| UNIPROT | P02748 |
| Иммуноген | RPB823Hu01-Recombinant Complement Component 9 (C9) |
Polyclonal Antibody to Complement Component 9 (C9) (PAB823Hu01)
Реактивность подтвержденная:
человек
Источник (хозяин):
кролик
Валидировано для:
IHC
WB
Характеристики
Техническое описание
| Русское название | PAB823Hu01 Поликлональное антитело к компоненту комплемента C9 (человек) <Cloud-Clone,Китай> |
| Каталожный номер | PAB823Hu01 |
| Название антигена | Complement Component 9 (C9) |
| UNIPROT | P02748 |
| Иммуноген | RPB823Hu01-Recombinant Complement Component 9 (C9) |
Реактивность подтвержденная Нужна другая реактивность? |
человек |
| Источник (хозяин) | кролик |
| Клональность | поликлональное |
| Рекомбинантное | нет |
| Готовое к использованию | нет |
| Концентрация | 0.5 мг/мл |
| Конъюгат | По запросу: HRP, biotin, PerCP, PE, Cy3, FITC, Cy7, Cy5.5, PE-Cy5, PE-Cy7, PerCp-Cy5.5, APC, Cy5, PE-Cy3, PE-Cy5.5, APC-Cy7, Biotin-APC, FITC-Biotin, TRITC, APC-Cy5, AF488, AF594, AF405, AF555, AF700, AF647, AF750 |
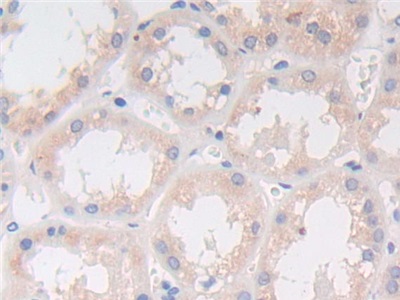
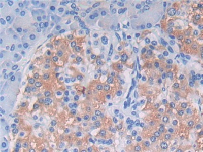
| Валидировано для | IHC WB Иммуногистохимия; Вестерн-блоттинг |
| Рекомендуемые разведения | WB: 0.5-3 мкг/мл; IHC: 5-30 мкг/мл; ICC: 5-30 мкг/мл; Оптимальное разведение определяется конечным потребителем |
| Метод очистки | Антигенспецифическая аффинная хроматография с последующей аффинной хроматографией с белком А |
| Состав буфера | 0.01M PBS, pH7.4, 0.05% Proclin-300, 50% глицерин |
| Условия доставки | термобокс с аккумуляторами холода |
| Условия хранения | Сразу после получения аликвотировать и хранить при -20ºС до 24 месяцев. Для частого использования хранить при +4ºС не более 2 недель. Избегать повторения циклов замерзания/оттаивания |
| Срок хранения | 24 месяца |
| Производитель | Cloud-Clone Corp. |
| Ссылка на страницу товара на сайте производителя | http://www.cloud-clone.com/products/PAB823Hu01.html |
|
Артикул
|
Наименование |
Производитель
|
|---|
|
Артикул
|
Наименование |
Производитель
|
|---|
|
Артикул
|
Наименование |
Производитель
|
|---|
|
Артикул
|
Наименование |
Производитель
|
|---|
|
Артикул
|
Наименование |
Производитель
|
|---|
|
Артикул
|
Наименование |
Производитель
|
|---|
Акции и предложения
Популярные продукты:
Thyroxine/T4 ELISA Kit (KGN27301)
Организм: для всех
Guinea Pig Alcohol dehydrogenase [NADP+](AKR1A1) ELISA kit (E05A1368)
Организм: морская свинка
Guinea Pig Inter Alpha trypsin inhibitor heavy chain H1(ITIH1) ELISA kit (E05I0445)
Организм: морская свинка
Chicken Claudin 3(CLDN3) ELISA kit (E12C0987)
Организм: курица
Диапазон определения: 1-25 нг/мл
Чувствительность: 0.1 нг/мл
Диапазон определения: 1-25 нг/мл
Чувствительность: 0.1 нг/мл
Monkey Tyrosine ELISA kit (E09T0941)
Организм: обезьяна

