| UNIPROT | P10635 |
| Иммуноген | RPD302Hu01-Recombinant Cytochrome P450 2D6 (CYP2D6) |
Polyclonal Antibody to Cytochrome P450 2D6 (CYP2D6) (PAD302Hu01)
Реактивность подтвержденная:
человек
Источник (хозяин):
кролик
Валидировано для:
IHC
WB
Характеристики
Техническое описание
| Русское название | PAD302Hu01 Поликлональное антитело к CYP2D6 (человек) <Cloud-Clone,Китай> |
| Каталожный номер | PAD302Hu01 |
| Название антигена | Cytochrome P450 2D6 (CYP2D6) |
| UNIPROT | P10635 |
| Иммуноген | RPD302Hu01-Recombinant Cytochrome P450 2D6 (CYP2D6) |
| Английские синонимы | CYP2D, P450C2D, CPD6, CYP2DL1, P450-DB1, Cytochrome P450 Family 2 Subfamily D Polypeptide 6, Cytochrome P450-DB1, Debrisoquine 4-hydroxylase |
Реактивность подтвержденная Нужна другая реактивность? |
человек |
| Реактивность предсказываемая | мышь, крыса, свинья |
| Источник (хозяин) | кролик |
| Клональность | поликлональное |
| Рекомбинантное | нет |
| Готовое к использованию | нет |
| Концентрация | 0.5 мг/мл |
| Конъюгат | По запросу: HRP, biotin, PerCP, PE, Cy3, FITC, Cy7, Cy5.5, PE-Cy5, PE-Cy7, PerCp-Cy5.5, APC, Cy5, PE-Cy3, PE-Cy5.5, APC-Cy7, Biotin-APC, FITC-Biotin, TRITC, APC-Cy5, AF488, AF594, AF405, AF555, AF700, AF647, AF750 |
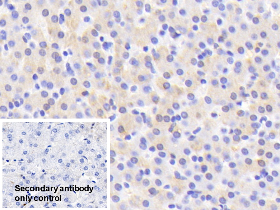
| Валидировано для | IHC WB Иммуногистохимия; Вестерн-блоттинг |
| Рекомендуемые разведения | WB: 0.2-2 мкг/мл; 1:250-2500; IHC: 5-20 мкг/мл; 1:25-100; ICC: 5-20 мкг/мл; 1:25-100; Оптимальное разведение определяется конечным потребителем |
| Метод очистки | Антигенспецифическая аффинная хроматография с последующей аффинной хроматографией с белком А |
| Состав буфера | PBS, pH7.4, 0.02% NaN3, 50% глицерин |
| Условия доставки | термобокс с аккумуляторами холода |
| Условия хранения | Сразу после получения аликвотировать и хранить при -20ºС до 24 месяцев. Для частого использования хранить при +4ºС не более 2 недель. Избегать повторения циклов замерзания/оттаивания |
| Срок хранения | 24 месяца |
| Производитель | Cloud-Clone Corp. |
| Ссылка на страницу товара на сайте производителя | http://www.cloud-clone.com/products/PAD302Hu01.html |
|
Артикул
|
Наименование |
Производитель
|
|---|
|
Артикул
|
Наименование |
Производитель
|
|---|
|
Артикул
|
Наименование |
Производитель
|
|---|
|
Артикул
|
Наименование |
Производитель
|
|---|
Акции и предложения
Популярные продукты:
Chicken Arylsulfatase F(ARSF) ELISA kit (E12A1687)
Организм: курица
Guinea Pig Probable ATP dependent RNA helicase DDX20(DDX20) ELISA kit (E05P0772)
Организм: морская свинка
Rat GTPase NRas(NRAS) ELISA kit (E02G0453)
Организм: крыса
Rabbit 14 kDa phosphohistidine phosphatase ELISA kit (E04P0906)
Организм: кролик
Hamster Proteasome subunit β type 5 ELISA kit (E18P1263)
Организм: хомяк
Canine Cytochrome P450 2D6(CYP2D6) ELISA kit (E08C2242)
Организм: собака

