| UNIPROT | P00185 |
| Иммуноген | RPD295Ra01-Recombinant Cytochrome P450 1A1 (CYP1A1) |
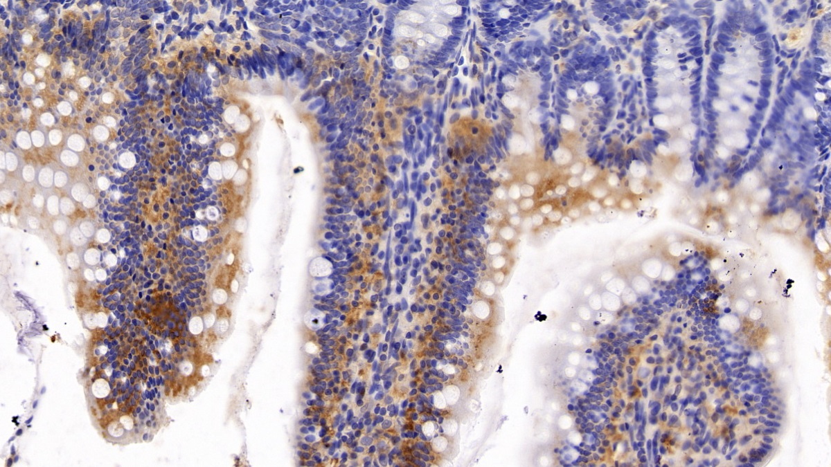
Polyclonal Antibody to Cytochrome P450 1A1 (CYP1A1) (PAD295Ra01)
Реактивность подтвержденная:
крыса
Источник (хозяин):
кролик
Валидировано для:
IHC
WB
Характеристики
Техническое описание
| Русское название | PAD295Ra01 Поликлональное антитело к CYP1A1 (крыса) <Cloud-Clone,Китай> |
| Каталожный номер | PAD295Ra01 |
| Название антигена | Cytochrome P450 1A1 (CYP1A1) |
| UNIPROT | P00185 |
| Иммуноген | RPD295Ra01-Recombinant Cytochrome P450 1A1 (CYP1A1) |
| Английские синонимы | CYP1, AHH, AHRR, CP11, P1-450, P450-C, P450DX, Cytochrome P450,Subfamily I(Aromatic Compound-Inducible),Polypeptide 1 |
Реактивность подтвержденная Нужна другая реактивность? |
крыса |
| Источник (хозяин) | кролик |
| Клональность | поликлональное |
| Рекомбинантное | нет |
| Готовое к использованию | нет |
| Концентрация | 0.25 мг/мл |
