| UNIPROT | P01040 |
| Иммуноген | RPA476Hu01-Recombinant Cystatin A (CSTA) |
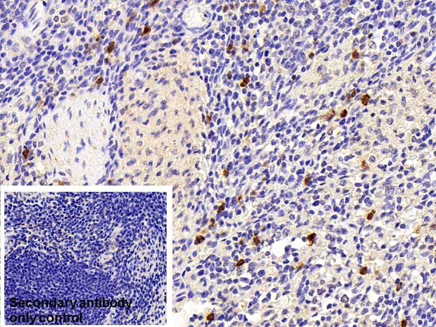
Polyclonal Antibody to Cystatin A (CSTA) (PAA476Hu01)
Реактивность подтвержденная:
человек
Источник (хозяин):
кролик
Валидировано для:
FCM
IHC
WB
Характеристики
Техническое описание
| Русское название | PAA476Hu01 Поликлональное антитело к CSTA (человек) <Cloud-Clone,Китай> |
| Каталожный номер | PAA476Hu01 |
| Название антигена | Cystatin A (CSTA) |
| UNIPROT | P01040 |
| Иммуноген | RPA476Hu01-Recombinant Cystatin A (CSTA) |
| Английские синонимы | Cys-A, STF1, STFA, Stefin A, Cystatin-AS |
Реактивность подтвержденная Нужна другая реактивность? |
человек |
| Реактивность предсказываемая | свинья |
| Источник (хозяин) | кролик |
| Клональность | поликлональное |
| Рекомбинантное | нет |
| Готовое к использованию | нет |
| Концентрация | 0.5 мг/мл |
| Конъюгат | По запросу: HRP, biotin, PerCP, PE, Cy3, FITC, Cy7, Cy5.5, PE-Cy5, PE-Cy7, PerCp-Cy5.5, APC, Cy5, PE-Cy3, PE-Cy5.5, APC-Cy7, Biotin-APC, FITC-Biotin, TRITC, APC-Cy5, AF488, AF594, AF405, AF555, AF700, AF647, AF750 |
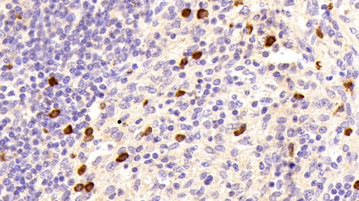
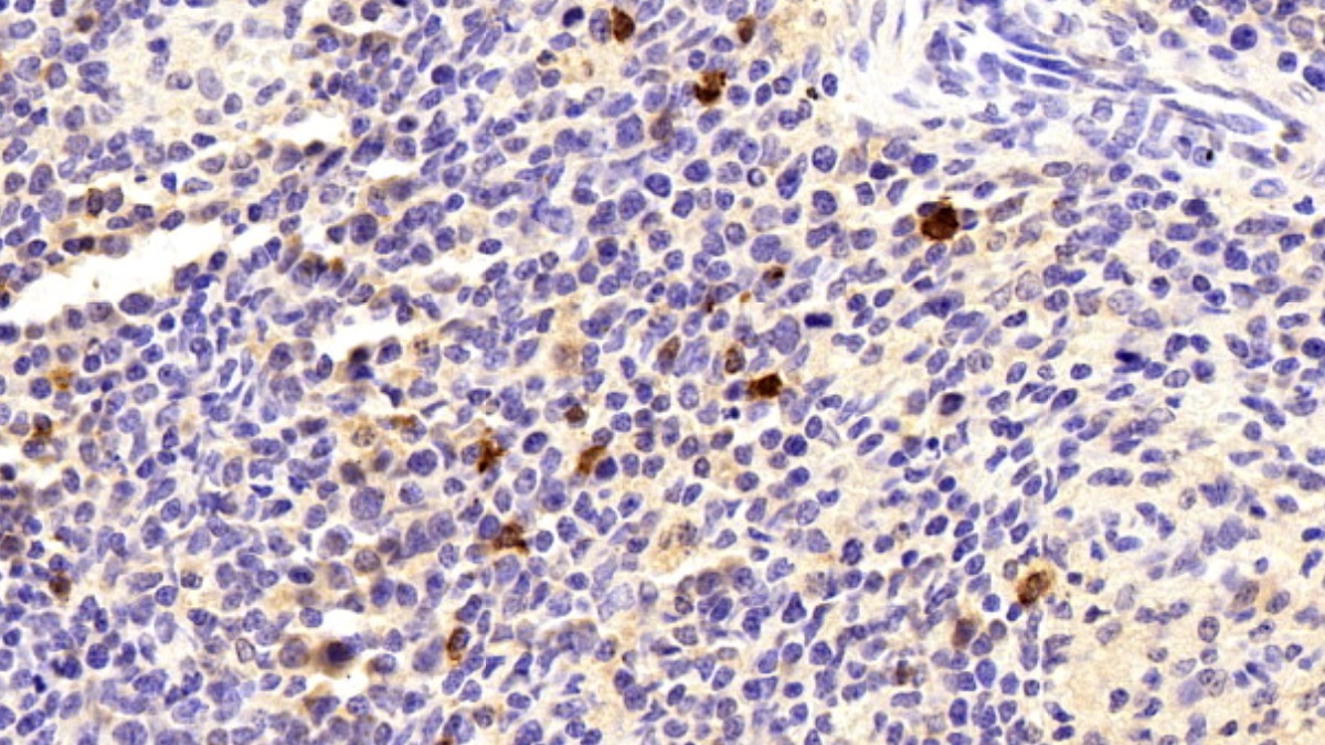
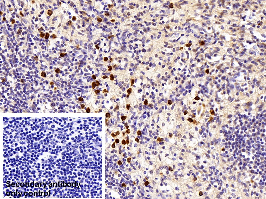
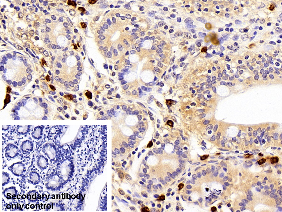
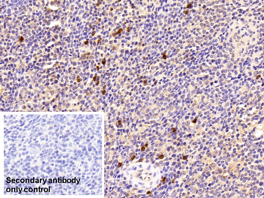
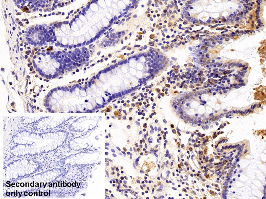
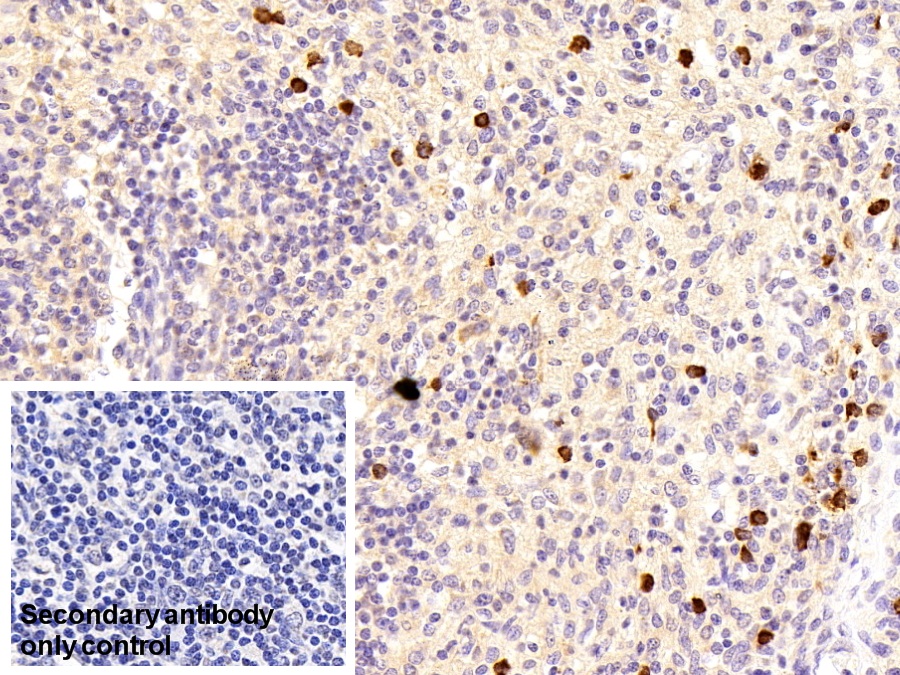
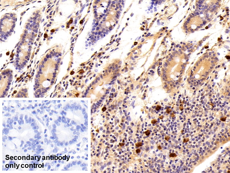
| Валидировано для | FCM IHC WB Проточная цитометрия; Иммуногистохимия; Вестерн-блоттинг |
| Рекомендуемые разведения | WB: 0.01-2 мкг/мл; IHC: 5-20 мкг/мл; ICC: 5-20 мкг/мл; FCM: 20 мкг/мл; Оптимальное разведение определяется конечным потребителем |
| Метод очистки | Антигенспецифическая аффинная хроматография с последующей аффинной хроматографией с белком А |
