| UNIPROT | P22680 |
| Иммуноген | RPB053Hu01-Recombinant Cytochrome P450 7A1 (CYP7A1) |
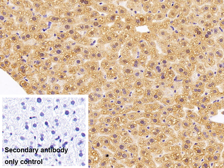
Polyclonal Antibody to Cytochrome P450 7A1 (CYP7A1) (PAB053Hu01)
Реактивность подтвержденная:
человек
Источник (хозяин):
кролик
Валидировано для:
IHC
Характеристики
Техническое описание
| Русское название | PAB053Hu01 Поликлональное антитело к CYP7A1 (человек) <Cloud-Clone,Китай> |
| Каталожный номер | PAB053Hu01 |
| Название антигена | Cytochrome P450 7A1 (CYP7A1) |
| UNIPROT | P22680 |
| Иммуноген | RPB053Hu01-Recombinant Cytochrome P450 7A1 (CYP7A1) |
| Английские синонимы | CYP7, CYP7-A1, CYPVII, Cholesterol 7 Alpha Hydroxylase, Cytochrome P450 Family 7 Subfamily A Polypeptide 1 |
Реактивность подтвержденная Нужна другая реактивность? |
человек |
| Источник (хозяин) | кролик |
| Клональность | поликлональное |
| Рекомбинантное | нет |
| Готовое к использованию | нет |
| Концентрация | 0.5 мг/мл |
| Конъюгат | По запросу: HRP, biotin, PerCP, PE, Cy3, FITC, Cy7, Cy5.5, PE-Cy5, PE-Cy7, PerCp-Cy5.5, APC, Cy5, PE-Cy3, PE-Cy5.5, APC-Cy7, Biotin-APC, FITC-Biotin, TRITC, APC-Cy5, AF488, AF594, AF405, AF555, AF700, AF647, AF750 |
| Валидировано для | IHC Иммуногистохимия |
| Рекомендуемые разведения | WB: 0.01-2 мкг/мл; IHC: 5-20 мкг/мл; ICC: 5-20 мкг/мл; Оптимальное разведение определяется конечным потребителем |
| Метод очистки | Антигенспецифическая аффинная хроматография с последующей аффинной хроматографией с белком А |
| Состав буфера | 0.01M PBS, pH7.4, 0.05% Proclin-300, 50% глицерин |
| Условия доставки | термобокс с аккумуляторами холода |
| Условия хранения | Сразу после получения аликвотировать и хранить при -20ºС до 24 месяцев. Для частого использования хранить при +4ºС не более 2 недель. Избегать повторения циклов замерзания/оттаивания |
| Срок хранения | 24 месяца |
| Производитель | Cloud-Clone Corp. |
| Ссылка на страницу товара на сайте производителя | http://www.cloud-clone.com/products/PAB053Hu01.html |
|
Артикул
|
Наименование |
Производитель
|
|---|
|
Артикул
|
Наименование |
Производитель
|
|---|
|
Артикул
|
Наименование |
Производитель
|
|---|
|
Артикул
|
Наименование |
Производитель
|
|---|
Акции и предложения
Популярные продукты:
Anti-Feline herpesvirus 1/FHV-1 Antibody (Fs0348) (RVV46301)
Источник (хозяин): кошка
Реактивность подтвержденная: вирусы
Валидировано для: ELISA, NEUT
Реактивность подтвержденная: вирусы
Валидировано для: ELISA, NEUT
Rabbit Dipeptidase 1(DPEP1) ELISA kit (E04D0293)
Организм: кролик
Rat CD97 ELISA kit (E02C0579)
Организм: крыса
Anti-Staphylococcus aureus entB/SEB Polyclonal Antibody (PXX05501)
Источник (хозяин): кролик
Реактивность подтвержденная: бактерии
Валидировано для: ELISA, IHC, WB
Реактивность подтвержденная: бактерии
Валидировано для: ELISA, IHC, WB
Anti-PSMB8 Polyclonal Antibody (PHD76101)
Источник (хозяин): кролик
Реактивность подтвержденная: человек, мышь, крыса
Валидировано для: ELISA, IHC, WB
Реактивность подтвержденная: человек, мышь, крыса
Валидировано для: ELISA, IHC, WB
Anti-ALOX15 Polyclonal Antibody (PHD14601)
Источник (хозяин): кролик
Реактивность подтвержденная: человек
Валидировано для: ELISA, IHC, WB
Реактивность подтвержденная: человек
Валидировано для: ELISA, IHC, WB

