| UNIPROT | P21460 |
| Иммуноген | RPA896Mu01-Recombinant Cystatin C (Cys-C) |
Polyclonal Antibody to Cystatin C (Cys-C) (PAA896Mu01)
Реактивность подтвержденная:
мышь
Источник (хозяин):
кролик
Валидировано для:
IHC
WB
Характеристики
Техническое описание
| Русское название | PAA896Mu01 Поликлональное антитело к Cys-C (мышь) <Cloud-Clone,Китай> |
| Каталожный номер | PAA896Mu01 |
| Название антигена | Cystatin 3 (CST3) |
| UNIPROT | P21460 |
| Иммуноген | RPA896Mu01-Recombinant Cystatin C (Cys-C) |
| Английские синонимы | Cys-C, Cystatin C, Gamma Trace, Gamma-trace, Post-Gamma-Globulin, Neuroendocrine Basic Polypeptide, Amyloid Angiopathy And Cerebral Hemorrhage |
| Русские синонимы | Цистатин 3 |
Реактивность подтвержденная Нужна другая реактивность? |
мышь |
| Реактивность предсказываемая | крыса |
| Источник (хозяин) | кролик |
| Клональность | поликлональное |
| Рекомбинантное | нет |
| Готовое к использованию | нет |
| Концентрация | 0.5 мг/мл |
| Конъюгат | По запросу: HRP, biotin, PerCP, PE, Cy3, FITC, Cy7, Cy5.5, PE-Cy5, PE-Cy7, PerCp-Cy5.5, APC, Cy5, PE-Cy3, PE-Cy5.5, APC-Cy7, Biotin-APC, FITC-Biotin, TRITC, APC-Cy5, AF488, AF594, AF405, AF555, AF700, AF647, AF750 |
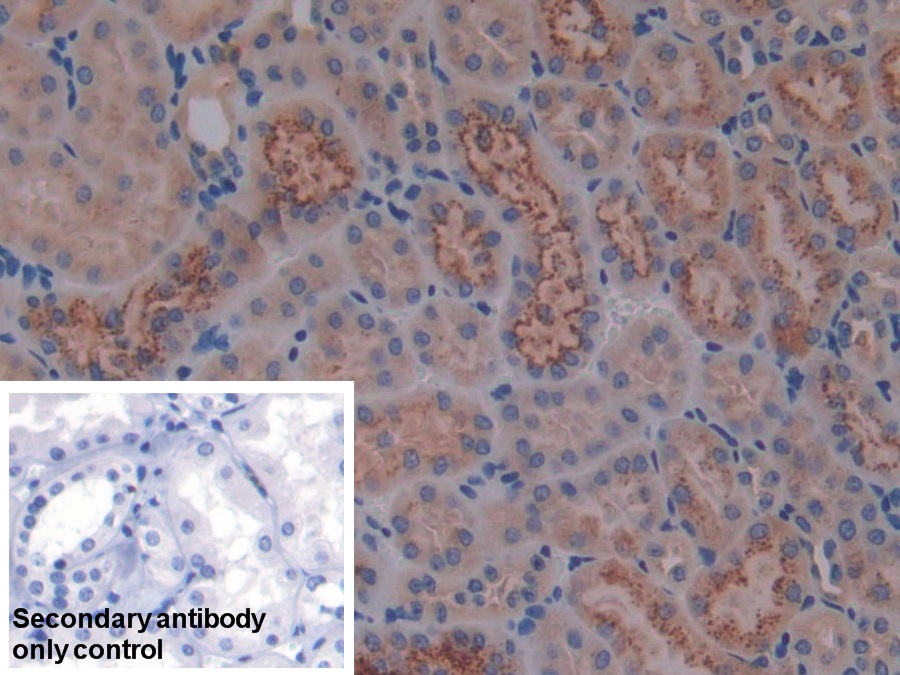
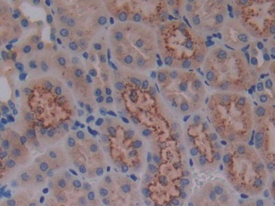
| Валидировано для | IHC WB Иммуногистохимия; Вестерн-блоттинг |
| Рекомендуемые разведения | WB: 0.01-3 мкг/мл; IHC: 5-20 мкг/мл; ICC: 5-20 мкг/мл; Оптимальное разведение определяется конечным потребителем |
| Метод очистки | Антигенспецифическая аффинная хроматография с последующей аффинной хроматографией с белком А |
| Состав буфера | PBS, pH7.4, 0.02% NaN3, 50% глицерин |
| Условия доставки | термобокс с аккумуляторами холода |
| Условия хранения | Сразу после получения аликвотировать и хранить при -20ºС до 24 месяцев. Для частого использования хранить при +4ºС не более 2 недель. Избегать повторения циклов замерзания/оттаивания |
| Срок хранения | 24 месяца |
| Производитель | Cloud-Clone Corp. |
| Ссылка на страницу товара на сайте производителя | http://www.cloud-clone.com/products/PAA896Mu01.html |
|
Артикул
|
Наименование |
Производитель
|
|---|
|
Артикул
|
Наименование |
Производитель
|
|---|
|
Артикул
|
Наименование |
Производитель
|
|---|
|
Артикул
|
Наименование |
Производитель
|
|---|
|
Артикул
|
Наименование |
Производитель
|
|---|
|
Артикул
|
Наименование |
Производитель
|
|---|
|
Артикул
|
Наименование |
Производитель
|
|---|
|
Артикул
|
Наименование |
Производитель
|
|---|
|
Артикул
|
Наименование |
Производитель
|
|---|
Акции и предложения
Популярные продукты:
ELISA Kit DIY Materials for Interleukin 16 (IL16) (KSA062Ra01)
Организм: крыса
Диапазон определения: 15.6-1000 пг/мл
Чувствительность: 5.4 пг/мл
Диапазон определения: 15.6-1000 пг/мл
Чувствительность: 5.4 пг/мл
ELISA Kit DIY Materials for Mucin 17 (MUC17) (KSA403Hu01)
Организм: человек
Диапазон определения: 15.6-1000 пг/мл
Чувствительность: 6.0 пг/мл
Диапазон определения: 15.6-1000 пг/мл
Чувствительность: 6.0 пг/мл
ELISA Kit for Gastrin Releasing Peptide (GRP) (CEC506Mu)
Организм: мышь
Диапазон определения: 12.35-1,000 пг/мл
Чувствительность: 0.25 нг/мл
Диапазон определения: 12.35-1,000 пг/мл
Чувствительность: 0.25 нг/мл
Porcine Pyruvate carboxylase ELISA kit (E07P0934)
Организм: свинья
Bovine Crk like protein(CRKL) ELISA kit (E11C2069)
Организм: корова

