| UNIPROT | P00388 |
| Иммуноген | RPD312Ra01-Recombinant Cytochrome P450 Reductase (CPR) |
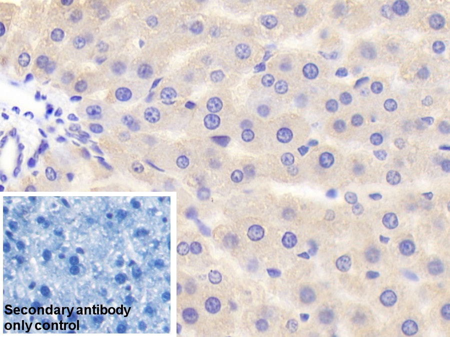
Polyclonal Antibody to Cytochrome P450 Reductase (CPR) (PAD312Ra01)
Реактивность подтвержденная:
крыса
Источник (хозяин):
кролик
Валидировано для:
IHC
WB
Характеристики
Техническое описание
| Русское название | PAD312Ra01 Поликлональное антитело к CPR (крыса) <Cloud-Clone,Китай> |
| Каталожный номер | PAD312Ra01 |
| Название антигена | Cytochrome P450 Reductase (CPR) |
| UNIPROT | P00388 |
| Иммуноген | RPD312Ra01-Recombinant Cytochrome P450 Reductase (CPR) |
| Английские синонимы | POR, CYPOR, P450R, P450(Cytochrome)Oxidoreductase, NADPH--cytochrome P450 reductase |
Реактивность подтвержденная Нужна другая реактивность? |
крыса |
| Реактивность предсказываемая | человек, мышь |
| Источник (хозяин) | кролик |
| Клональность | поликлональное |
| Рекомбинантное | нет |
| Готовое к использованию | нет |
| Концентрация | 500 мкг/мл |
| Конъюгат | По запросу: HRP, biotin, PerCP, PE, Cy3, FITC, Cy7, Cy5.5, PE-Cy5, PE-Cy7, PerCp-Cy5.5, APC, Cy5, PE-Cy3, PE-Cy5.5, APC-Cy7, Biotin-APC, FITC-Biotin, TRITC, APC-Cy5, AF488, AF594, AF405, AF555, AF700, AF647, AF750 |
| Валидировано для | IHC WB Иммуногистохимия; Вестерн-блоттинг |
| Рекомендуемые разведения | WB: 0.5-2 мкг/мл; IHC: 5-20 мкг/мл; ICC: 5-20 мкг/мл; Оптимальное разведение определяется конечным потребителем |
| Метод очистки | Антигенспецифическая аффинная хроматография с последующей аффинной хроматографией с белком А |
| Состав буфера | PBS, pH7.4, 0.02% NaN3, 50% глицерин |
| Условия доставки | термобокс с аккумуляторами холода |
| Условия хранения | Сразу после получения аликвотировать и хранить при -20ºС до 24 месяцев. Для частого использования хранить при +4ºС не более 2 недель. Избегать повторения циклов замерзания/оттаивания |
| Срок хранения | 24 месяца |
| Производитель | Cloud-Clone Corp. |
| Ссылка на страницу товара на сайте производителя | http://www.cloud-clone.com/products/PAD312Ra01.html |
|
Артикул
|
Наименование |
Производитель
|
|---|
|
Артикул
|
Наименование |
Производитель
|
|---|
|
Артикул
|
Наименование |
Производитель
|
|---|
Акции и предложения
Популярные продукты:
Mini Samples ELISA Kit for Amylin (MEA812Ra)
Организм: крыса
Диапазон определения: 12.35-1,000 пг/мл
Чувствительность: 5.7 пг/мл
Диапазон определения: 12.35-1,000 пг/мл
Чувствительность: 5.7 пг/мл
Chicken β parvin(PARVB) ELISA kit (E12B0959)
Организм: курица
Canine β parvin(PARVB) ELISA kit (E08B0959)
Организм: собака
Sheep Islet amyloid polypeptide ELISA kit (E14I0321)
Организм: овца
Monkey Galectin 1 ELISA kit (E09G0038)
Организм: обезьяна
Canine Platelet Factor 4 ELISA kit (E08P0085)
Организм: собака
Диапазон определения: 1-25 нг/мл
Чувствительность: 0.1 нг/мл
Диапазон определения: 1-25 нг/мл
Чувствительность: 0.1 нг/мл

