| UNIPROT | Q6JHU9 |
| Иммуноген | RPE002Ra01-Recombinant CREB Binding Protein (CREBBP) |
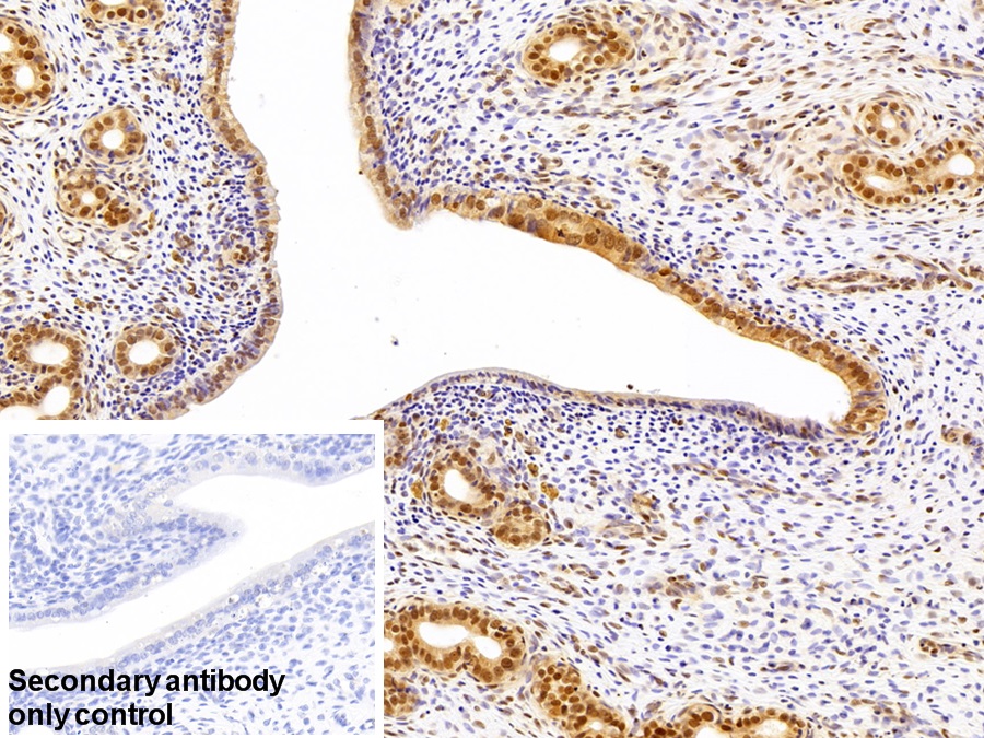
Polyclonal Antibody to CREB Binding Protein (CREBBP) (PAE002Ra01)
Реактивность подтвержденная:
крыса
Источник (хозяин):
кролик
Валидировано для:
IHC
Характеристики
Публикации
Техническое описание
| Русское название | PAE002Ra01 Поликлональное антитело к CREBBP (крыса) <Cloud-Clone,Китай> |
| Каталожный номер | PAE002Ra01 |
| Название антигена | CREB Binding Protein (CREBBP) |
| UNIPROT | Q6JHU9 |
| Иммуноген | RPE002Ra01-Recombinant CREB Binding Protein (CREBBP) |
| Английские синонимы | CBP, RSTS, RTS, KAT3A, Rubinstein-Taybi Syndrome |
Реактивность подтвержденная Нужна другая реактивность? |
крыса |
| Реактивность предсказываемая | человек, мышь |
| Источник (хозяин) | кролик |
| Клональность | поликлональное |
| Рекомбинантное | нет |
| Готовое к использованию | нет |
| Концентрация | 500 мкг/мл |
| Конъюгат | По запросу: HRP, biotin, PerCP, PE, Cy3, FITC, Cy7, Cy5.5, PE-Cy5, PE-Cy7, PerCp-Cy5.5, APC, Cy5, PE-Cy3, PE-Cy5.5, APC-Cy7, Biotin-APC, FITC-Biotin, TRITC, APC-Cy5, AF488, AF594, AF405, AF555, AF700, AF647, AF750 |
| Валидировано для | IHC Иммуногистохимия |
| Рекомендуемые разведения | WB: 0.5-2 мкг/мл; IHC: 5-20 мкг/мл; ICC: 5-20 мкг/мл; Оптимальное разведение определяется конечным потребителем |
| Метод очистки | Антигенспецифическая аффинная хроматография с последующей аффинной хроматографией с белком А |
| Состав буфера | PBS, pH7.4, 0.02% NaN3, 50% глицерин |
| Условия доставки | термобокс с аккумуляторами холода |
| Условия хранения | Сразу после получения аликвотировать и хранить при -20ºС до 24 месяцев. Для частого использования хранить при +4ºС не более 2 недель. Избегать повторения циклов замерзания/оттаивания |
| Срок хранения | 24 месяца |
| Производитель | Cloud-Clone Corp. |
| Ссылка на страницу товара на сайте производителя | http://www.cloud-clone.com/products/PAE002Ra01.html |
|
Артикул
|
Наименование |
Производитель
|
|---|
|
Артикул
|
Наименование |
Производитель
|
|---|
|
Артикул
|
Наименование |
Производитель
|
|---|
Акции и предложения
Популярные продукты:
Anti-Human CD37/TSPAN26 Antibody (Fs0323) (FHC85130)
Источник (хозяин): мышь
Реактивность подтвержденная: человек
Валидировано для: ELISA, FCM, NEUT
Реактивность подтвержденная: человек
Валидировано для: ELISA, FCM, NEUT
ELISA Kit for Hepcidin (Hepc) (SEB979Bo)
Организм: корова
Диапазон определения: 31.2-2,000 пг/мл
Чувствительность: 0.117 нг/мл
Диапазон определения: 31.2-2,000 пг/мл
Чувствительность: 0.117 нг/мл
Canine Kappa casein(CSN3) ELISA kit (E08K0085)
Организм: собака
Guinea Pig Zinc transporter 6(SLC30A6) ELISA kit (E05Z0014)
Организм: морская свинка

