| UNIPROT | P05182 |
| Иммуноген | RPA988Ra01-Recombinant Cytochrome P450 2E1 (CYP2E1) |
Polyclonal Antibody to Cytochrome P450 2E1 (CYP2E1) (PAA988Ra01)
Реактивность подтвержденная:
крыса
Источник (хозяин):
кролик
Валидировано для:
IHC
WB
Характеристики
Техническое описание
| Русское название | PAA988Ra01 Поликлональное антитело к CYP2E1 (крыса) <Cloud-Clone,Китай> |
| Каталожный номер | PAA988Ra01 |
| Название антигена | Cytochrome P450 2E1 (CYP2E1) |
| UNIPROT | P05182 |
| Иммуноген | RPA988Ra01-Recombinant Cytochrome P450 2E1 (CYP2E1) |
| Английские синонимы | CPE1, CYPIIE1, P450-J, P450C2E, 4-nitrophenol 2-hydroxylase, Cytochrome P450 Family 2 Subfamily E 1, Cytochrome P450,Subfamily IIE(Ethanol-Inducible)Polypeptide 1 |
Реактивность подтвержденная Нужна другая реактивность? |
крыса |
| Реактивность предсказываемая | мышь, свинья |
| Источник (хозяин) | кролик |
| Клональность | поликлональное |
| Рекомбинантное | нет |
| Готовое к использованию | нет |
| Концентрация | 1 мг/мл |
| Конъюгат | По запросу: HRP, biotin, PerCP, PE, Cy3, FITC, Cy7, Cy5.5, PE-Cy5, PE-Cy7, PerCp-Cy5.5, APC, Cy5, PE-Cy3, PE-Cy5.5, APC-Cy7, Biotin-APC, FITC-Biotin, TRITC, APC-Cy5, AF488, AF594, AF405, AF555, AF700, AF647, AF750 |
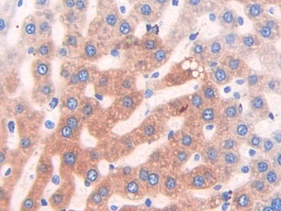
| Валидировано для | IHC WB Иммуногистохимия; Вестерн-блоттинг |
| Рекомендуемые разведения | WB: 0.5-2 мкг/мл; IHC: 5-20 мкг/мл; ICC: 5-20 мкг/мл; Оптимальное разведение определяется конечным потребителем |
| Метод очистки | Антигенспецифическая аффинная хроматография с последующей аффинной хроматографией с белком А |
| Состав буфера | PBS, pH7.4, 0.02% NaN3, 50% глицерин |
| Условия доставки | термобокс с аккумуляторами холода |
| Условия хранения | Сразу после получения аликвотировать и хранить при -20ºС до 24 месяцев. Для частого использования хранить при +4ºС не более 2 недель. Избегать повторения циклов замерзания/оттаивания |
| Срок хранения | 24 месяца |
| Производитель | Cloud-Clone Corp. |
| Ссылка на страницу товара на сайте производителя | http://www.cloud-clone.com/products/PAA988Ra01.html |
|
Артикул
|
Наименование |
Производитель
|
|---|
|
Артикул
|
Наименование |
Производитель
|
|---|
|
Артикул
|
Наименование |
Производитель
|
|---|
|
Артикул
|
Наименование |
Производитель
|
|---|
Акции и предложения
Популярные продукты:
Chicken Ameloblastin(AMBN) ELISA kit (E12A1415)
Организм: курица
Canine Arginyl-tRNA Synthetase (RARS) ELISA Kit (E08A1949)
Организм: собака
Goat Arginyl-tRNA Synthetase (RARS) ELISA Kit (E06A1949)
Организм: коза
Sheep Arginyl tRNA Synthetase (RARS) ELISA kit (E14A1075)
Организм: овца
Goat Arginyl tRNA Synthetase (RARS) ELISA kit (E06A1075)
Организм: коза

