| UNIPROT | Q9Z319 |
| Иммуноген | RPG316Mu02-Recombinant Corin (CRN) |
Polyclonal Antibody to Corin (CRN) (PAG316Mu02)
Реактивность подтвержденная:
мышь
Источник (хозяин):
кролик
Валидировано для:
IHC
Характеристики
Техническое описание
| Русское название | PAG316Mu02 Поликлональное антитело к CRN (мышь) <Cloud-Clone,Китай> |
| Каталожный номер | PAG316Mu02 |
| Название антигена | Corin (CRN) |
| UNIPROT | Q9Z319 |
| Иммуноген | RPG316Mu02-Recombinant Corin (CRN) |
| Английские синонимы | ATC2, CRN, Lrp4, TMPRSS10, Atrial Natriuretic Peptide-Converting Enzyme, Serine Protease, Heart-specific serine proteinase ATC2, Pro-ANP-converting enzyme |
Реактивность подтвержденная Нужна другая реактивность? |
мышь |
| Источник (хозяин) | кролик |
| Клональность | поликлональное |
| Рекомбинантное | нет |
| Готовое к использованию | нет |
| Концентрация | 1 мг/мл |
| Конъюгат | По запросу: HRP, biotin, PerCP, PE, Cy3, FITC, Cy7, Cy5.5, PE-Cy5, PE-Cy7, PerCp-Cy5.5, APC, Cy5, PE-Cy3, PE-Cy5.5, APC-Cy7, Biotin-APC, FITC-Biotin, TRITC, APC-Cy5, AF488, AF594, AF405, AF555, AF700, AF647, AF750 |
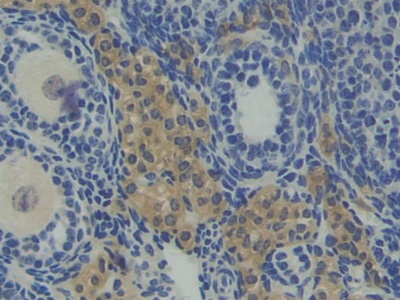
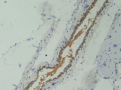
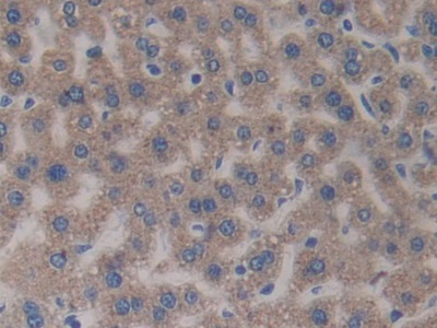
| Валидировано для | IHC Иммуногистохимия |
| Рекомендуемые разведения | WB: 0.5-2 мкг/мл; IHC: 5-20 мкг/мл; ICC: 5-20 мкг/мл; Оптимальное разведение определяется конечным потребителем |
| Метод очистки | Антигенспецифическая аффинная хроматография с последующей аффинной хроматографией с белком А |
| Состав буфера | PBS, pH7.4, 0.02% NaN3, 50% глицерин |
| Условия доставки | термобокс с аккумуляторами холода |
| Условия хранения | Сразу после получения аликвотировать и хранить при -20ºС до 24 месяцев. Для частого использования хранить при +4ºС не более 2 недель. Избегать повторения циклов замерзания/оттаивания |
| Срок хранения | 24 месяца |
| Производитель | Cloud-Clone Corp. |
| Ссылка на страницу товара на сайте производителя | http://www.cloud-clone.com/products/PAG316Mu02.html |
|
Артикул
|
Наименование |
Производитель
|
|---|
|
Артикул
|
Наименование |
Производитель
|
|---|
|
Артикул
|
Наименование |
Производитель
|
|---|
Акции и предложения
Популярные продукты:
YB1 Mouse Monoclonal Antibody (BF8963)
Источник (хозяин): мышь
Реактивность подтвержденная: человек
Валидировано для: WB
Реактивность подтвержденная: человек
Валидировано для: WB
Guinea Pig Cyclic nucleotide gated olfactory channel(CNGA2) ELISA kit (E05C1845)
Организм: морская свинка
Canine casein Alpha s1 (CSN1S1) ELISA kit (E08C2100)
Организм: собака
Chicken Crk like protein(CRKL) ELISA kit (E12C2069)
Организм: курица
Sheep Filamin B, β ELISA kit (E14F0100)
Организм: овца

