| UNIPROT | P97290 |
| Иммуноген | RPA235Mu04-Recombinant Complement 1 Inhibitor (C1INH) |
Polyclonal Antibody to Complement 1 Inhibitor (C1INH) (PAA235Mu04)
Реактивность подтвержденная:
мышь
Источник (хозяин):
кролик
Валидировано для:
IHC
WB
Характеристики
Техническое описание
| Русское название | PAA235Mu04 Поликлональное антитело к C1INH (мышь) <Cloud-Clone,Китай> |
| Каталожный номер | PAA235Mu04 |
| Название антигена | Complement 1 Inhibitor (C1INH) |
| UNIPROT | P97290 |
| Иммуноген | RPA235Mu04-Recombinant Complement 1 Inhibitor (C1INH) |
| Английские синонимы | SERPING1, C1IN, C1-INH, C1NH, HAE1, HAE2, Serpin Peptidase Inhibitor Clade G Member 1, Angioedema Hereditary, C1 Inhibitor, C1 Esterase Inhibitor |
Реактивность подтвержденная Нужна другая реактивность? |
мышь |
| Источник (хозяин) | кролик |
| Клональность | поликлональное |
| Рекомбинантное | нет |
| Готовое к использованию | нет |
| Концентрация | 0.52 мг/мл |
| Конъюгат | По запросу: HRP, biotin, PerCP, PE, Cy3, FITC, Cy7, Cy5.5, PE-Cy5, PE-Cy7, PerCp-Cy5.5, APC, Cy5, PE-Cy3, PE-Cy5.5, APC-Cy7, Biotin-APC, FITC-Biotin, TRITC, APC-Cy5, AF488, AF594, AF405, AF555, AF700, AF647, AF750 |
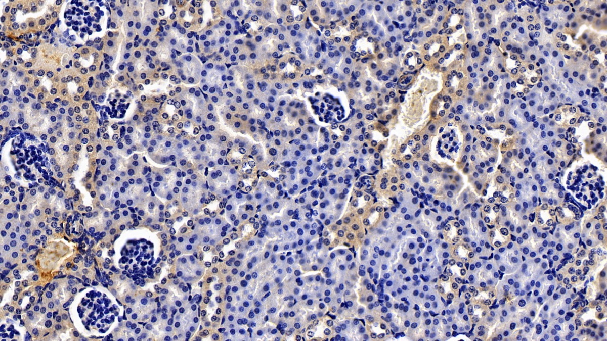
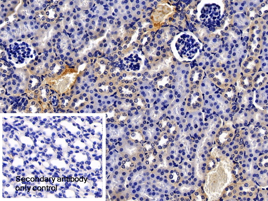
| Валидировано для | IHC WB Иммуногистохимия; Вестерн-блоттинг |
| Рекомендуемые разведения | WB: 0.01-2 мкг/мл; IHC: 5-20 мкг/мл; ICC: 5-20 мкг/мл; Оптимальное разведение определяется конечным потребителем |
| Метод очистки | Антигенспецифическая аффинная хроматография с последующей аффинной хроматографией с белком А |
| Состав буфера | 0.01M PBS, pH7.4, 0.05% Proclin-300, 50% глицерин |
| Условия доставки | термобокс с аккумуляторами холода |
| Условия хранения | Сразу после получения аликвотировать и хранить при -20ºС до 24 месяцев. Для частого использования хранить при +4ºС не более 2 недель. Избегать повторения циклов замерзания/оттаивания |
| Срок хранения | 24 месяца |
| Производитель | Cloud-Clone Corp. |
| Ссылка на страницу товара на сайте производителя | http://www.cloud-clone.com/products/PAA235Mu04.html |
|
Артикул
|
Наименование |
Производитель
|
|---|
|
Артикул
|
Наименование |
Производитель
|
|---|
|
Артикул
|
Наименование |
Производитель
|
|---|
|
Артикул
|
Наименование |
Производитель
|
|---|
|
Артикул
|
Наименование |
Производитель
|
|---|
|
Артикул
|
Наименование |
Производитель
|
|---|
Акции и предложения
Популярные продукты:
Anti-Mouse CLEC4F Nanobody (SAb2322) (RMP17101)
Источник (хозяин): альпака
Реактивность подтвержденная: мышь
Валидировано для: ELISA, SPR
Реактивность подтвержденная: мышь
Валидировано для: ELISA, SPR
Anti-MARV GP2 Polyclonal Antibody (PVV24302)
Источник (хозяин): кролик
Реактивность подтвержденная: вирусы
Валидировано для: ELISA, IHC, WB
Реактивность подтвержденная: вирусы
Валидировано для: ELISA, IHC, WB
ELISA Kit DIY Materials for Cholinergic Receptor, Nicotinic, Alpha 1 (CHRNa1) (KSA981Hu01)
Организм: человек
Диапазон определения: 0.78-50 нг/мл
Чувствительность: 0.33 нг/мл
Диапазон определения: 0.78-50 нг/мл
Чувствительность: 0.33 нг/мл
ELISA Kit DIY Materials for Interleukin 12B (IL12B) (KSA058Po01)
Организм: свинья
Диапазон определения: 7.8-500 пг/мл
Чувствительность: 3.5 пг/мл
Диапазон определения: 7.8-500 пг/мл
Чувствительность: 3.5 пг/мл
Monoclonal Antibody to Tumor Necrosis Factor Receptor Superfamily, Member 10C (TNFRSF10C) (MAA137Hu28)
Источник (хозяин): мышь
Реактивность подтвержденная: человек
Валидировано для: WB
Реактивность подтвержденная: человек
Валидировано для: WB
Monoclonal Antibody to Tumor Necrosis Factor Receptor Superfamily, Member 10C (TNFRSF10C) (MAA137Hu26)
Источник (хозяин): мышь
Реактивность подтвержденная: человек
Валидировано для: WB
Реактивность подтвержденная: человек
Валидировано для: WB

