| UNIPROT | O70244 |
| Иммуноген | RPC411Ra03-Recombinant Cubilin (CUBN) |
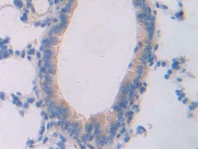
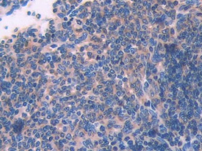
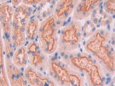
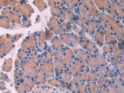
Polyclonal Antibody to Cubilin (CUBN) (PAC411Ra03)
Реактивность подтвержденная:
крыса
Источник (хозяин):
кролик
Валидировано для:
IHC
Характеристики
Техническое описание
| Русское название | PAC411Ra03 Поликлональное антитело к CUBN (крыса) <Cloud-Clone,Китай> |
| Каталожный номер | PAC411Ra03 |
| Название антигена | Cubilin (CUBN) |
| UNIPROT | O70244 |
| Иммуноген | RPC411Ra03-Recombinant Cubilin (CUBN) |
| Английские синонимы | IFCR, MGA1, gp280, Intrinsic Factor Cobalamin Receptor, 460 kDa receptor, Intestinal intrinsic factor receptor, Intrinsic factor-vitamin B12 receptor |
Реактивность подтвержденная Нужна другая реактивность? |
крыса |
| Источник (хозяин) | кролик |
| Клональность | поликлональное |
| Рекомбинантное | нет |
| Готовое к использованию | нет |
| Концентрация | 0.63 мг/мл |
| Конъюгат | По запросу: HRP, biotin, PerCP, PE, Cy3, FITC, Cy7, Cy5.5, PE-Cy5, PE-Cy7, PerCp-Cy5.5, APC, Cy5, PE-Cy3, PE-Cy5.5, APC-Cy7, Biotin-APC, FITC-Biotin, TRITC, APC-Cy5, AF488, AF594, AF405, AF555, AF700, AF647, AF750 |
| Валидировано для | IHC Иммуногистохимия |
| Рекомендуемые разведения | WB: 0.5-2 мкг/мл; IHC: 5-20 мкг/мл; ICC: 5-20 мкг/мл; Оптимальное разведение определяется конечным потребителем |
| Метод очистки | Антигенспецифическая аффинная хроматография с последующей аффинной хроматографией с белком А |
| Состав буфера | 0.01M PBS, pH7.4, 0.05% Proclin-300, 50% глицерин |
| Условия доставки | термобокс с аккумуляторами холода |
| Условия хранения | Сразу после получения аликвотировать и хранить при -20ºС до 24 месяцев. Для частого использования хранить при +4ºС не более 2 недель. Избегать повторения циклов замерзания/оттаивания |
| Срок хранения | 24 месяца |
| Производитель | Cloud-Clone Corp. |
| Ссылка на страницу товара на сайте производителя | http://www.cloud-clone.com/products/PAC411Ra03.html |
|
Артикул
|
Наименование |
Производитель
|
|---|
|
Артикул
|
Наименование |
Производитель
|
|---|
|
Артикул
|
Наименование |
Производитель
|
|---|
|
Артикул
|
Наименование |
Производитель
|
|---|
Акции и предложения
Популярные продукты:
Human GLP-1 (1-37a) ELISA Kit (KHB93501)
Организм: человек
Диапазон определения: 0.78 - 50 нг/мл
Чувствительность: 0.13 нг/мл
Диапазон определения: 0.78 - 50 нг/мл
Чувствительность: 0.13 нг/мл
Porcine crystallin, β A1 (CRYBA1) ELISA kit (E07C2086)
Организм: свинья
Anti-Human CD37/TSPAN26 Antibody (Fs0323), PerCP (FHC85134)
Источник (хозяин): мышь
Реактивность подтвержденная: человек
Валидировано для: ELISA, FCM, NEUT
Реактивность подтвержденная: человек
Валидировано для: ELISA, FCM, NEUT
Anti-Human CD37/TSPAN26 Antibody (Fs0323), FITC (FHC85131)
Источник (хозяин): мышь
Реактивность подтвержденная: человек
Валидировано для: ELISA, FCM, NEUT
Реактивность подтвержденная: человек
Валидировано для: ELISA, FCM, NEUT
Anti-FMC63 scFv Monoclonal Antibody (SAA1996), PE (RAD10831)
Источник (хозяин): кролик
Реактивность подтвержденная: для всех
Валидировано для: ELISA, FCM
Реактивность подтвержденная: для всех
Валидировано для: ELISA, FCM
ELISA Kit DIY Materials for Defensin Alpha 1, Neutrophil (DEFa1) (KSB705Mu01)
Организм: мышь
Диапазон определения: 1.56-100 нг/мл
Чувствительность: 0.62 нг/мл
Диапазон определения: 1.56-100 нг/мл
Чувствительность: 0.62 нг/мл

