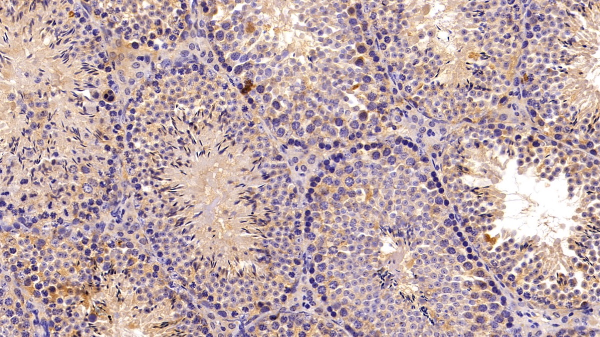
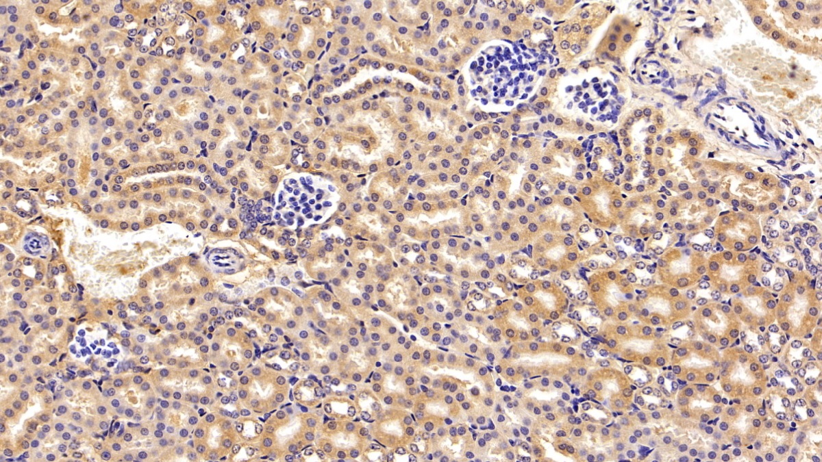
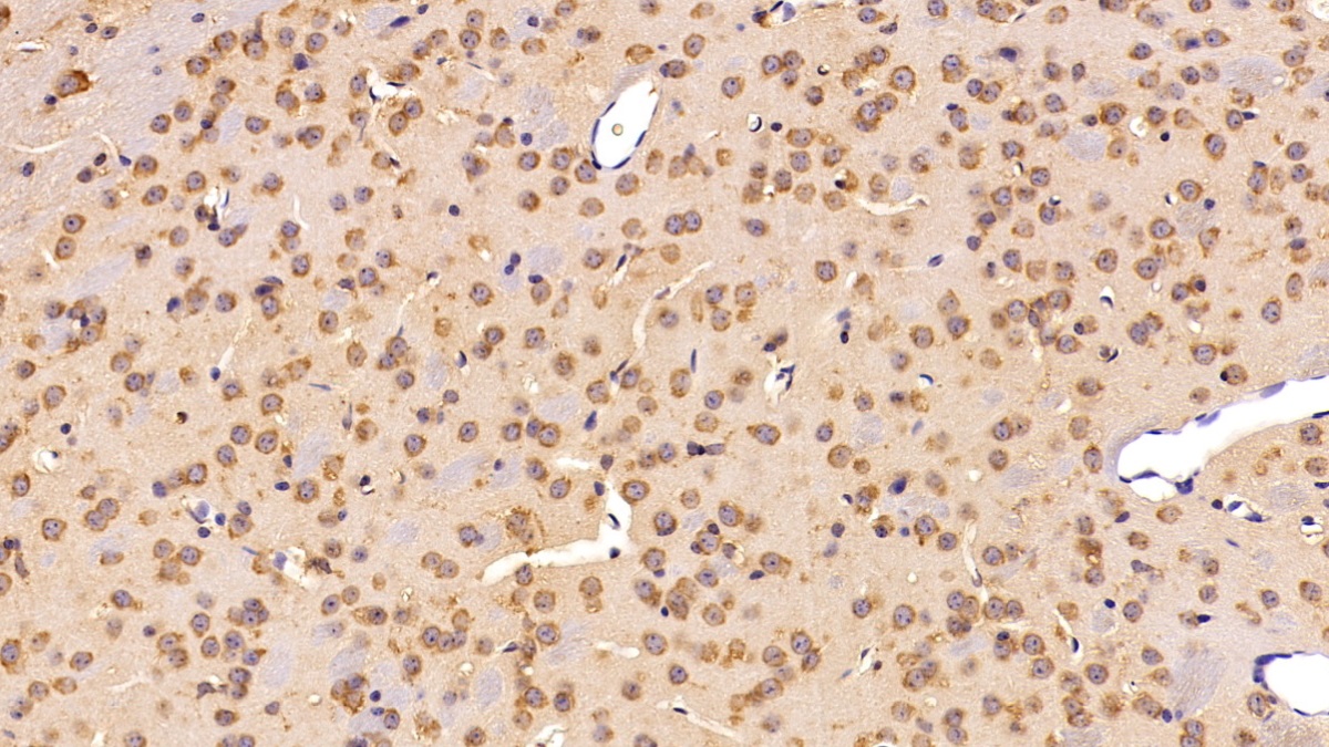
Polyclonal Antibody to Complement C3 Convertase (C3 Convertase) (PAA758Mu01)
Реактивность подтвержденная:
мышь
Источник (хозяин):
кролик
Валидировано для:
FCM
IHC
WB
Характеристики
Техническое описание
| Русское название | PAA758Mu01 Поликлональное антитело к C3 Convertase (мышь) <Cloud-Clone,Китай> |
| Каталожный номер | PAA758Mu01 |
| Название антигена | Complement C3 Convertase (C3c) |
| Английские синонимы | C3bBb |
Реактивность подтвержденная Нужна другая реактивность? |
мышь |
| Реактивность предсказываемая | человек |
| Источник (хозяин) | кролик |
| Клональность | поликлональное |
| Рекомбинантное | нет |
| Готовое к использованию | нет |
| Концентрация | 500 мкг/мл |
| Конъюгат | По запросу: HRP, biotin, PerCP, PE, Cy3, FITC, Cy7, Cy5.5, PE-Cy5, PE-Cy7, PerCp-Cy5.5, APC, Cy5, PE-Cy3, PE-Cy5.5, APC-Cy7, Biotin-APC, FITC-Biotin, TRITC, APC-Cy5, AF488, AF594, AF405, AF555, AF700, AF647, AF750 |
| Валидировано для | FCM IHC WB Проточная цитометрия; Иммуногистохимия; Вестерн-блоттинг |
| Рекомендуемые разведения | WB: 0.2-2 мкг/мл; 1:250-2500; IHC: 5-20 мкг/мл; 1:25-100; ICC: 5-20 мкг/мл; 1:25-100; Оптимальное разведение определяется конечным потребителем |
| Метод очистки | Антигенспецифическая аффинная хроматография с последующей аффинной хроматографией с белком А |
| Состав буфера | 0.01M PBS, pH7.4, 0.05% Proclin-300, 50% глицерин |
| Условия доставки | термобокс с аккумуляторами холода |
