| UNIPROT | P28234 |
| Иммуноген | RPB465Ra01-Recombinant Connexin 40 (CX40) |
Polyclonal Antibody to Connexin 40 (CX40) (PAB465Ra01)
Реактивность подтвержденная:
крыса
Источник (хозяин):
кролик
Валидировано для:
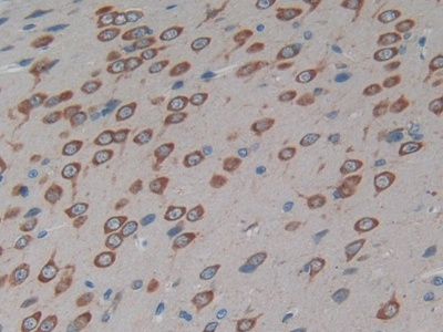
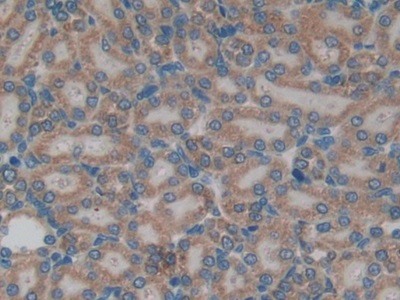
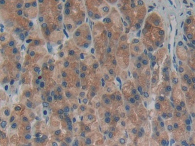
IHC
Характеристики
Техническое описание
| Русское название | PAB465Ra01 Поликлональное антитело к CX40 (крыса) <Cloud-Clone,Китай> |
| Каталожный номер | PAB465Ra01 |
| Название антигена | Connexin 40 (CX40) |
| UNIPROT | P28234 |
| Иммуноген | RPB465Ra01-Recombinant Connexin 40 (CX40) |
| Английские синонимы | GJA5, GJ-A5, Gap Junction Protein Alpha 5 |
Реактивность подтвержденная Нужна другая реактивность? |
крыса |
| Источник (хозяин) | кролик |
| Клональность | поликлональное |
| Рекомбинантное | нет |
| Готовое к использованию | нет |
| Концентрация | 0.5 мг/мл |
| Конъюгат | По запросу: HRP, biotin, PerCP, PE, Cy3, FITC, Cy7, Cy5.5, PE-Cy5, PE-Cy7, PerCp-Cy5.5, APC, Cy5, PE-Cy3, PE-Cy5.5, APC-Cy7, Biotin-APC, FITC-Biotin, TRITC, APC-Cy5, AF488, AF594, AF405, AF555, AF700, AF647, AF750 |
| Валидировано для | IHC Иммуногистохимия |
| Рекомендуемые разведения | WB: 0.2-2 мкг/мл; 1:250-2500; IHC: 5-20 мкг/мл; 1:25-100; ICC: 5-20 мкг/мл; 1:25-100; Оптимальное разведение определяется конечным потребителем |
| Метод очистки | Антигенспецифическая аффинная хроматография с последующей аффинной хроматографией с белком А |
| Состав буфера | 0.01M PBS, pH7.4, 0.05% Proclin-300, 50% глицерин |
| Условия доставки | термобокс с аккумуляторами холода |
| Условия хранения | Сразу после получения аликвотировать и хранить при -20ºС до 24 месяцев. Для частого использования хранить при +4ºС не более 2 недель. Избегать повторения циклов замерзания/оттаивания |
| Срок хранения | 24 месяца |
| Производитель | Cloud-Clone Corp. |
| Ссылка на страницу товара на сайте производителя | http://www.cloud-clone.com/products/PAB465Ra01.html |
|
Артикул
|
Наименование |
Производитель
|
|---|
|
Артикул
|
Наименование |
Производитель
|
|---|
Акции и предложения
Популярные продукты:
Human GLP-1 (1-37a) ELISA Kit (KHB93501)
Организм: человек
Диапазон определения: 0.78 - 50 нг/мл
Чувствительность: 0.13 нг/мл
Диапазон определения: 0.78 - 50 нг/мл
Чувствительность: 0.13 нг/мл
Porcine crystallin, β A1 (CRYBA1) ELISA kit (E07C2086)
Организм: свинья
Anti-FMC63 scFv Monoclonal Antibody (SAA1996), PE (RAD10831)
Источник (хозяин): кролик
Реактивность подтвержденная: для всех
Валидировано для: ELISA, FCM
Реактивность подтвержденная: для всех
Валидировано для: ELISA, FCM
Monkey Parkinson Disease Protein 7 ELISA kit (E09P1009)
Организм: обезьяна
Bovine Archaemetzincin 1(AMZ1) ELISA kit (E11A1435)
Организм: корова
Canine Archaemetzincin 1(AMZ1) ELISA kit (E08A1435)
Организм: собака

