
| UNIPROT | P97290 |
| Иммуноген | RPA235Mu03-Recombinant Complement 1 Inhibitor (C1INH) |
| Английские синонимы | SERPING1, C1IN, C1-INH, C1NH, HAE1, HAE2, Serpin Peptidase Inhibitor Clade G Member 1, Angioedema Hereditary, C1 Inhibitor, C1 Esterase Inhibitor |
Реактивность подтвержденная Нужна другая реактивность? |
мышь |
| Источник (хозяин) | кролик |
| Клональность | поликлональное |
| Рекомбинантное | нет |
| Готовое к использованию | нет |
| Концентрация | 500 мкг/мл |
| Конъюгат | По запросу: HRP, biotin, PerCP, PE, Cy3, FITC, Cy7, Cy5.5, PE-Cy5, PE-Cy7, PerCp-Cy5.5, APC, Cy5, PE-Cy3, PE-Cy5.5, APC-Cy7, Biotin-APC, FITC-Biotin, TRITC, APC-Cy5, AF488, AF594, AF405, AF555, AF700, AF647, AF750 |
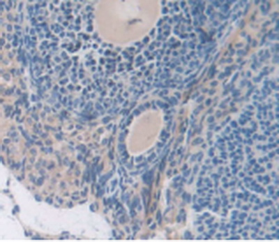
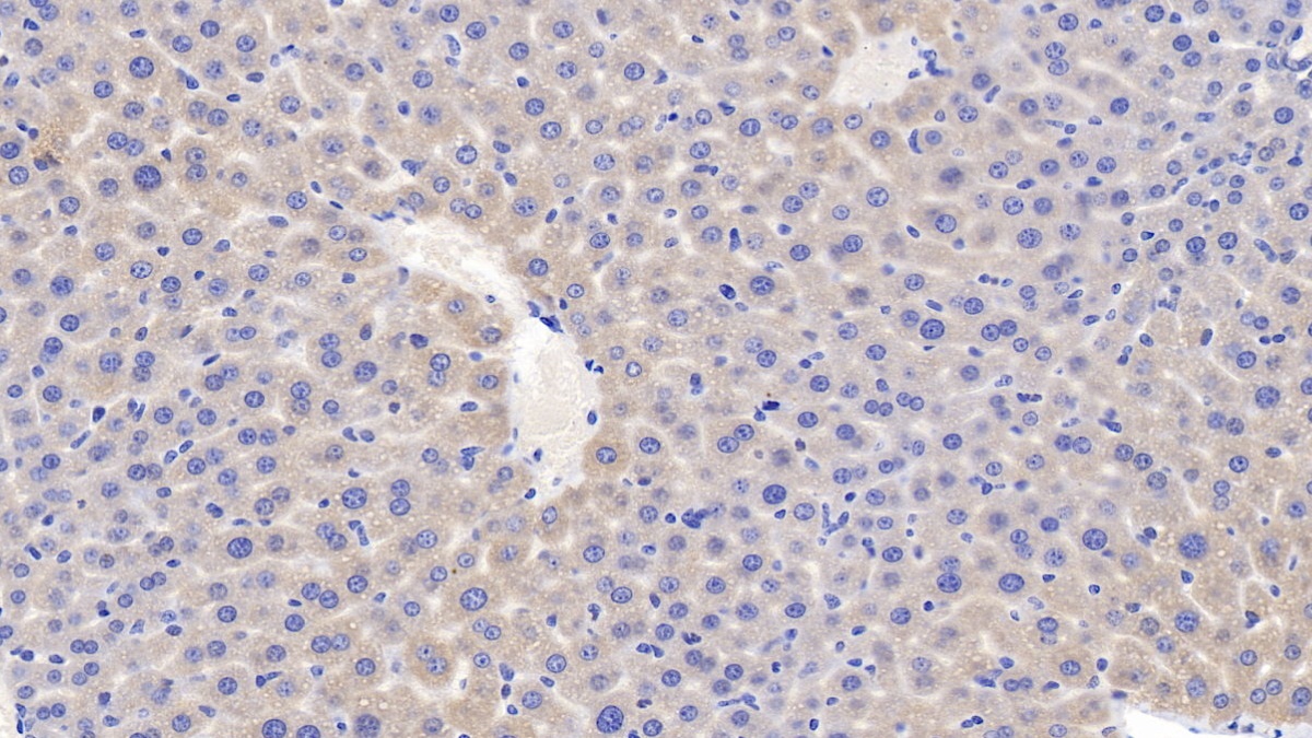
| Валидировано для | IHC Иммуногистохимия |
| Рекомендуемые разведения | WB: 0.5-2 мкг/мл; IHC: 5-20 мкг/мл; ICC: 5-20 мкг/мл; Оптимальное разведение определяется конечным потребителем |
| Метод очистки | Антигенспецифическая аффинная хроматография с последующей аффинной хроматографией с белком А |
| Состав буфера | PBS, pH7.4, 0.02% NaN3, 50% глицерин |
| Условия доставки | термобокс с аккумуляторами холода |
| Условия хранения | Сразу после получения аликвотировать и хранить при -20ºС до 24 месяцев. Для частого использования хранить при +4ºС не более 2 недель. Избегать повторения циклов замерзания/оттаивания |
| Срок хранения | 24 месяца |
| Производитель | Cloud-Clone Corp. |
| Ссылка на страницу товара на сайте производителя | http://www.cloud-clone.com/products/PAA235Mu03.html |
|
Артикул
|
Наименование |
Производитель
|
|---|
|
Артикул
|
Наименование |
Производитель
|
|---|
|
Артикул
|
Наименование |
Производитель
|
|---|
|
Артикул
|
Наименование |
Производитель
|
|---|
|
Артикул
|
Наименование |
Производитель
|
|---|
|
Артикул
|
Наименование |
Производитель
|
|---|
Акции и предложения
Популярные продукты:
Rat Ficolin 2(FCN2) ELISA kit (E02F0365)
Организм: крыса
Anti-Phusion polymerase (Pfu-Sso7d) Antibody (SAb2246) (RXX04302)
Источник (хозяин): мышь
Реактивность подтвержденная: бактерии
Валидировано для: ELISA
Реактивность подтвержденная: бактерии
Валидировано для: ELISA
Monkey Hereditary hemochromatosis protein ELISA kit (E09H1422)
Организм: обезьяна
Guinea Pig AT rich interactive domain containing protein 4B(ARID4B) ELISA kit (E05A1644)
Организм: морская свинка
Bovine SET domain containing 1B ELISA kit (E11S0800)
Организм: корова