| Состав буфера | 0.01M PBS, pH7.4, 0.05% Proclin-300, 50% глицерин |
| Условия доставки | термобокс с аккумуляторами холода |
| Условия хранения | Сразу после получения аликвотировать и хранить при -20ºС до 24 месяцев. Для частого использования хранить при +4ºС не более 2 недель. Избегать повторения циклов замерзания/оттаивания |
| Срок хранения | 24 месяца |
| Производитель | Cloud-Clone Corp. |
| Ссылка на страницу товара на сайте производителя | http://www.cloud-clone.com/products/PAA476Hu01.html |
|
Артикул
|
Наименование |
Производитель
|
|---|
|
Артикул
|
Наименование |
Производитель
|
|---|
|
Артикул
|
Наименование |
Производитель
|
|---|
|
Артикул
|
Наименование |
Производитель
|
|---|
|
Артикул
|
Наименование |
Производитель
|
|---|
|
Артикул
|
Наименование |
Производитель
|
|---|
|
Артикул
|
Наименование |
Производитель
|
|---|
Акции и предложения
Популярные продукты:
Anti-Insulin Like Protein 3 (INSL3) Polyclonal Antibody (FAD873Hu01)
Источник (хозяин): кролик
Реактивность подтвержденная: человек
Валидировано для: FCM
Реактивность подтвержденная: человек
Валидировано для: FCM
Anti-Insulin (INS) Monoclonal Antibody (FAA448Hu04)
Источник (хозяин): мышь
Реактивность подтвержденная: человек
Валидировано для: FCM
Реактивность подтвержденная: человек
Валидировано для: FCM
ELISA Kit DIY Materials for Proteolipid Protein 1, Myelin (PLP1) (KSA417Hu01)
Организм: человек
Диапазон определения: 0.156-10 нг/мл
Чувствительность: 0.059 нг/мл
Диапазон определения: 0.156-10 нг/мл
Чувствительность: 0.059 нг/мл
ELISA Kit DIY Materials for Transcription Factor Binding To IGHM Enhancer 3 (TFE3) (KSJ718Hu01)
Организм: человек
Диапазон определения: 0.312-20 нг/мл
Чувствительность: 0.114 нг/мл
Диапазон определения: 0.312-20 нг/мл
Чувствительность: 0.114 нг/мл
Fish Streptozotocin ELISA kit (E17S0833)
Организм: рыба

