| UNIPROT | P01024 |
| Иммуноген | RPA387Hu01-Recombinant Complement Component 3a (C3a) |
Polyclonal Antibody to Complement Component 3a (C3a) (PAA387Hu01)
Реактивность подтвержденная:
человек
Источник (хозяин):
кролик
Валидировано для:
IHC
WB
Характеристики
Техническое описание
| Русское название | PAA387Hu01 Поликлональное антитело к C3a (человек) <Cloud-Clone,Китай> |
| Каталожный номер | PAA387Hu01 |
| Название антигена | Complement Component 3a (C3a) |
| UNIPROT | P01024 |
| Иммуноген | RPA387Hu01-Recombinant Complement Component 3a (C3a) |
Реактивность подтвержденная Нужна другая реактивность? |
человек |
| Реактивность предсказываемая | свинья |
| Источник (хозяин) | кролик |
| Клональность | поликлональное |
| Рекомбинантное | нет |
| Готовое к использованию | нет |
| Концентрация | 0.5 мг/мл |
| Конъюгат | По запросу: HRP, biotin, PerCP, PE, Cy3, FITC, Cy7, Cy5.5, PE-Cy5, PE-Cy7, PerCp-Cy5.5, APC, Cy5, PE-Cy3, PE-Cy5.5, APC-Cy7, Biotin-APC, FITC-Biotin, TRITC, APC-Cy5, AF488, AF594, AF405, AF555, AF700, AF647, AF750 |
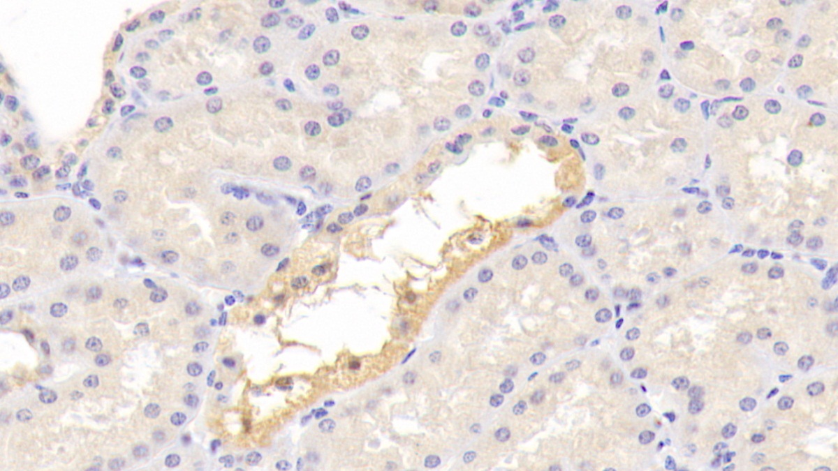
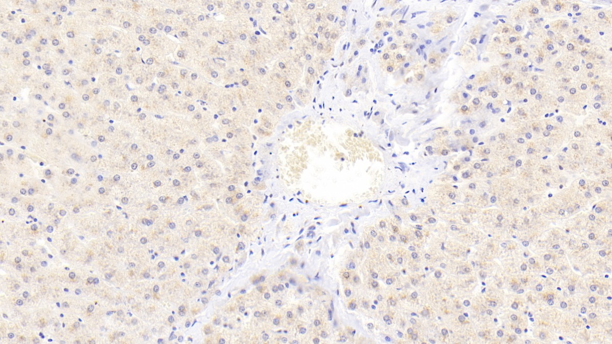
| Валидировано для | IHC WB Иммуногистохимия; Вестерн-блоттинг |
| Рекомендуемые разведения | WB: 0.5-2 мкг/мл; IHC: 5-20 мкг/мл; ICC: 5-20 мкг/мл; Оптимальное разведение определяется конечным потребителем |
| Метод очистки | Антигенспецифическая аффинная хроматография с последующей аффинной хроматографией с белком А |
| Состав буфера | 0.01M PBS, pH7.4, 0.05% Proclin-300, 50% глицерин |
| Условия доставки | термобокс с аккумуляторами холода |
| Условия хранения | Сразу после получения аликвотировать и хранить при -20ºС до 24 месяцев. Для частого использования хранить при +4ºС не более 2 недель. Избегать повторения циклов замерзания/оттаивания |
| Срок хранения | 24 месяца |
| Производитель | Cloud-Clone Corp. |
| Ссылка на страницу товара на сайте производителя | http://www.cloud-clone.com/products/PAA387Hu01.html |
|
Артикул
|
Наименование |
Производитель
|
|---|
|
Артикул
|
Наименование |
Производитель
|
|---|
|
Артикул
|
Наименование |
Производитель
|
|---|
|
Артикул
|
Наименование |
Производитель
|
|---|
|
Артикул
|
Наименование |
Производитель
|
|---|
|
Артикул
|
Наименование |
Производитель
|
|---|
Акции и предложения
Популярные продукты:
Polyclonal Antibody to Complement Component 3a (C3a) (PAA387Rb01)
Источник (хозяин): кролик
Реактивность подтвержденная: овца
Валидировано для: WB
Реактивность подтвержденная: овца
Валидировано для: WB
Bovine Stromelysin-2 ELISA kit (E11S0299)
Организм: корова
Mouse Xanthine dehydrogenase/oxidase ELISA kit (E03X0012)
Организм: мышь
Chicken Matrix metalloproteinase 14 ELISA kit (E12M0370)
Организм: курица

