| UNIPROT | P16435 |
| Иммуноген | RPD312Hu01-Recombinant Cytochrome P450 Reductase (CPR) |
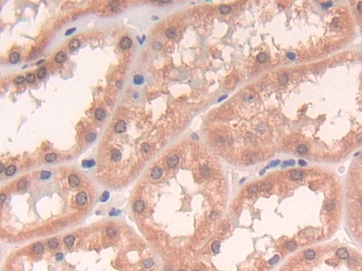
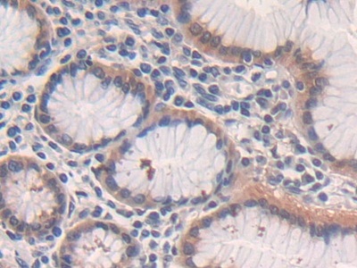
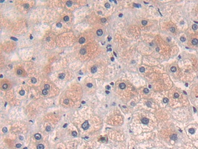
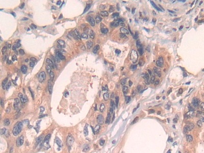
Polyclonal Antibody to Cytochrome P450 Reductase (CPR) (PAD312Hu01)
Реактивность подтвержденная:
человек
Источник (хозяин):
кролик
Валидировано для:
IHC
WB
Характеристики
Техническое описание
| Русское название | PAD312Hu01 Поликлональное антитело к CPR (человек) <Cloud-Clone,Китай> |
| Каталожный номер | PAD312Hu01 |
| Название антигена | Cytochrome P450 Reductase (CPR) |
| UNIPROT | P16435 |
| Иммуноген | RPD312Hu01-Recombinant Cytochrome P450 Reductase (CPR) |
| Английские синонимы | POR, CYPOR, P450R, P450(Cytochrome)Oxidoreductase, NADPH--cytochrome P450 reductase |
Реактивность подтвержденная Нужна другая реактивность? |
человек |
| Реактивность предсказываемая | мышь, крыса, свинья |
| Источник (хозяин) | кролик |
| Клональность | поликлональное |
| Рекомбинантное | нет |
| Готовое к использованию | нет |
| Концентрация | 0.5 мг/мл |
| Конъюгат | По запросу: HRP, biotin, PerCP, PE, Cy3, FITC, Cy7, Cy5.5, PE-Cy5, PE-Cy7, PerCp-Cy5.5, APC, Cy5, PE-Cy3, PE-Cy5.5, APC-Cy7, Biotin-APC, FITC-Biotin, TRITC, APC-Cy5, AF488, AF594, AF405, AF555, AF700, AF647, AF750 |
| Валидировано для | IHC WB Иммуногистохимия; Вестерн-блоттинг |
| Рекомендуемые разведения | WB: 0.01-3 мкг/мл; IHC: 5-30 мкг/мл; ICC: 5-30 мкг/мл; Оптимальное разведение определяется конечным потребителем |
| Метод очистки | Антигенспецифическая аффинная хроматография с последующей аффинной хроматографией с белком А |
| Состав буфера | 0.01M PBS, pH7.4, 0.05% Proclin-300, 50% глицерин |
| Условия доставки | термобокс с аккумуляторами холода |
| Условия хранения | Сразу после получения аликвотировать и хранить при -20ºС до 24 месяцев. Для частого использования хранить при +4ºС не более 2 недель. Избегать повторения циклов замерзания/оттаивания |
| Срок хранения | 24 месяца |
| Производитель | Cloud-Clone Corp. |
| Ссылка на страницу товара на сайте производителя | http://www.cloud-clone.com/products/PAD312Hu01.html |
|
Артикул
|
Наименование |
Производитель
|
|---|
|
Артикул
|
Наименование |
Производитель
|
|---|
|
Артикул
|
Наименование |
Производитель
|
|---|
Акции и предложения
Популярные продукты:
Recombinant Mouse Chitinase 3-like 1 Protein(Fc Tag) (PDMM100152)
Источник (хозяин): клетки млекопитающих
Организм: мышь
Фрагмент: Tyr30-Ala389
Теги: C-Fc
Биоактивность: нет
Организм: мышь
Фрагмент: Tyr30-Ala389
Теги: C-Fc
Биоактивность: нет
Porcine Arylsulfatase K(ARSK) ELISA kit (E07A1692)
Организм: свинья
Porcine Bestrophin 1(BEST1) ELISA kit (E07B0789)
Организм: свинья
Monkey Elastin ELISA kit (E09E0050)
Организм: обезьяна
Диапазон определения: 1-25 нг/мл
Чувствительность: 0.1 нг/мл
Диапазон определения: 1-25 нг/мл
Чувствительность: 0.1 нг/мл
Rat Elastin ELISA kit (E02E0050)
Организм: крыса
Диапазон определения: 25-500 нг/мл
Чувствительность: 1 нг/мл
Диапазон определения: 25-500 нг/мл
Чувствительность: 1 нг/мл
Recombinant Human ELN Protein(Trx Tag) (PDEH100642)
Источник (хозяин): E.coli
Организм: человек
Фрагмент: Gly501-Gly551
Теги: N-Trx
Биоактивность: нет
Организм: человек
Фрагмент: Gly501-Gly551
Теги: N-Trx
Биоактивность: нет

