| UNIPROT | P25417 |
| Иммуноген | RPJ322Bo01-Recombinant Cystatin B (CSTB) |
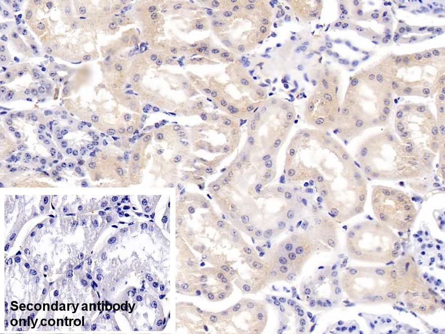
Polyclonal Antibody to Cystatin B (CSTB) (PAJ322Bo01)
Реактивность подтвержденная:
корова
Источник (хозяин):
кролик
Валидировано для:
IHC
WB
Характеристики
Техническое описание
| Русское название | PAJ322Bo01 Поликлональное антитело к CSTB (корова) <Cloud-Clone,Китай> |
| Каталожный номер | PAJ322Bo01 |
| Название антигена | Cystatin B (CSTB) |
| UNIPROT | P25417 |
| Иммуноген | RPJ322Bo01-Recombinant Cystatin B (CSTB) |
| Английские синонимы | Cys-B, CST6, EPM1, PME, STFB, CPI-B, Stefin B, Liver thiol proteinase inhibitor |
| Русские синонимы | цистатин Б, цистатин В, цистатин B |
Реактивность подтвержденная Нужна другая реактивность? |
корова |
| Реактивность предсказываемая | человек |
| Источник (хозяин) | кролик |
| Клональность | поликлональное |
| Рекомбинантное | нет |
| Готовое к использованию | нет |
| Концентрация | 500 мкг/мл |
| Конъюгат | По запросу: HRP, biotin, PerCP, PE, Cy3, FITC, Cy7, Cy5.5, PE-Cy5, PE-Cy7, PerCp-Cy5.5, APC, Cy5, PE-Cy3, PE-Cy5.5, APC-Cy7, Biotin-APC, FITC-Biotin, TRITC, APC-Cy5, AF488, AF594, AF405, AF555, AF700, AF647, AF750 |
| Валидировано для | IHC WB Иммуногистохимия; Вестерн-блоттинг |
| Рекомендуемые разведения | WB: 0.2-2 мкг/мл; 1:250-2500; IHC: 5-20 мкг/мл; 1:25-100; ICC: 5-20 мкг/мл; 1:25-100; Оптимальное разведение определяется конечным потребителем |
| Метод очистки | Антигенспецифическая аффинная хроматография с последующей аффинной хроматографией с белком А |
| Состав буфера | 0.01M PBS, pH7.4, 0.05% Proclin-300, 50% глицерин |
| Условия доставки | термобокс с аккумуляторами холода |
| Условия хранения | Сразу после получения аликвотировать и хранить при -20ºС до 24 месяцев. Для частого использования хранить при +4ºС не более 2 недель. Избегать повторения циклов замерзания/оттаивания |
| Срок хранения | 24 месяца |
| Производитель | Cloud-Clone Corp. |
| Ссылка на страницу товара на сайте производителя | http://www.cloud-clone.com/products/PAJ322Bo01.html |
|
Артикул
|
Наименование |
Производитель
|
|---|
|
Артикул
|
Наименование |
Производитель
|
|---|
|
Артикул
|
Наименование |
Производитель
|
|---|
|
Артикул
|
Наименование |
Производитель
|
|---|
|
Артикул
|
Наименование |
Производитель
|
|---|
|
Артикул
|
Наименование |
Производитель
|
|---|
Акции и предложения
Популярные продукты:
Anti-Human PMEL17/ME20M Antibody (SAb2277) (RHE28704)
Источник (хозяин): мышь
Реактивность подтвержденная: человек
Валидировано для: ELISA, FCM
Реактивность подтвержденная: человек
Валидировано для: ELISA, FCM
Canine adrenomedullin 2 (ADM2) ELISA kit (E08A1275)
Организм: собака
Canine Acetoacetyl CoA synthetase ELISA kit (E08A0083)
Организм: собака
Porcine Fibulin 3(FBLN3) ELISA kit (E07F0394)
Организм: свинья
Bovine Syndecan 3(SDC3) ELISA kit (E11S0351)
Организм: корова
Guinea Pig Optineurin ELISA kit (E05O0025)
Организм: морская свинка

