| UNIPROT | P12532 |
| Иммуноген | RPA263Hu01-Recombinant Creatine Kinase, Mitochondrial 1A (CKMT1A) |
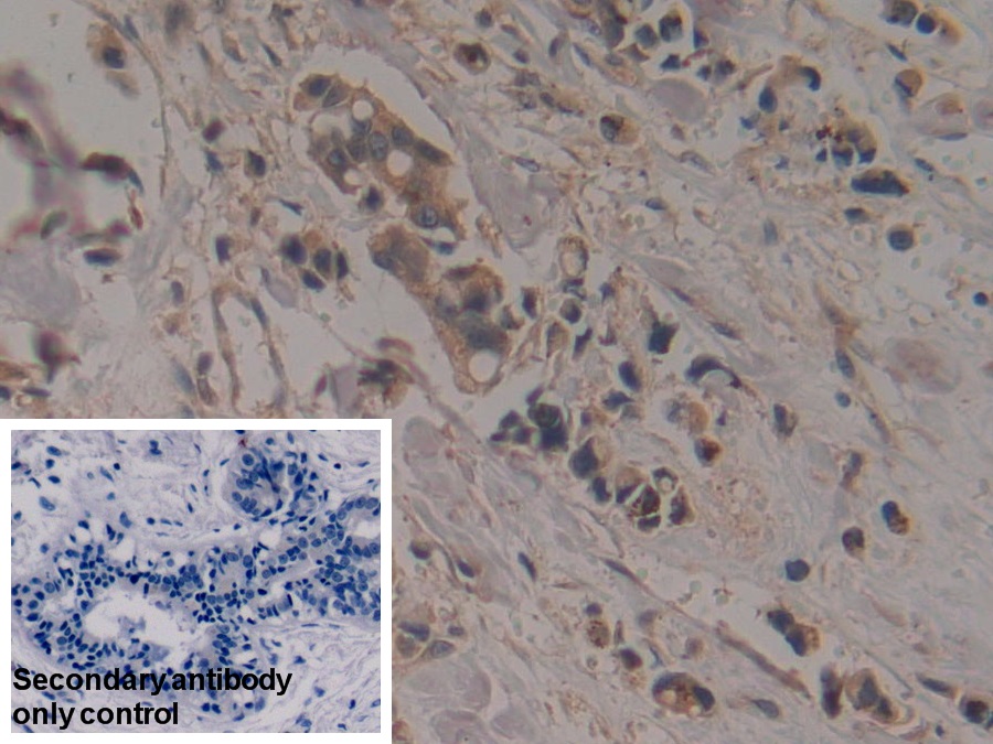
Polyclonal Antibody to Creatine Kinase, Mitochondrial 1A (CKMT1A) (PAA263Hu01)
Реактивность подтвержденная:
человек
Источник (хозяин):
кролик
Валидировано для:
IHC
WB
Характеристики
Техническое описание
| Русское название | PAA263Hu01 Поликлональное антитело к CKMT1A (человек) <Cloud-Clone,Китай> |
| Каталожный номер | PAA263Hu01 |
| Название антигена | Creatine Kinase, Mitochondrial 1A (CKMT1A) |
| UNIPROT | P12532 |
| Иммуноген | RPA263Hu01-Recombinant Creatine Kinase, Mitochondrial 1A (CKMT1A) |
| Английские синонимы | CKMT, CKMT1-A, Mia-CK, U-MtCK, Creatine kinase U-type, mitochondrial, Ubiquitous mitochondrial creatine kinase, Acidic-type mitochondrial creatine kinase |
Реактивность подтвержденная Нужна другая реактивность? |
человек |
| Реактивность предсказываемая | мышь, крыса |
| Источник (хозяин) | кролик |
| Клональность | поликлональное |
| Рекомбинантное | нет |
| Готовое к использованию | нет |
| Концентрация | 0.5 мг/мл |
| Конъюгат | По запросу: HRP, biotin, PerCP, PE, Cy3, FITC, Cy7, Cy5.5, PE-Cy5, PE-Cy7, PerCp-Cy5.5, APC, Cy5, PE-Cy3, PE-Cy5.5, APC-Cy7, Biotin-APC, FITC-Biotin, TRITC, APC-Cy5, AF488, AF594, AF405, AF555, AF700, AF647, AF750 |
| Валидировано для | IHC WB Иммуногистохимия; Вестерн-блоттинг |
| Рекомендуемые разведения | WB: 0.5-2 мкг/мл; IHC: 5-20 мкг/мл; ICC: 5-20 мкг/мл; Оптимальное разведение определяется конечным потребителем |
| Метод очистки | Антигенспецифическая аффинная хроматография с последующей аффинной хроматографией с белком А |
| Состав буфера | 0.01M PBS, pH7.4, 0.05% Proclin-300, 50% глицерин |
| Условия доставки | термобокс с аккумуляторами холода |
| Условия хранения | Сразу после получения аликвотировать и хранить при -20ºС до 24 месяцев. Для частого использования хранить при +4ºС не более 2 недель. Избегать повторения циклов замерзания/оттаивания |
| Срок хранения | 24 месяца |
| Производитель | Cloud-Clone Corp. |
| Ссылка на страницу товара на сайте производителя | http://www.cloud-clone.com/products/PAA263Hu01.html |
|
Артикул
|
Наименование |
Производитель
|
|---|
|
Артикул
|
Наименование |
Производитель
|
|---|
|
Артикул
|
Наименование |
Производитель
|
|---|
|
Артикул
|
Наименование |
Производитель
|
|---|
|
Артикул
|
Наименование |
Производитель
|
|---|
|
Артикул
|
Наименование |
Производитель
|
|---|
|
Артикул
|
Наименование |
Производитель
|
|---|
Акции и предложения
Популярные продукты:
Recombinant Human CKMT1A Protein, N-His (YHC94001)
Источник (хозяин): E.coli
Организм: человек
Фрагмент: Ser41-Ile250
Теги: N-His
Биоактивность: нет
Организм: человек
Фрагмент: Ser41-Ile250
Теги: N-His
Биоактивность: нет
Anti-Human S1PR3 Antibody (AS55), APC (FHN41413)
Источник (хозяин): мышь
Реактивность подтвержденная: человек
Валидировано для: ELISA, FCM
Реактивность подтвержденная: человек
Валидировано для: ELISA, FCM
Multiplex Assay Kit for Urocortin (UCN) (LMA231Hu)
Организм: человек
Диапазон определения: 0.98-1000 пг/мл
Чувствительность: 0.327 пг/мл
Диапазон определения: 0.98-1000 пг/мл
Чувствительность: 0.327 пг/мл
Biotin-Linked Monoclonal Antibody to Ribonuclease A3 (RNASE3) (LAB758Hu76)
Источник (хозяин): мышь
Реактивность подтвержденная: человек
Валидировано для: ICC, IHC, WB
Реактивность подтвержденная: человек
Валидировано для: ICC, IHC, WB
Biotin-Linked Monoclonal Antibody to Ribonuclease A3 (RNASE3) (LAB758Hu74)
Источник (хозяин): мышь
Реактивность подтвержденная: человек
Валидировано для: ICC, IHC, WB
Реактивность подтвержденная: человек
Валидировано для: ICC, IHC, WB
Polyclonal Antibody to Creatine Kinase, Mitochondrial 1A (CKMT1A) (PAA263Hu01)
Источник (хозяин): кролик
Реактивность подтвержденная: человек
Валидировано для: IHC, WB
Реактивность подтвержденная: человек
Валидировано для: IHC, WB

