| UNIPROT | P18859 |
| Иммуноген | RPQ185Hu01-Recombinant Coupling Factor 6 (CF6) |
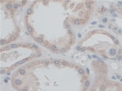
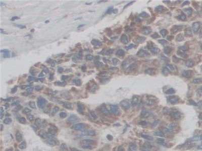
Polyclonal Antibody to Coupling Factor 6 (CF6) (PAQ185Hu01)
Реактивность подтвержденная:
человек
Источник (хозяин):
кролик
Валидировано для:
IHC
WB
Характеристики
Техническое описание
| Русское название | PAQ185Hu01 Поликлональное антитело к CF6 (человек) <Cloud-Clone,Китай> |
| Каталожный номер | PAQ185Hu01 |
| Название антигена | Coupling Factor 6 (CF6) |
| UNIPROT | P18859 |
| Иммуноген | RPQ185Hu01-Recombinant Coupling Factor 6 (CF6) |
| Английские синонимы | ATP5J, ATP5A, ATP5, ATPM, ATP Synthase,H+ Transporting,Mitochondrial Fo Complex,Subunit F6, ATP synthase-coupling factor 6, mitochondrial |
Реактивность подтвержденная Нужна другая реактивность? |
человек |
| Реактивность предсказываемая | мышь, крыса, собака, свинья |
| Источник (хозяин) | кролик |
| Клональность | поликлональное |
| Рекомбинантное | нет |
| Готовое к использованию | нет |
| Концентрация | 0.5 мг/мл |
| Конъюгат | По запросу: HRP, biotin, PerCP, PE, Cy3, FITC, Cy7, Cy5.5, PE-Cy5, PE-Cy7, PerCp-Cy5.5, APC, Cy5, PE-Cy3, PE-Cy5.5, APC-Cy7, Biotin-APC, FITC-Biotin, TRITC, APC-Cy5, AF488, AF594, AF405, AF555, AF700, AF647, AF750 |
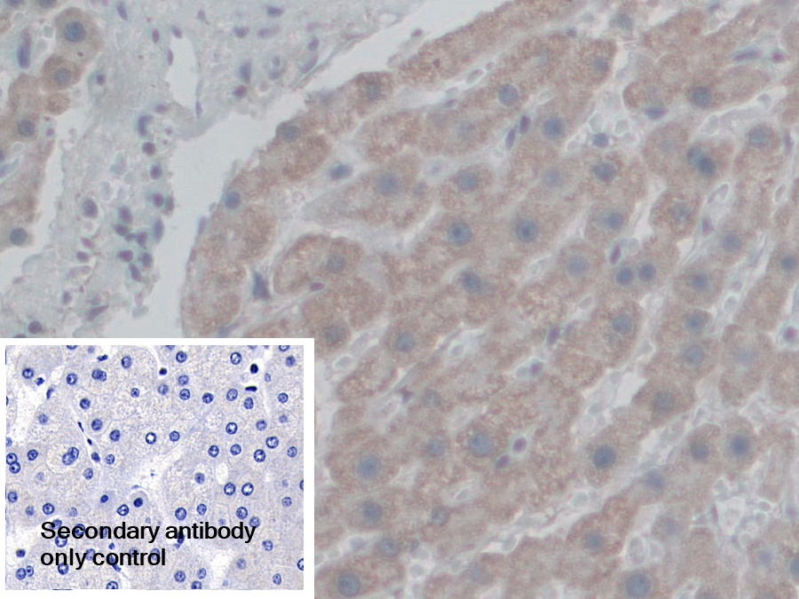
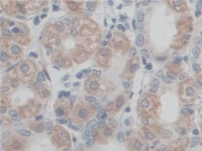
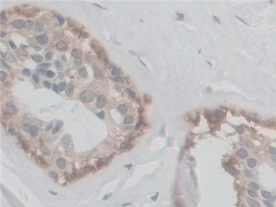
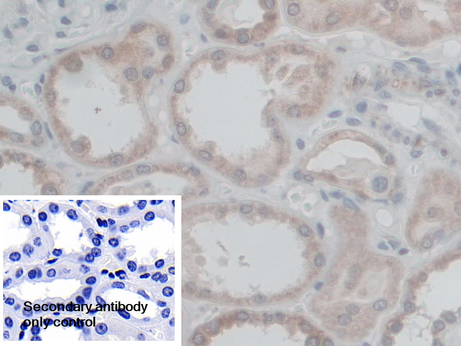
| Валидировано для | IHC WB Иммуногистохимия; Вестерн-блоттинг |
| Рекомендуемые разведения | WB: 0.01-2 мкг/мл; IHC: 5-20 мкг/мл; ICC: 5-20 мкг/мл; Оптимальное разведение определяется конечным потребителем |
| Метод очистки | Антигенспецифическая аффинная хроматография с последующей аффинной хроматографией с белком А |
| Состав буфера | 0.01M PBS, pH7.4, 0.05% Proclin-300, 50% глицерин |
| Условия доставки | термобокс с аккумуляторами холода |
| Условия хранения | Сразу после получения аликвотировать и хранить при -20ºС до 24 месяцев. Для частого использования хранить при +4ºС не более 2 недель. Избегать повторения циклов замерзания/оттаивания |
| Срок хранения | 24 месяца |
| Производитель | Cloud-Clone Corp. |
| Ссылка на страницу товара на сайте производителя | http://www.cloud-clone.com/products/PAQ185Hu01.html |
|
Артикул
|
Наименование |
Производитель
|
|---|
|
Артикул
|
Наименование |
Производитель
|
|---|
|
Артикул
|
Наименование |
Производитель
|
|---|
|
Артикул
|
Наименование |
Производитель
|
|---|
Акции и предложения
Популярные продукты:
Polyclonal Antibody to Cathepsin A (CTSA) (PAA348Bo01)
Источник (хозяин): кролик
Реактивность подтвержденная: корова
Валидировано для: IHC
Реактивность подтвержденная: корова
Валидировано для: IHC
Polyclonal Antibody to Cytochrome P450 27B1 (CYP27B1) (PAD539Ra01)
Источник (хозяин): кролик
Реактивность подтвержденная: крыса
Валидировано для: IHC, WB
Реактивность подтвержденная: крыса
Валидировано для: IHC, WB
Polyclonal Antibody to Cytochrome P450 27B1 (CYP27B1) (PAD539Hu01)
Источник (хозяин): кролик
Реактивность подтвержденная: человек
Валидировано для: IHC, WB
Реактивность подтвержденная: человек
Валидировано для: IHC, WB
Polyclonal Antibody to Beclin 1 (BECN1) (PAJ557Ra01)
Источник (хозяин): кролик
Реактивность подтвержденная: крыса
Валидировано для: WB
Реактивность подтвержденная: крыса
Валидировано для: WB
Polyclonal Antibody to Cytochrome P450 27B1 (CYP27B1) (PAD539Mu02)
Источник (хозяин): кролик
Реактивность подтвержденная: мышь
Валидировано для: ICC, IHC, IP, WB
Реактивность подтвержденная: мышь
Валидировано для: ICC, IHC, IP, WB
Polyclonal Antibody to Cytochrome P450 27B1 (CYP27B1) (PAD539Mu01)
Источник (хозяин): кролик
Реактивность подтвержденная: мышь
Валидировано для: ICC, IHC, WB
Реактивность подтвержденная: мышь
Валидировано для: ICC, IHC, WB

