| UNIPROT | P78357 |
| Иммуноген | RPB026Hu01-Recombinant Contactin Associated Protein 1 (Caspr) |
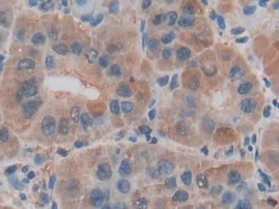
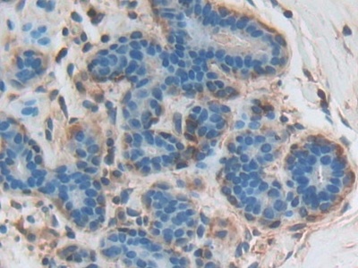
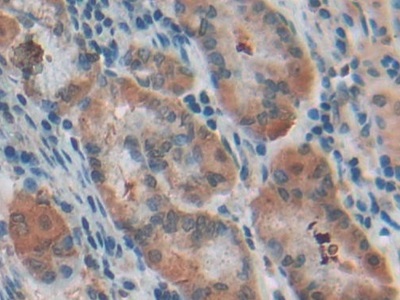
Polyclonal Antibody to Contactin Associated Protein 1 (Caspr) (PAB026Hu01)
Реактивность подтвержденная:
человек
Источник (хозяин):
кролик
Валидировано для:
IHC
Характеристики
Техническое описание
| Русское название | PAB026Hu01 Поликлональное антитело к Caspr (человек) <Cloud-Clone,Китай> |
| Каталожный номер | PAB026Hu01 |
| Название антигена | Contactin Associated Protein 1 (CNTNAP1) |
| UNIPROT | P78357 |
| Иммуноген | RPB026Hu01-Recombinant Contactin Associated Protein 1 (Caspr) |
| Английские синонимы | Caspr, CNTNAP, p190, NRXN4, Neurexin 4 |
Реактивность подтвержденная Нужна другая реактивность? |
человек |
| Источник (хозяин) | кролик |
| Клональность | поликлональное |
| Рекомбинантное | нет |
| Готовое к использованию | нет |
| Концентрация | 500 мкг/мл |
| Конъюгат | По запросу: HRP, biotin, PerCP, PE, Cy3, FITC, Cy7, Cy5.5, PE-Cy5, PE-Cy7, PerCp-Cy5.5, APC, Cy5, PE-Cy3, PE-Cy5.5, APC-Cy7, Biotin-APC, FITC-Biotin, TRITC, APC-Cy5, AF488, AF594, AF405, AF555, AF700, AF647, AF750 |
| Валидировано для | IHC Иммуногистохимия |
| Рекомендуемые разведения | WB: 0.2-2 мкг/мл; 1:250-2500; IHC: 5-20 мкг/мл; 1:25-100; ICC: 5-20 мкг/мл; 1:25-100; Оптимальное разведение определяется конечным потребителем |
| Метод очистки | Антигенспецифическая аффинная хроматография с последующей аффинной хроматографией с белком А |
| Состав буфера | 0.01M PBS, pH7.4, 0.05% Proclin-300, 50% глицерин |
| Условия доставки | термобокс с аккумуляторами холода |
| Условия хранения | Сразу после получения аликвотировать и хранить при -20ºС до 24 месяцев. Для частого использования хранить при +4ºС не более 2 недель. Избегать повторения циклов замерзания/оттаивания |
| Срок хранения | 24 месяца |
| Производитель | Cloud-Clone Corp. |
| Ссылка на страницу товара на сайте производителя | http://www.cloud-clone.com/products/PAB026Hu01.html |
|
Артикул
|
Наименование |
Производитель
|
|---|
|
Артикул
|
Наименование |
Производитель
|
|---|
|
Артикул
|
Наименование |
Производитель
|
|---|
|
Артикул
|
Наименование |
Производитель
|
|---|
Акции и предложения
Популярные продукты:
Rat Phosphoglycerate Mutase 2 ELISA kit (E02P0644)
Организм: крыса
PE Anti-Mouse CD64/FcγRI Antibody[X54-5/7.1] (FCE3258)
Источник (хозяин): мышь
Реактивность подтвержденная: мышь
Валидировано для: FCM
Реактивность подтвержденная: мышь
Валидировано для: FCM
Anti-PI3 Kinase p55 gamma Antibody (R1C24) (RHN60301)
Источник (хозяин): кролик
Реактивность подтвержденная: человек, мышь, крыса
Валидировано для: IF, IHC, WB
Реактивность подтвержденная: человек, мышь, крыса
Валидировано для: IF, IHC, WB
Polyclonal Antibody to Contactin Associated Protein 1 (Caspr) (PAB026Hu01)
Источник (хозяин): кролик
Реактивность подтвержденная: человек
Валидировано для: IHC
Реактивность подтвержденная: человек
Валидировано для: IHC
Rituximab ELISA Kit (KDC90709)
Организм: человек
Диапазон определения: 31.25-2000 нг/мл
Чувствительность: 23.65 нг/мл
Диапазон определения: 31.25-2000 нг/мл
Чувствительность: 23.65 нг/мл

