| UNIPROT | P11715 |
| Иммуноген | RPC016Ra01-Recombinant Cytochrome P450 17A1 (CYP17A1) |
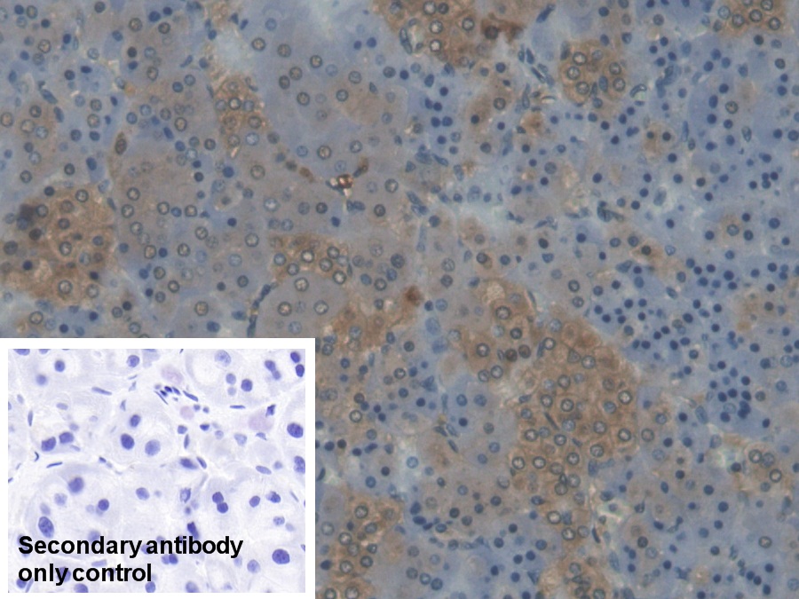
Polyclonal Antibody to Cytochrome P450 17A1 (CYP17A1) (PAC016Ra01)
Реактивность подтвержденная:
крыса
Источник (хозяин):
кролик
Валидировано для:
IHC
WB
Характеристики
Техническое описание
| Русское название | PAC016Ra01 Поликлональное антитело к CYP17A1 (крыса) <Cloud-Clone,Китай> |
| Каталожный номер | PAC016Ra01 |
| Название антигена | 17-Alpha-Hydroxylase (S17aH) |
| UNIPROT | P11715 |
| Иммуноген | RPC016Ra01-Recombinant Cytochrome P450 17A1 (CYP17A1) |
| Английские синонимы | CYP17A1, CPT7, P450C17, 17-alpha-hydroxyprogesterone aldolase/17,20-Lyase, Steroid 17-alpha-monooxygenase, Cytochrome P450,Family 17,Subfamily A,Polypeptide 1 |
Реактивность подтвержденная Нужна другая реактивность? |
крыса |
| Реактивность предсказываемая | человек |
| Источник (хозяин) | кролик |
| Клональность | поликлональное |
| Рекомбинантное | нет |
| Готовое к использованию | нет |
| Концентрация | 0.5 мг/мл |
| Конъюгат | По запросу: HRP, biotin, PerCP, PE, Cy3, FITC, Cy7, Cy5.5, PE-Cy5, PE-Cy7, PerCp-Cy5.5, APC, Cy5, PE-Cy3, PE-Cy5.5, APC-Cy7, Biotin-APC, FITC-Biotin, TRITC, APC-Cy5, AF488, AF594, AF405, AF555, AF700, AF647, AF750 |
| Валидировано для | IHC WB Иммуногистохимия; Вестерн-блоттинг |
| Рекомендуемые разведения | WB: 0.01-2 мкг/мл; IHC: 5-20 мкг/мл; ICC: 5-20 мкг/мл; Оптимальное разведение определяется конечным потребителем |
| Метод очистки | Антигенспецифическая аффинная хроматография с последующей аффинной хроматографией с белком А |
| Состав буфера | 0.01M PBS, pH7.4, 0.05% Proclin-300, 50% глицерин |
| Условия доставки | термобокс с аккумуляторами холода |
| Условия хранения | Сразу после получения аликвотировать и хранить при -20ºС до 24 месяцев. Для частого использования хранить при +4ºС не более 2 недель. Избегать повторения циклов замерзания/оттаивания |
| Срок хранения | 24 месяца |
| Производитель | Cloud-Clone Corp. |
| Ссылка на страницу товара на сайте производителя | http://www.cloud-clone.com/products/PAC016Ra01.html |
|
Артикул
|
Наименование |
Производитель
|
|---|
|
Артикул
|
Наименование |
Производитель
|
|---|
|
Артикул
|
Наименование |
Производитель
|
|---|
|
Артикул
|
Наименование |
Производитель
|
|---|
|
Артикул
|
Наименование |
Производитель
|
|---|
Акции и предложения
Популярные продукты:
Recombinant 3-Mercaptopyruvate Sulfurtransferase (MST) (RPC625Mu02)
Источник (хозяин): E.coli
Организм: мышь
Теги: N-концевой His-Tag
Биоактивность: нет
Организм: мышь
Теги: N-концевой His-Tag
Биоактивность: нет
Sheep Bestrophin 3(BEST3) ELISA kit (E14B0791)
Организм: овца
Human 6 phosphofructokinase, muscle type(PFKM) ELISA kit (E01P0904)
Организм: человек
Диапазон определения: 1-25 нг/мл
Чувствительность: 0.1 нг/мл
Диапазон определения: 1-25 нг/мл
Чувствительность: 0.1 нг/мл

