| UNIPROT | Q04447 |
| Иммуноген | RPC030Mu01-Recombinant Creatine Kinase B (CK-BB) |
Polyclonal Antibody to Creatine Kinase B (CK-BB) (PAC030Mu01)
Реактивность подтвержденная:
мышь
Источник (хозяин):
кролик
Валидировано для:
IHC
WB
Характеристики
Техническое описание
| Русское название | PAC030Mu01 Поликлональное антитело к CK-BB (мышь) <Cloud-Clone,Китай> |
| Каталожный номер | PAC030Mu01 |
| Название антигена | Creatine Kinase, Brain (CKB) |
| UNIPROT | Q04447 |
| Иммуноген | RPC030Mu01-Recombinant Creatine Kinase B (CK-BB) |
| Английские синонимы | CK-BB, CKBB, CK-B, CK-1 |
Реактивность подтвержденная Нужна другая реактивность? |
мышь |
| Реактивность предсказываемая | человек, крыса |
| Источник (хозяин) | кролик |
| Клональность | поликлональное |
| Рекомбинантное | нет |
| Готовое к использованию | нет |
| Концентрация | 0.5 мг/мл |
| Конъюгат | По запросу: HRP, biotin, PerCP, PE, Cy3, FITC, Cy7, Cy5.5, PE-Cy5, PE-Cy7, PerCp-Cy5.5, APC, Cy5, PE-Cy3, PE-Cy5.5, APC-Cy7, Biotin-APC, FITC-Biotin, TRITC, APC-Cy5, AF488, AF594, AF405, AF555, AF700, AF647, AF750 |
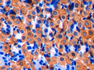
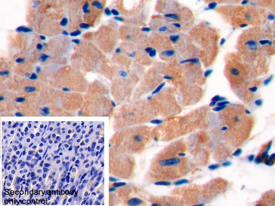
| Валидировано для | IHC WB Иммуногистохимия; Вестерн-блоттинг |
| Рекомендуемые разведения | WB: 0.5-2 мкг/мл; IHC: 5-20 мкг/мл; ICC: 5-20 мкг/мл; Оптимальное разведение определяется конечным потребителем |
| Метод очистки | Антигенспецифическая аффинная хроматография с последующей аффинной хроматографией с белком А |
| Состав буфера | PBS, pH7.4, 0.02% NaN3, 50% глицерин |
| Условия доставки | термобокс с аккумуляторами холода |
| Условия хранения | Сразу после получения аликвотировать и хранить при -20ºС до 24 месяцев. Для частого использования хранить при +4ºС не более 2 недель. Избегать повторения циклов замерзания/оттаивания |
| Срок хранения | 24 месяца |
| Производитель | Cloud-Clone Corp. |
| Ссылка на страницу товара на сайте производителя | http://www.cloud-clone.com/products/PAC030Mu01.html |
|
Артикул
|
Наименование |
Производитель
|
|---|
|
Артикул
|
Наименование |
Производитель
|
|---|
|
Артикул
|
Наименование |
Производитель
|
|---|
|
Артикул
|
Наименование |
Производитель
|
|---|
|
Артикул
|
Наименование |
Производитель
|
|---|
|
Артикул
|
Наименование |
Производитель
|
|---|
Акции и предложения
Популярные продукты:
Bovine Sodium/Glucose Cotransporter 1 ELISA kit (E11S0097)
Организм: корова
Anti-PON1 Polyclonal Antibody (PHD73101)
Источник (хозяин): кролик
Реактивность подтвержденная: человек, мышь, крыса
Валидировано для: ELISA, IHC, WB
Реактивность подтвержденная: человек, мышь, крыса
Валидировано для: ELISA, IHC, WB
Anti-mCherry Monoclonal Antibody (1A186) (MXX51302)
Источник (хозяин): мышь
Реактивность подтвержденная: для всех
Валидировано для: ELISA, IF, IHC, WB
Реактивность подтвержденная: для всех
Валидировано для: ELISA, IF, IHC, WB
Recombinant Rat NGF/Beta-NGF Protein, N-His (YRB91701)
Источник (хозяин): E.coli
Организм: крыса
Фрагмент: Glu19-Gly241
Теги: N-His
Биоактивность: нет
Организм: крыса
Фрагмент: Glu19-Gly241
Теги: N-His
Биоактивность: нет

