| UNIPROT | P17742 |
| Иммуноген | RPA979Mu01-Recombinant Cyclophilin A (CYPA) |
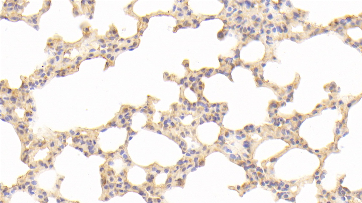
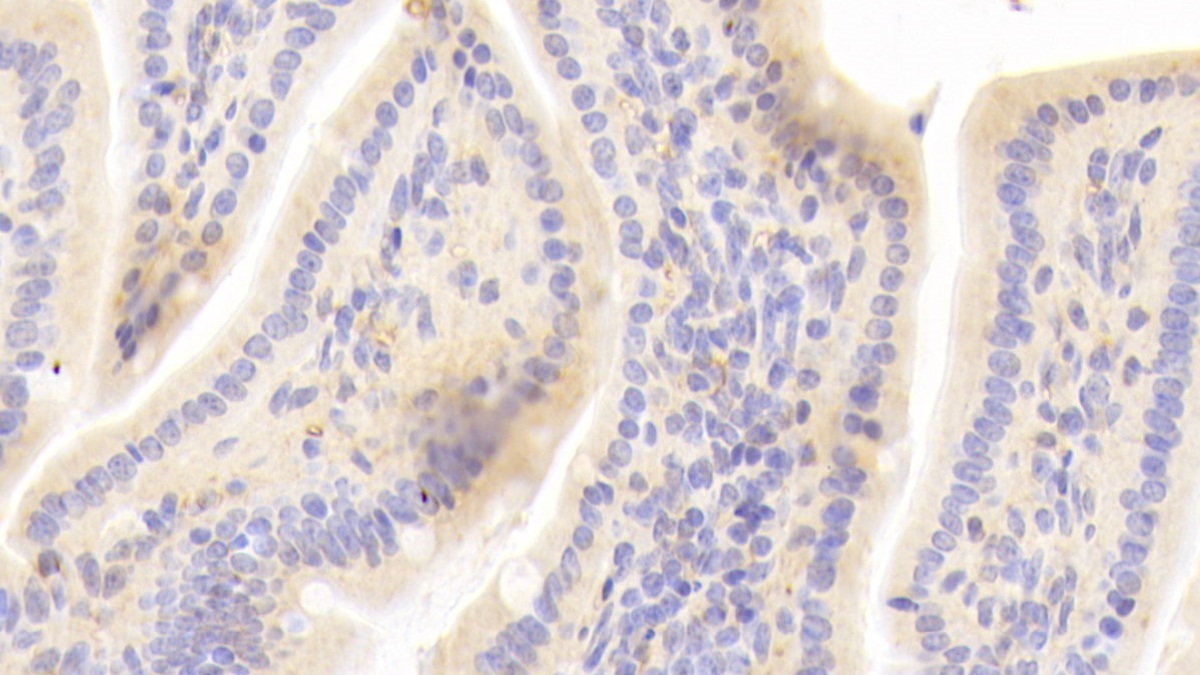
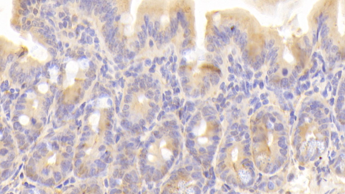
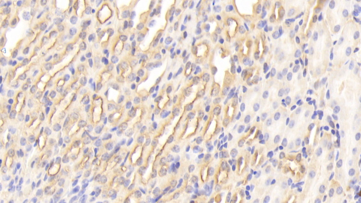
Polyclonal Antibody to Cyclophilin A (CYPA) (PAA979Mu01)
Реактивность подтвержденная:
мышь
Источник (хозяин):
кролик
Валидировано для:
IHC
WB
Характеристики
Публикации
Техническое описание
| Русское название | PAA979Mu01 Поликлональное антитело к CYPA (мышь) <Cloud-Clone,Китай> |
| Каталожный номер | PAA979Mu01 |
| Название антигена | Cyclophilin A (CYPA) |
| UNIPROT | P17742 |
| Иммуноген | RPA979Mu01-Recombinant Cyclophilin A (CYPA) |
| Английские синонимы | PPIA, CyP-A, CYPH, Peptidylprolyl Isomerase A, Peptidyl-Prolyl Isomerase A, Peptidyl-prolyl cis-trans isomerase A, Cyclosporin A-binding protein |
Реактивность подтвержденная Нужна другая реактивность? |
мышь |
| Реактивность предсказываемая | человек |
| Источник (хозяин) | кролик |
| Клональность | поликлональное |
| Рекомбинантное | нет |
| Готовое к использованию | нет |
| Концентрация | 0.5 мг/мл |
| Конъюгат | По запросу: HRP, biotin, PerCP, PE, Cy3, FITC, Cy7, Cy5.5, PE-Cy5, PE-Cy7, PerCp-Cy5.5, APC, Cy5, PE-Cy3, PE-Cy5.5, APC-Cy7, Biotin-APC, FITC-Biotin, TRITC, APC-Cy5, AF488, AF594, AF405, AF555, AF700, AF647, AF750 |
| Валидировано для | IHC WB Иммуногистохимия; Вестерн-блоттинг |
| Рекомендуемые разведения | WB: 0.01-2 мкг/мл; IHC: 5-20 мкг/мл; ICC: 5-20 мкг/мл; Оптимальное разведение определяется конечным потребителем |
| Метод очистки | Антигенспецифическая аффинная хроматография с последующей аффинной хроматографией с белком А |
| Состав буфера | 0.01M PBS, pH7.4, 0.05% Proclin-300, 50% глицерин |
| Условия доставки | термобокс с аккумуляторами холода |
