| UNIPROT | P24369 |
| Иммуноген | RPA227Mu01-Recombinant Cyclophilin B (CYPB) |
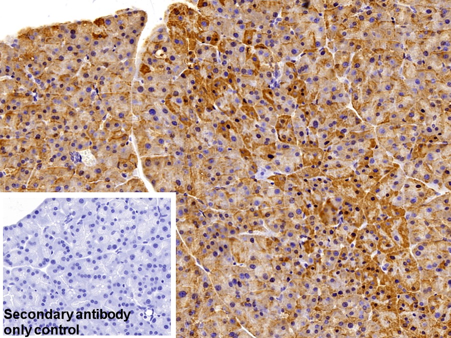
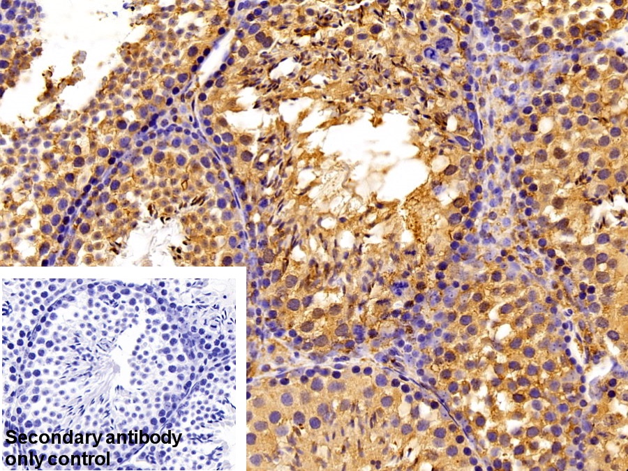
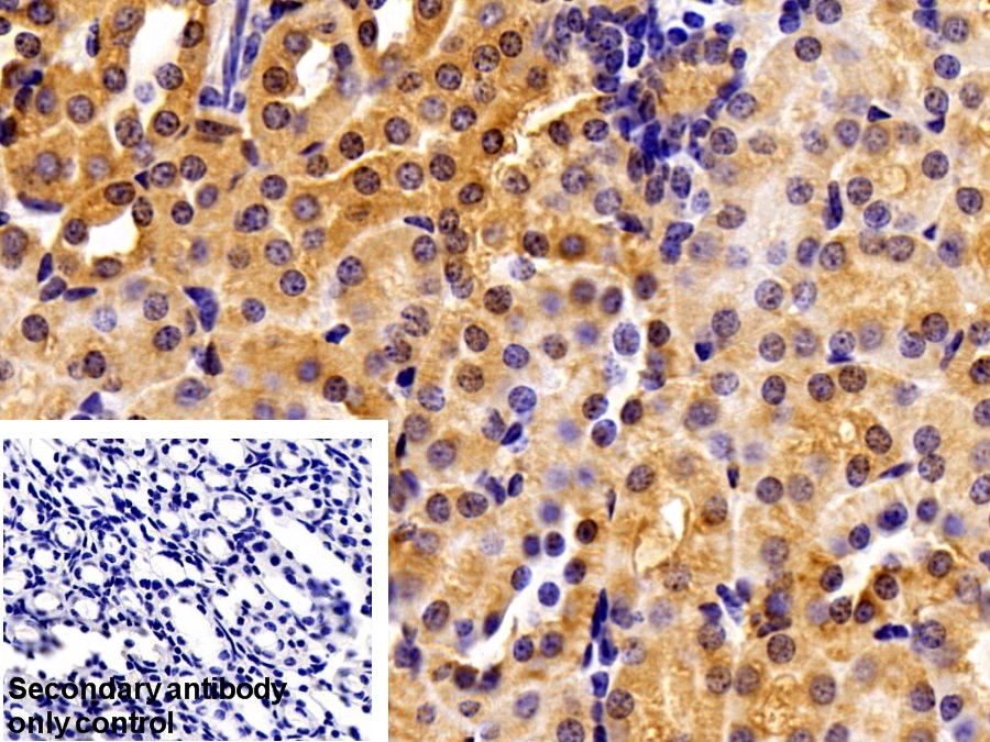
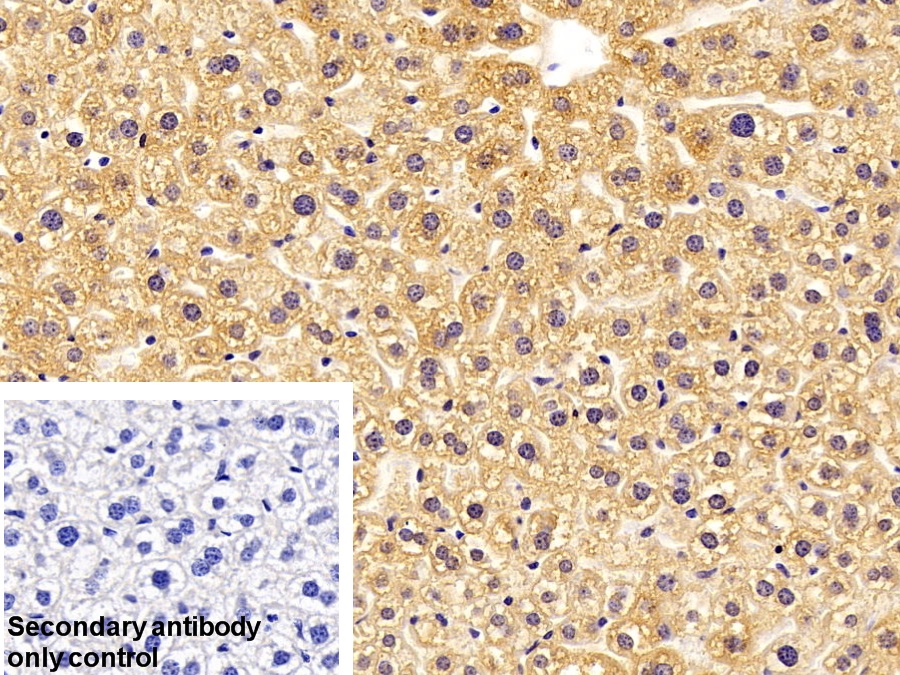
Polyclonal Antibody to Cyclophilin B (CYPB) (PAA227Mu01)
Реактивность подтвержденная:
мышь
Источник (хозяин):
кролик
Валидировано для:
IHC
WB
Характеристики
Техническое описание
| Русское название | PAA227Mu01 Поликлональное антитело к CYPB (мышь) <Cloud-Clone,Китай> |
| Каталожный номер | PAA227Mu01 |
| Название антигена | Cyclophilin B (CYPB) |
| UNIPROT | P24369 |
| Иммуноген | RPA227Mu01-Recombinant Cyclophilin B (CYPB) |
| Английские синонимы | PPIB, PPI-B, CYP-S1, CyP-B, SCYLP, PPIase B, Rotamase B, S-cyclophilin, Peptidylprolyl Isomerase B, Peptidyl-Prolyl Cis-Trans Isomerase B |
Реактивность подтвержденная Нужна другая реактивность? |
мышь |
| Реактивность предсказываемая | крыса |
| Источник (хозяин) | кролик |
| Клональность | поликлональное |
| Рекомбинантное | нет |
| Готовое к использованию | нет |
| Концентрация | 500 мкг/мл |
| Конъюгат | По запросу: HRP, biotin, PerCP, PE, Cy3, FITC, Cy7, Cy5.5, PE-Cy5, PE-Cy7, PerCp-Cy5.5, APC, Cy5, PE-Cy3, PE-Cy5.5, APC-Cy7, Biotin-APC, FITC-Biotin, TRITC, APC-Cy5, AF488, AF594, AF405, AF555, AF700, AF647, AF750 |
| Валидировано для | IHC WB Иммуногистохимия; Вестерн-блоттинг |
| Рекомендуемые разведения | WB: 0.5-2 мкг/мл; 1:220-900; IHC: 5-20 мкг/мл; 1:22-90; ICC: 5-20 мкг/мл; 1:22-90; Оптимальное разведение определяется конечным потребителем |
| Метод очистки | Антигенспецифическая аффинная хроматография с последующей аффинной хроматографией с белком А |
