| UNIPROT | G3V9R2 |
| Иммуноген | RPA635Ra01-Recombinant Complement Factor H (CFH) |
Polyclonal Antibody to Complement Factor H (CFH) (PAA635Ra01)
Реактивность подтвержденная:
крыса
Источник (хозяин):
кролик
Валидировано для:
IHC
WB
Характеристики
Техническое описание
| Русское название | PAA635Ra01 Поликлональное антитело к CFH (крыса) <Cloud-Clone,Китай> |
| Каталожный номер | PAA635Ra01 |
| Название антигена | Complement Factor H (CFH) |
| UNIPROT | G3V9R2 |
| Иммуноген | RPA635Ra01-Recombinant Complement Factor H (CFH) |
| Английские синонимы | CF-H, FH, FHL1, ARMD4, ARMS1, CFHL3, HF1, HF2, HUS, H Factor 2, Age-Related Maculopathy Susceptibility 1, Adrenomedullin binding protein |
Реактивность подтвержденная Нужна другая реактивность? |
крыса |
| Источник (хозяин) | кролик |
| Клональность | поликлональное |
| Рекомбинантное | нет |
| Готовое к использованию | нет |
| Концентрация | 0.42 мг/мл |
| Конъюгат | По запросу: HRP, biotin, PerCP, PE, Cy3, FITC, Cy7, Cy5.5, PE-Cy5, PE-Cy7, PerCp-Cy5.5, APC, Cy5, PE-Cy3, PE-Cy5.5, APC-Cy7, Biotin-APC, FITC-Biotin, TRITC, APC-Cy5, AF488, AF594, AF405, AF555, AF700, AF647, AF750 |
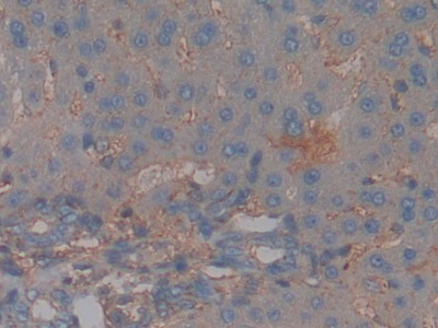
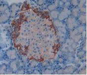
| Валидировано для | IHC WB Иммуногистохимия; Вестерн-блоттинг |
| Рекомендуемые разведения | WB: 0.5-2 мкг/мл; IHC: 5-20 мкг/мл; ICC: 5-20 мкг/мл Оптимальное разведение определяется конечным потребителем |
| Метод очистки | Антигенспецифическая аффинная хроматография с последующей аффинной хроматографией с белком А |
| Состав буфера | 0.01M PBS, pH7.4, 0.05% Proclin-300, 50% глицерин |
| Условия доставки | термобокс с аккумуляторами холода |
| Условия хранения | Сразу после получения аликвотировать и хранить при -20ºС до 24 месяцев. Для частого использования хранить при +4ºС не более 2 недель. Избегать повторения циклов замерзания/оттаивания |
| Срок хранения | 24 месяца |
| Производитель | Cloud-Clone Corp. |
| Ссылка на страницу товара на сайте производителя | http://www.cloud-clone.com/products/PAA635Ra01.html |
|
Артикул
|
Наименование |
Производитель
|
|---|
|
Артикул
|
Наименование |
Производитель
|
|---|
|
Артикул
|
Наименование |
Производитель
|
|---|
|
Артикул
|
Наименование |
Производитель
|
|---|
|
Артикул
|
Наименование |
Производитель
|
|---|
Акции и предложения
Популярные продукты:
Anti-Gangliosides GD1a Antibody (SAb2351) (RGK07808)
Источник (хозяин): человек
Реактивность подтвержденная: для всех
Валидировано для: DotBlot, ELISA
Реактивность подтвержденная: для всех
Валидировано для: DotBlot, ELISA
Guinea Pig Atlastin 1(ATL1) ELISA kit (E05A1754)
Организм: морская свинка
Human Cornifin B(SPRR1B) ELISA kit (E01C2448)
Организм: человек
Rat cluster of differentiation 45(CD45) ELISA kit (E02C2410)
Организм: крыса
Canine Complement Component 2 ELISA kit (E08C0359)
Организм: собака
Диапазон определения: 0.5-10 мкг/мл
Чувствительность: 0.1 мкг/мл
Диапазон определения: 0.5-10 мкг/мл
Чувствительность: 0.1 мкг/мл
Human Complement fragment 5a ELISA kit (E01C0663)
Организм: человек
Диапазон определения: 2.5-50 нг/мл
Чувствительность: 0.1 нг/мл
Диапазон определения: 2.5-50 нг/мл
Чувствительность: 0.1 нг/мл