| Условия хранения | Сразу после получения аликвотировать и хранить при -20ºС до 24 месяцев. Для частого использования хранить при +4ºС не более 2 недель. Избегать повторения циклов замерзания/оттаивания |
| Срок хранения | 24 месяца |
| Производитель | Cloud-Clone Corp. |
| Ссылка на страницу товара на сайте производителя | http://www.cloud-clone.com/products/PAA979Mu01.html |
|
Артикул
|
Наименование |
Производитель
|
|---|
|
Артикул
|
Наименование |
Производитель
|
|---|
|
Артикул
|
Наименование |
Производитель
|
|---|
|
Артикул
|
Наименование |
Производитель
|
|---|
|
Артикул
|
Наименование |
Производитель
|
|---|
|
Артикул
|
Наименование |
Производитель
|
|---|
|
Артикул
|
Наименование |
Производитель
|
|---|
|
Артикул
|
Наименование |
Производитель
|
|---|
|
Артикул
|
Наименование |
Производитель
|
|---|
Акции и предложения
Популярные продукты:
PE Anti-Human CD45RA Antibody[HI100] (FCE1918)
Источник (хозяин): мышь
Реактивность подтвержденная: человек
Валидировано для: FCM
Реактивность подтвержденная: человек
Валидировано для: FCM
Anti-Atezolizumab ELISA Kit (KAJ70101)
Организм: человек
Диапазон определения: 156.25-10000 нг/мл
Диапазон определения: 156.25-10000 нг/мл
PE/Cyanine5 Anti-Mouse Ly6G Antibody[1A8] (E-AB-F1108UG)
Источник (хозяин): крыса
Реактивность подтвержденная: мышь
Валидировано для: FCM
Реактивность подтвержденная: мышь
Валидировано для: FCM
RSF1 Antibody (DF8109)
Источник (хозяин): кролик
Реактивность подтвержденная: человек, мышь, крыса
Валидировано для: WB
Реактивность подтвержденная: человек, мышь, крыса
Валидировано для: WB
Phospho-IRF3 (Ser385) Antibody (AF3910)
Источник (хозяин): кролик
Реактивность подтвержденная: человек, мышь, крыса
Валидировано для: IF, ICC
Реактивность подтвержденная: человек, мышь, крыса
Валидировано для: IF, ICC
Polyclonal Antibody to Cyclophilin A (CYPA) (PAA979Si01)
Источник (хозяин): кролик
Реактивность подтвержденная: обезьяна
Валидировано для: WB
Реактивность подтвержденная: обезьяна
Валидировано для: WB