| Состав буфера | 0.01M PBS, pH7.4, 0.05% Proclin-300, 50% глицерин |
| Условия доставки | термобокс с аккумуляторами холода |
| Условия хранения | Сразу после получения аликвотировать и хранить при -20ºС до 24 месяцев. Для частого использования хранить при +4ºС не более 2 недель. Избегать повторения циклов замерзания/оттаивания |
| Срок хранения | 24 месяца |
| Производитель | Cloud-Clone Corp. |
| Ссылка на страницу товара на сайте производителя | http://www.cloud-clone.com/products/PAA227Mu01.html |
|
Артикул
|
Наименование |
Производитель
|
|---|
|
Артикул
|
Наименование |
Производитель
|
|---|
|
Артикул
|
Наименование |
Производитель
|
|---|
|
Артикул
|
Наименование |
Производитель
|
|---|
|
Артикул
|
Наименование |
Производитель
|
|---|
|
Артикул
|
Наименование |
Производитель
|
|---|
|
Артикул
|
Наименование |
Производитель
|
|---|
|
Артикул
|
Наименование |
Производитель
|
|---|
Акции и предложения
Популярные продукты:
PKD1/PKC mu Mouse Monoclonal Antibody (BF8168)
Источник (хозяин): мышь
Реактивность подтвержденная: человек, мышь
Валидировано для: WB
Реактивность подтвержденная: человек, мышь
Валидировано для: WB
ELISA Kit DIY Materials for Cholinergic Receptor, Nicotinic, Beta 3 (CHRNb3) (KSD144Hu01)
Организм: человек
Диапазон определения: 0.312-20 нг/мл
Чувствительность: 0.125 нг/мл
Диапазон определения: 0.312-20 нг/мл
Чувствительность: 0.125 нг/мл
Monoclonal Antibody to Heterogeneous Nuclear Ribonucleoprotein A2/B1 (HNRPA2B1) (MAA323Hu23)
Источник (хозяин): мышь
Реактивность подтвержденная: человек
Валидировано для: IHC, WB
Реактивность подтвержденная: человек
Валидировано для: IHC, WB
Bovine Protein Kinase D1 ELISA kit (E11P0113)
Организм: корова

