| UNIPROT | Q9CR16 |
| Иммуноген | RPB528Mu01-Recombinant Cyclophilin 40 (CYP-40) |
Polyclonal Antibody to Cyclophilin 40 (CYP-40) (PAB528Mu01)
Реактивность подтвержденная:
мышь
Источник (хозяин):
кролик
Валидировано для:
IHC
WB
Характеристики
Техническое описание
| Русское название | PAB528Mu01 Поликлональное антитело к CYP-40 (мышь) <Cloud-Clone,Китай> |
| Каталожный номер | PAB528Mu01 |
| Название антигена | Cyclophilin D (CYPD) |
| UNIPROT | Q9CR16 |
| Иммуноген | RPB528Mu01-Recombinant Cyclophilin 40 (CYP-40) |
| Английские синонимы | PPID, CYP-40, CyP-D, PPIase D, Peptidylprolyl Isomerase D, Cyclophilin 40, 40 kDa peptidyl-prolyl cis-trans isomerase, Cyclophilin-related protein, Rotamase D |
Реактивность подтвержденная Нужна другая реактивность? |
мышь |
| Реактивность предсказываемая | человек, крыса |
| Источник (хозяин) | кролик |
| Клональность | поликлональное |
| Рекомбинантное | нет |
| Готовое к использованию | нет |
| Концентрация | 0.5 мг/мл |
| Конъюгат | По запросу: HRP, biotin, PerCP, PE, Cy3, FITC, Cy7, Cy5.5, PE-Cy5, PE-Cy7, PerCp-Cy5.5, APC, Cy5, PE-Cy3, PE-Cy5.5, APC-Cy7, Biotin-APC, FITC-Biotin, TRITC, APC-Cy5, AF488, AF594, AF405, AF555, AF700, AF647, AF750 |
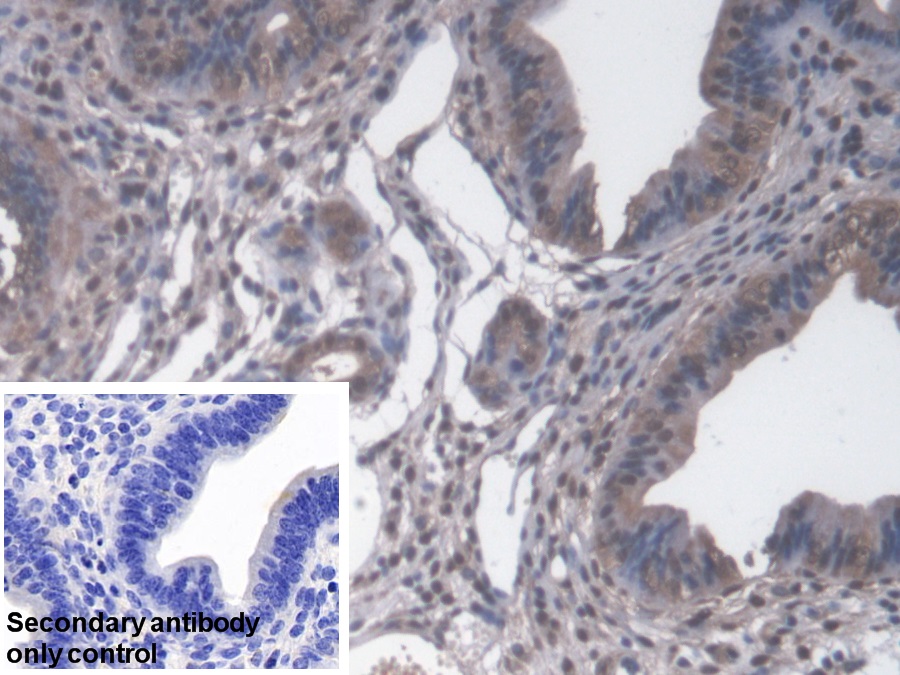
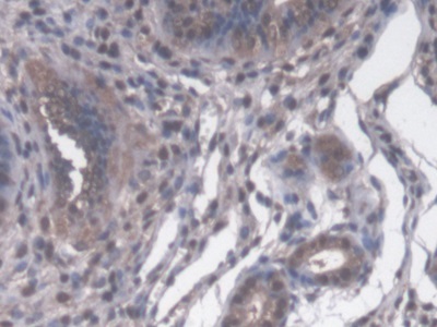
| Валидировано для | IHC WB Иммуногистохимия; Вестерн-блоттинг |
| Рекомендуемые разведения | WB: 0.01-2 мкг/мл; IHC: 5-20 мкг/мл; ICC: 5-20 мкг/мл; Оптимальное разведение определяется конечным потребителем |
| Метод очистки | Антигенспецифическая аффинная хроматография с последующей аффинной хроматографией с белком А |
| Состав буфера | 0.01M PBS, pH7.4, 0.05% Proclin-300, 50% глицерин |
| Условия доставки | термобокс с аккумуляторами холода |
| Условия хранения | Сразу после получения аликвотировать и хранить при -20ºС до 24 месяцев. Для частого использования хранить при +4ºС не более 2 недель. Избегать повторения циклов замерзания/оттаивания |
| Срок хранения | 24 месяца |
| Производитель | Cloud-Clone Corp. |
| Ссылка на страницу товара на сайте производителя | http://www.cloud-clone.com/products/PAB528Mu01.html |
|
Артикул
|
Наименование |
Производитель
|
|---|
|
Артикул
|
Наименование |
Производитель
|
|---|
|
Артикул
|
Наименование |
Производитель
|
|---|
Акции и предложения
Популярные продукты:
Anti-Cyclin Dependent Kinase 1 (CDK1) Polyclonal Antibody (FAB888Hu01)
Источник (хозяин): кролик
Реактивность подтвержденная: человек
Валидировано для: FCM
Реактивность подтвержденная: человек
Валидировано для: FCM
Human Cell division cycle associated protein 4(CDCA4) ELISA kit (E01C1528)
Организм: человек
Диапазон определения: 250-5000 пг/мл
Чувствительность: 1 пг/мл
Диапазон определения: 250-5000 пг/мл
Чувствительность: 1 пг/мл
Sheep Cornulin(CRNN) ELISA kit (E14C2076)
Организм: овца
Guinea Pig C type lectin like domain family 1(CLECL1) ELISA kit (E05C1789)
Организм: морская свинка
Guinea Pig Secreted frizzled-related protein 2(SFRP2) ELISA kit (E05S0362)
Организм: морская свинка

