| UNIPROT | O70244 |
| Иммуноген | RPC411Ra02-Recombinant Cubilin (CUBN) |
Polyclonal Antibody to Cubilin (CUBN) (PAC411Ra02)
Реактивность подтвержденная:
крыса
Источник (хозяин):
кролик
Валидировано для:
IHC
Характеристики
Техническое описание
| Русское название | PAC411Ra02 Поликлональное антитело к CUBN (крыса) <Cloud-Clone,Китай> |
| Каталожный номер | PAC411Ra02 |
| Название антигена | Cubilin (CUBN) |
| UNIPROT | O70244 |
| Иммуноген | RPC411Ra02-Recombinant Cubilin (CUBN) |
| Английские синонимы | IFCR, MGA1, gp280, Intrinsic Factor Cobalamin Receptor, 460 kDa receptor, Intestinal intrinsic factor receptor, Intrinsic factor-vitamin B12 receptor |
Реактивность подтвержденная Нужна другая реактивность? |
крыса |
| Источник (хозяин) | кролик |
| Клональность | поликлональное |
| Рекомбинантное | нет |
| Готовое к использованию | нет |
| Концентрация | 500 мкг/мл |
| Конъюгат | По запросу: HRP, biotin, PerCP, PE, Cy3, FITC, Cy7, Cy5.5, PE-Cy5, PE-Cy7, PerCp-Cy5.5, APC, Cy5, PE-Cy3, PE-Cy5.5, APC-Cy7, Biotin-APC, FITC-Biotin, TRITC, APC-Cy5, AF488, AF594, AF405, AF555, AF700, AF647, AF750 |
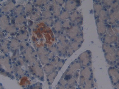
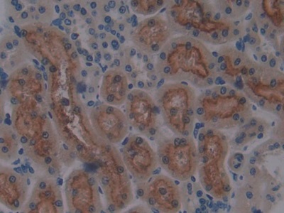
| Валидировано для | IHC Иммуногистохимия |
| Рекомендуемые разведения | WB: 0.5-2 мкг/мл; IHC: 5-20 мкг/мл; ICC: 5-20 мкг/мл; Оптимальное разведение определяется конечным потребителем |
| Метод очистки | Антигенспецифическая аффинная хроматография с последующей аффинной хроматографией с белком А |
| Состав буфера | PBS, pH7.4, 0.02% NaN3, 50% глицерин |
| Условия доставки | термобокс с аккумуляторами холода |
| Условия хранения | Сразу после получения аликвотировать и хранить при -20ºС до 24 месяцев. Для частого использования хранить при +4ºС не более 2 недель. Избегать повторения циклов замерзания/оттаивания |
| Срок хранения | 24 месяца |
| Производитель | Cloud-Clone Corp. |
| Ссылка на страницу товара на сайте производителя | http://www.cloud-clone.com/products/PAC411Ra02.html |
|
Артикул
|
Наименование |
Производитель
|
|---|
|
Артикул
|
Наименование |
Производитель
|
|---|
|
Артикул
|
Наименование |
Производитель
|
|---|
|
Артикул
|
Наименование |
Производитель
|
|---|
Акции и предложения
Популярные продукты:
Anti-Human CD4 Antibody (HIT4a) (FHB95940)
Источник (хозяин): мышь
Реактивность подтвержденная: человек
Валидировано для: ELISA, FCM
Реактивность подтвержденная: человек
Валидировано для: ELISA, FCM
Methyltestosterone/MT ELISA Kit (KSN45602)
Организм: для всех
Диапазон определения: 1.56 - 100 нг/мл
Чувствительность: 0.5 нг/мл
Диапазон определения: 1.56 - 100 нг/мл
Чувствительность: 0.5 нг/мл
Bovine DNA Methyltransferase 3A ELISA kit (E11D0321)
Организм: корова
Rat Vasohibin 1 ELISA kit (E02V0412)
Организм: крыса
Bovine Adenosine receptor A1(ADORA1) ELISA kit (E11A1279)
Организм: корова