| Условия хранения | Сразу после получения аликвотировать и хранить при -20ºС до 24 месяцев. Для частого использования хранить при +4ºС не более 2 недель. Избегать повторения циклов замерзания/оттаивания |
| Срок хранения | 24 месяца |
| Производитель | Cloud-Clone Corp. |
| Ссылка на страницу товара на сайте производителя | http://www.cloud-clone.com/products/PAA758Mu01.html |
|
Артикул
|
Наименование |
Производитель
|
|---|
|
Артикул
|
Наименование |
Производитель
|
|---|
Акции и предложения
Популярные продукты:
Monkey Centromere Protein H ELISA kit (E09C0649)
Организм: обезьяна
Rat IgM, kappa Isotype Control Antibody (ES26-13D3.4), APC (FRJ93213)
Источник (хозяин): крыса
Валидировано для: CTRL, FCM
Валидировано для: CTRL, FCM
Fluor® 488 Anti-Mouse CD106 Antibody[M/K-2.7] (FCE2211)
Источник (хозяин): крыса
Реактивность подтвержденная: мышь
Валидировано для: FCM
Реактивность подтвержденная: мышь
Валидировано для: FCM
Anti-SCGN Antibody (R1F89) (RHB39601)
Источник (хозяин): кролик
Реактивность подтвержденная: человек, мышь, крыса
Валидировано для: IHC, IP, WB
Реактивность подтвержденная: человек, мышь, крыса
Валидировано для: IHC, IP, WB
CXCR4 Polyclonal Antibody (E-AB-62271)
Источник (хозяин): кролик
Реактивность подтвержденная: человек, мышь
Валидировано для: WB
Реактивность подтвержденная: человек, мышь
Валидировано для: WB
Tigatuzumab ELISA Kit (KDA29105)
Организм: человек
Диапазон определения: 0.31-5 мкг/мл
Чувствительность: 0.156 мкг/мл
Диапазон определения: 0.31-5 мкг/мл
Чувствительность: 0.156 мкг/мл

