| UNIPROT | P18125 |
| Иммуноген | RPB053Ra01-Recombinant Cytochrome P450 7A1 (CYP7A1) |
Polyclonal Antibody to Cytochrome P450 7A1 (CYP7A1) (PAB053Ra01)
Реактивность подтвержденная:
крыса
Источник (хозяин):
кролик
Валидировано для:
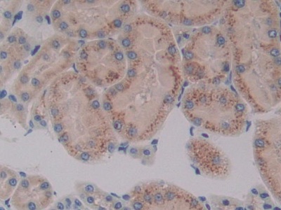
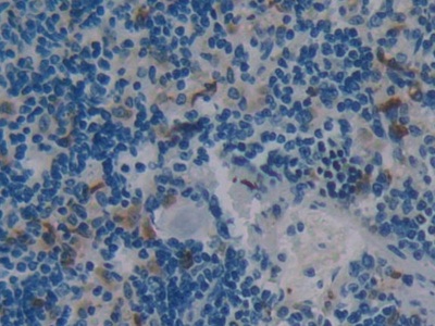
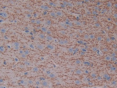
IHC
Характеристики
Техническое описание
| Русское название | PAB053Ra01 Поликлональное антитело к CYP7A1 (крыса) <Cloud-Clone,Китай> |
| Каталожный номер | PAB053Ra01 |
| Название антигена | Cytochrome P450 7A1 (CYP7A1) |
| UNIPROT | P18125 |
| Иммуноген | RPB053Ra01-Recombinant Cytochrome P450 7A1 (CYP7A1) |
| Английские синонимы | CYP7, CYP7-A1, CYPVII, Cholesterol 7 Alpha Hydroxylase, Cytochrome P450 Family 7 Subfamily A Polypeptide 1 |
Реактивность подтвержденная Нужна другая реактивность? |
крыса |
| Источник (хозяин) | кролик |
| Клональность | поликлональное |
| Рекомбинантное | нет |
| Готовое к использованию | нет |
| Концентрация | 0.5 мг/мл |
| Конъюгат | По запросу: HRP, biotin, PerCP, PE, Cy3, FITC, Cy7, Cy5.5, PE-Cy5, PE-Cy7, PerCp-Cy5.5, APC, Cy5, PE-Cy3, PE-Cy5.5, APC-Cy7, Biotin-APC, FITC-Biotin, TRITC, APC-Cy5, AF488, AF594, AF405, AF555, AF700, AF647, AF750 |
| Валидировано для | IHC Иммуногистохимия |
| Рекомендуемые разведения | WB: 0.01-2 мкг/мл; IHC: 5-20 мкг/мл; ICC: 5-20 мкг/мл; Оптимальное разведение определяется конечным потребителем |
| Метод очистки | Антигенспецифическая аффинная хроматография с последующей аффинной хроматографией с белком А |
| Состав буфера | PBS, pH7.4, 0.02% NaN3, 50% глицерин |
| Условия доставки | термобокс с аккумуляторами холода |
| Условия хранения | Сразу после получения аликвотировать и хранить при -20ºС до 24 месяцев. Для частого использования хранить при +4ºС не более 2 недель. Избегать повторения циклов замерзания/оттаивания |
| Срок хранения | 24 месяца |
| Производитель | Cloud-Clone Corp. |
| Ссылка на страницу товара на сайте производителя | http://www.cloud-clone.com/products/PAB053Ra01.html |
|
Артикул
|
Наименование |
Производитель
|
|---|
|
Артикул
|
Наименование |
Производитель
|
|---|
|
Артикул
|
Наименование |
Производитель
|
|---|
|
Артикул
|
Наименование |
Производитель
|
|---|
Акции и предложения
Популярные продукты:
Histone Deacetylase (HDAC) Activity Fluorometric Assay Kit (E-BC-F051)
Организм: для всех
Диапазон определения: 0.019 Ед/л
Чувствительность: 0.019-1.027 Ед/л
Диапазон определения: 0.019 Ед/л
Чувствительность: 0.019-1.027 Ед/л
Bovine Cytosolic carboxypeptidase 1(AGTPBP1) ELISA kit (E11C1187)
Организм: корова
Chicken Cytoplasmic protein NCK2(NCK2) ELISA kit (E12C2360)
Организм: курица
Canine Claudin 7(CLDN7) ELISA kit (E08C0990)
Организм: собака
Guinea Pig Claudin 7(CLDN7) ELISA kit (E05C0990)
Организм: морская свинка

