| UNIPROT | P06681 |
| Иммуноген | RPA862Hu01-Recombinant Complement Component 2 (C2) |
Polyclonal Antibody to Complement Component 2 (C2) (PAA862Hu01)
Реактивность подтвержденная:
человек
Источник (хозяин):
кролик
Валидировано для:
IHC
WB
Характеристики
Техническое описание
| Русское название | PAA862Hu01 Поликлональное антитело к компоненту комплемента C2 (человек) <Cloud-Clone,Китай> |
| Каталожный номер | PAA862Hu01 |
| Название антигена | Complement Component 2 (C2) |
| UNIPROT | P06681 |
| Иммуноген | RPA862Hu01-Recombinant Complement Component 2 (C2) |
| Английские синонимы | CO2, C3/C5 convertase, Complement C2 |
Реактивность подтвержденная Нужна другая реактивность? |
человек |
| Источник (хозяин) | кролик |
| Клональность | поликлональное |
| Рекомбинантное | нет |
| Готовое к использованию | нет |
| Концентрация | 0.5 мг/мл |
| Конъюгат | По запросу: HRP, biotin, PerCP, PE, Cy3, FITC, Cy7, Cy5.5, PE-Cy5, PE-Cy7, PerCp-Cy5.5, APC, Cy5, PE-Cy3, PE-Cy5.5, APC-Cy7, Biotin-APC, FITC-Biotin, TRITC, APC-Cy5, AF488, AF594, AF405, AF555, AF700, AF647, AF750 |
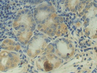
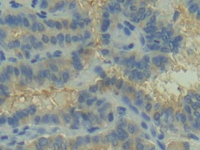
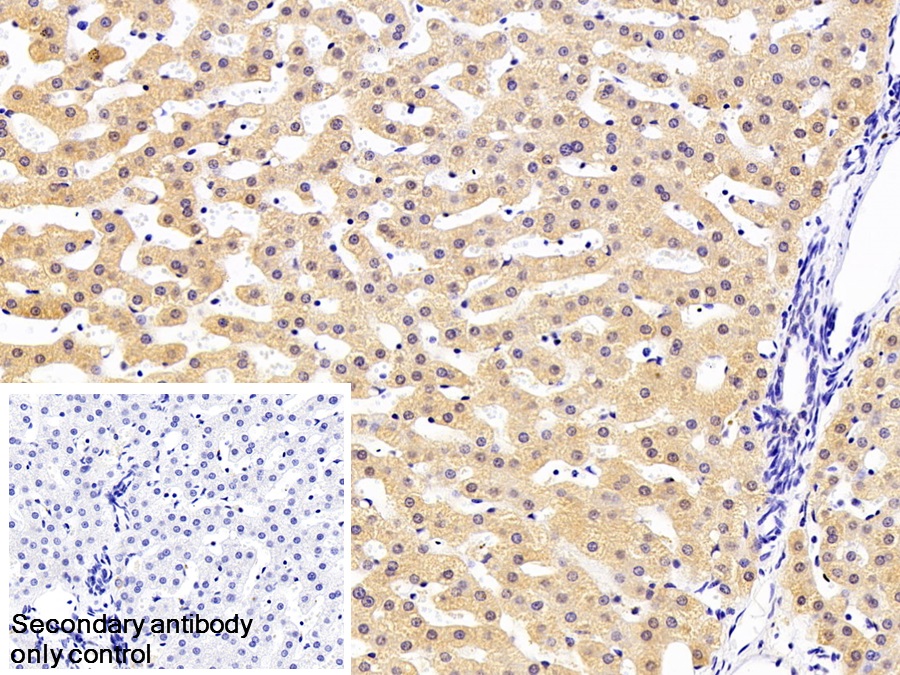
| Валидировано для | IHC WB Иммуногистохимия; Вестерн-блоттинг |
| Рекомендуемые разведения | WB: 0.01-2 мкг/мл; IHC: 5-20 мкг/мл; Оптимальное разведение определяется конечным потребителем |
| Метод очистки | Антигенспецифическая аффинная хроматография с последующей аффинной хроматографией с белком А |
| Состав буфера | 0.01M PBS, pH7.4, 0.05% Proclin-300, 50% глицерин |
| Условия доставки | термобокс с аккумуляторами холода |
| Условия хранения | Сразу после получения аликвотировать и хранить при -20ºС до 24 месяцев. Для частого использования хранить при +4ºС не более 2 недель. Избегать повторения циклов замерзания/оттаивания |
| Срок хранения | 24 месяца |
| Производитель | Cloud-Clone Corp. |
| Ссылка на страницу товара на сайте производителя | http://www.cloud-clone.com/products/PAA862Hu01.html |
|
Артикул
|
Наименование |
Производитель
|
|---|
|
Артикул
|
Наименование |
Производитель
|
|---|
Акции и предложения
Популярные продукты:
ELISA Kit DIY Materials for Erythropoietin (EPO) (KSA028Ca01)
Организм: собака
Диапазон определения: 31.2-2000 пг/мл
Чувствительность: 13.7 пг/мл
Диапазон определения: 31.2-2000 пг/мл
Чувствительность: 13.7 пг/мл
Sheep Bestrophin 2(BEST2) ELISA kit (E14B0790)
Организм: овца
Canine Glutathione Peroxidase 3 ELISA kit (E08G0617)
Организм: собака
Bovine microtubule-actin crosslinking factor 1 ELISA kit (E11M1066)
Организм: корова

