| UNIPROT | P62935 |
| Иммуноген | RPA979Bo01-Recombinant Cyclophilin A (CYPA) |
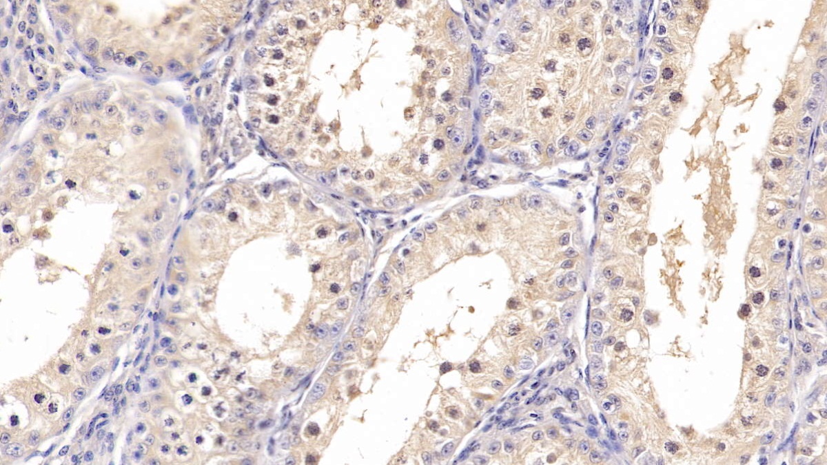
Polyclonal Antibody to Cyclophilin A (CYPA) (PAA979Bo01)
Реактивность подтвержденная:
корова
Источник (хозяин):
кролик
Валидировано для:
IHC
WB
Характеристики
Техническое описание
| Русское название | PAA979Bo01 Поликлональное антитело к CYPA (корова) <Cloud-Clone,Китай> |
| Каталожный номер | PAA979Bo01 |
| Название антигена | Cyclophilin A (CYPA) |
| UNIPROT | P62935 |
| Иммуноген | RPA979Bo01-Recombinant Cyclophilin A (CYPA) |
| Английские синонимы | PPIA, CyP-A, CYPH, Peptidylprolyl Isomerase A, Peptidyl-Prolyl Isomerase A, Peptidyl-prolyl cis-trans isomerase A, Cyclosporin A-binding protein |
Реактивность подтвержденная Нужна другая реактивность? |
корова |
| Реактивность предсказываемая | человек, корова |
| Источник (хозяин) | кролик |
| Клональность | поликлональное |
| Рекомбинантное | нет |
| Готовое к использованию | нет |
| Концентрация | 500 мкг/мл |
| Конъюгат | По запросу: HRP, biotin, PerCP, PE, Cy3, FITC, Cy7, Cy5.5, PE-Cy5, PE-Cy7, PerCp-Cy5.5, APC, Cy5, PE-Cy3, PE-Cy5.5, APC-Cy7, Biotin-APC, FITC-Biotin, TRITC, APC-Cy5, AF488, AF594, AF405, AF555, AF700, AF647, AF750 |
| Валидировано для | IHC WB Иммуногистохимия; Вестерн-блоттинг |
| Рекомендуемые разведения | WB: 0.03-1 мкг/мл; IHC: 5-20 мкг/мл; ICC: 5-20 мкг/мл; Оптимальное разведение определяется конечным потребителем |
| Метод очистки | Антигенспецифическая аффинная хроматография с последующей аффинной хроматографией с белком А |
| Состав буфера | PBS, pH7.4, 0.02% NaN3, 50% глицерин |
| Условия доставки | термобокс с аккумуляторами холода |
| Условия хранения | Сразу после получения аликвотировать и хранить при -20ºС до 24 месяцев. Для частого использования хранить при +4ºС не более 2 недель. Избегать повторения циклов замерзания/оттаивания |
| Срок хранения | 24 месяца |
| Производитель | Cloud-Clone Corp. |
| Ссылка на страницу товара на сайте производителя | http://www.cloud-clone.com/products/PAA979Bo01.html |
|
Артикул
|
Наименование |
Производитель
|
|---|
|
Артикул
|
Наименование |
Производитель
|
|---|
|
Артикул
|
Наименование |
Производитель
|
|---|
|
Артикул
|
Наименование |
Производитель
|
|---|
|
Артикул
|
Наименование |
Производитель
|
|---|
|
Артикул
|
Наименование |
Производитель
|
|---|
|
Артикул
|
Наименование |
Производитель
|
|---|
|
Артикул
|
Наименование |
Производитель
|
|---|
|
Артикул
|
Наименование |
Производитель
|
|---|
Акции и предложения
Популярные продукты:
RHAG Mouse Monoclonal Antibody (BF8659)
Источник (хозяин): мышь
Реактивность подтвержденная: человек, мышь, крыса
Валидировано для: WB
Реактивность подтвержденная: человек, мышь, крыса
Валидировано для: WB
Porcine Sirtuin 6 ELISA kit (E07S0445)
Организм: свинья
Porcine Sirtuin 1 ELISA kit (E07S0444)
Организм: свинья
Bovine Annexin A1 ELISA kit (E11A0208)
Организм: корова
Guinea Pig Transglutaminase 1 ELISA kit (E05T0892)
Организм: морская свинка