| Конъюгат | По запросу: HRP, biotin, PerCP, PE, Cy3, FITC, Cy7, Cy5.5, PE-Cy5, PE-Cy7, PerCp-Cy5.5, APC, Cy5, PE-Cy3, PE-Cy5.5, APC-Cy7, Biotin-APC, FITC-Biotin, TRITC, APC-Cy5, AF488, AF594, AF405, AF555, AF700, AF647, AF750 |
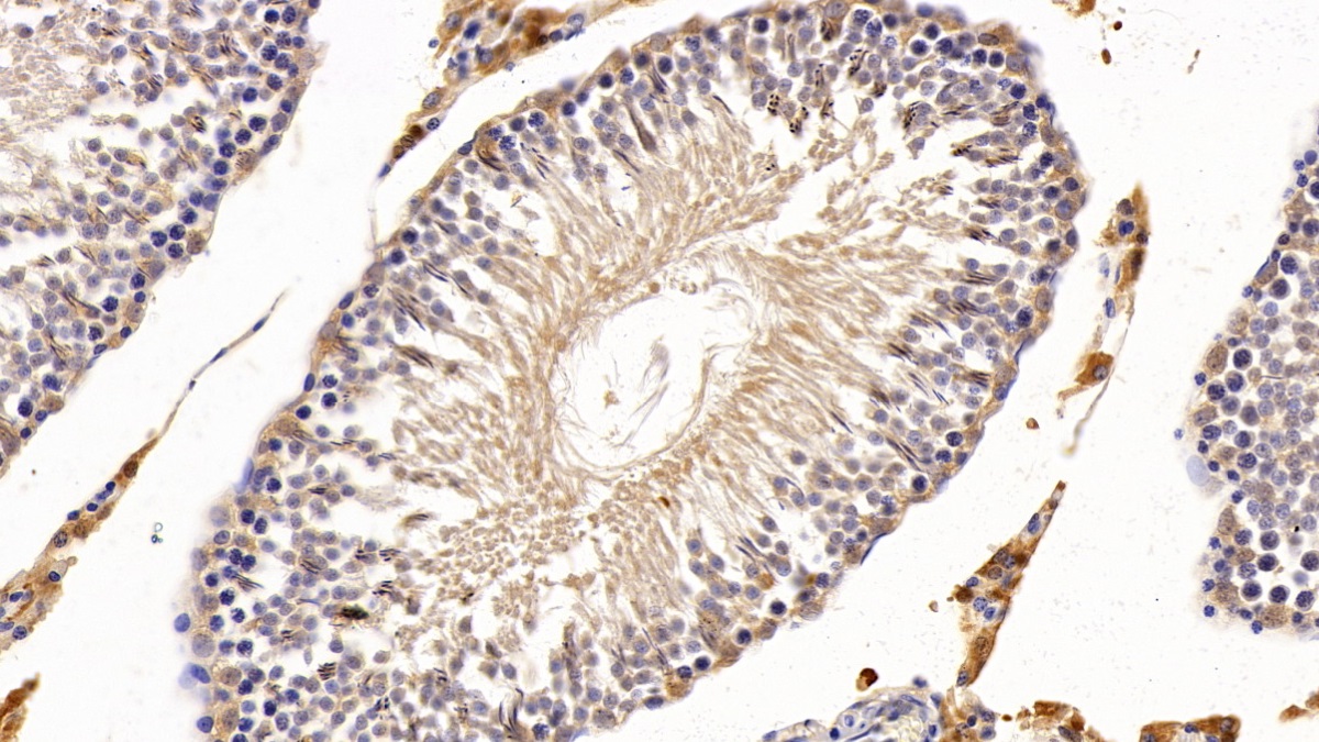
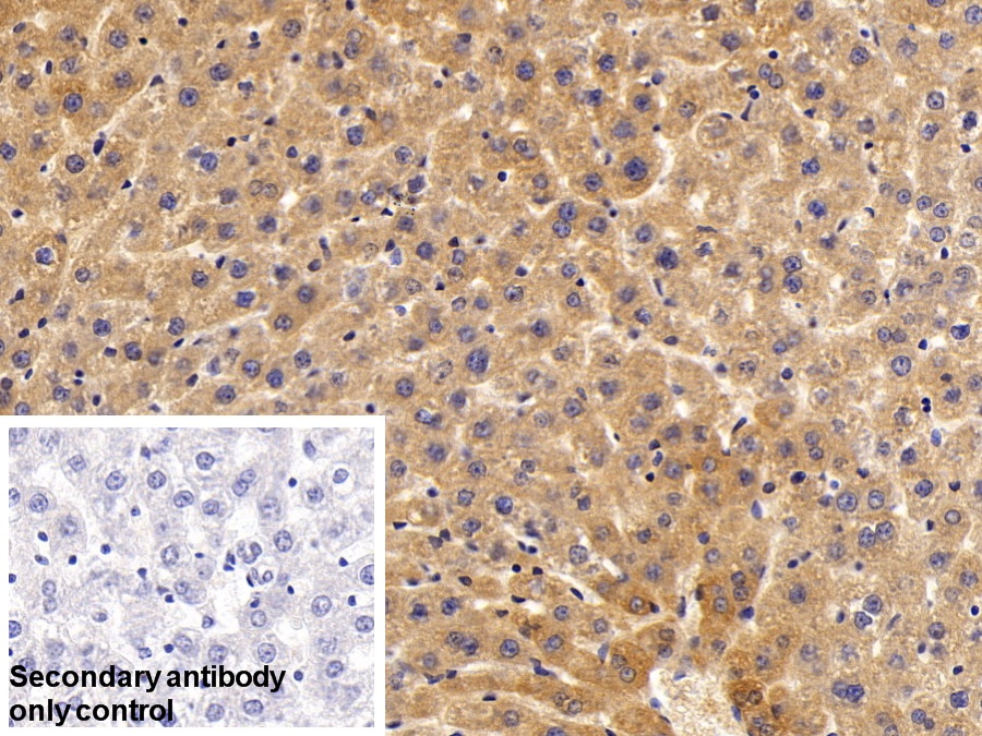
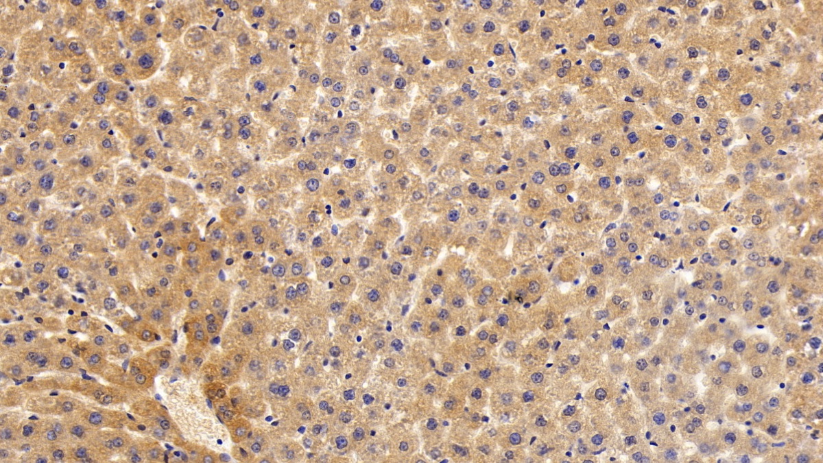
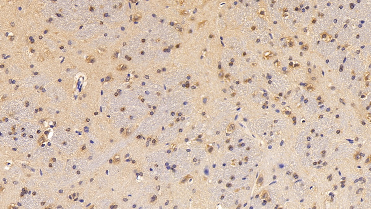
| Валидировано для | IHC WB Иммуногистохимия; Вестерн-блоттинг |
| Рекомендуемые разведения | WB: 0.01-2 мкг/мл; IHC: 5-30 мкг/мл; ICC: 5-20 мкг/мл; Оптимальное разведение определяется конечным потребителем |
| Метод очистки | Антигенспецифическая аффинная хроматография с последующей аффинной хроматографией с белком А |
| Состав буфера | PBS, pH7.4, 0.02% NaN3, 50% глицерин |
| Условия доставки | термобокс с аккумуляторами холода |
| Условия хранения | Сразу после получения аликвотировать и хранить при -20ºС до 24 месяцев. Для частого использования хранить при +4ºС не более 2 недель. Избегать повторения циклов замерзания/оттаивания |
| Срок хранения | 24 месяца |
| Производитель | Cloud-Clone Corp. |
| Ссылка на страницу товара на сайте производителя | http://www.cloud-clone.com/products/PAD295Ra01.html |
|
Артикул
|
Наименование |
Производитель
|
|---|
|
Артикул
|
Наименование |
Производитель
|
|---|
|
Артикул
|
Наименование |
Производитель
|
|---|
|
Артикул
|
Наименование |
Производитель
|
|---|
|
Артикул
|
Наименование |
Производитель
|
|---|
Акции и предложения
Популярные продукты:
ELISA Kit DIY Materials for Ataxia Telangiectasia Mutated (ATM) (KSB361Mu01)
Организм: мышь
Диапазон определения: 0.156-10 нг/мл
Чувствительность: 0.060 нг/мл
Диапазон определения: 0.156-10 нг/мл
Чувствительность: 0.060 нг/мл
ELISA Kit DIY Materials for Fibroblast Growth Factor 21 (FGF21) (KSC918Hu01)
Организм: человек
Диапазон определения: 15.6-1000 пг/мл
Чувствительность: 5.9 пг/мл
Диапазон определения: 15.6-1000 пг/мл
Чувствительность: 5.9 пг/мл

