| UNIPROT | Q15438 |
| Иммуноген | RPB580Hu01-Recombinant Cytohesin 1 (CYTH1) |
Polyclonal Antibody to Cytohesin 1 (CYTH1) (PAB580Hu01)
Реактивность подтвержденная:
человек
Источник (хозяин):
кролик
Валидировано для:
FCM
IHC
WB
Характеристики
Техническое описание
| Русское название | PAB580Hu01 Поликлональное антитело к CYTH1 (человек) <Cloud-Clone,Китай> |
| Каталожный номер | PAB580Hu01 |
| Название антигена | Cytohesin 1 (CYTH1) |
| UNIPROT | Q15438 |
| Иммуноген | RPB580Hu01-Recombinant Cytohesin 1 (CYTH1) |
| Английские синонимы | CYT1, B2-1, SEC7, PSCD1, Pleckstrin Homology,Sec7 And Coiled-Coil Domains 1 |
Реактивность подтвержденная Нужна другая реактивность? |
человек |
| Реактивность предсказываемая | свинья |
| Источник (хозяин) | кролик |
| Клональность | поликлональное |
| Рекомбинантное | нет |
| Готовое к использованию | нет |
| Концентрация | 0.5 мг/мл |
| Конъюгат | По запросу: HRP, biotin, PerCP, PE, Cy3, FITC, Cy7, Cy5.5, PE-Cy5, PE-Cy7, PerCp-Cy5.5, APC, Cy5, PE-Cy3, PE-Cy5.5, APC-Cy7, Biotin-APC, FITC-Biotin, TRITC, APC-Cy5, AF488, AF594, AF405, AF555, AF700, AF647, AF750 |
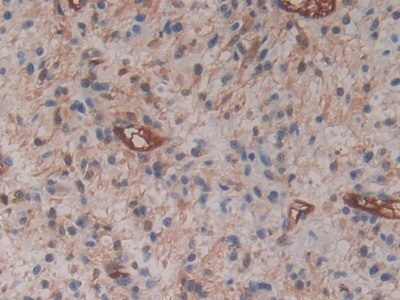
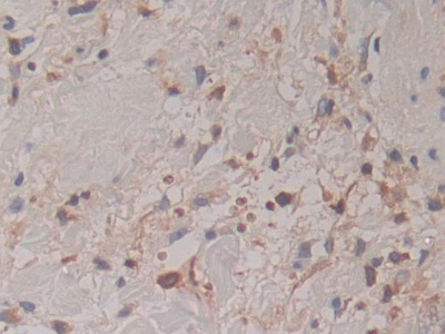
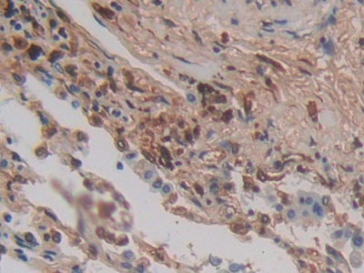
| Валидировано для | FCM IHC WB Проточная цитометрия; Иммуногистохимия; Вестерн-блоттинг |
| Рекомендуемые разведения | WB: 0.01-3 мкг/мл; IHC: 5-20 мкг/мл; ICC: 5-20 мкг/мл; FCM: 0.5-2 мкг на 10^6 клеток в 100 мкл. Оптимальное разведение определяется конечным потребителем |
| Метод очистки | Антигенспецифическая аффинная хроматография с последующей аффинной хроматографией с белком А |
| Состав буфера | 0.01M PBS, pH7.4, 0.05% Proclin-300, 50% глицерин |
| Условия доставки | термобокс с аккумуляторами холода |
| Условия хранения | Сразу после получения аликвотировать и хранить при -20ºС до 24 месяцев. Для частого использования хранить при +4ºС не более 2 недель. Избегать повторения циклов замерзания/оттаивания |
| Срок хранения | 24 месяца |
| Производитель | Cloud-Clone Corp. |
| Ссылка на страницу товара на сайте производителя | http://www.cloud-clone.com/products/PAB580Hu01.html |
|
Артикул
|
Наименование |
Производитель
|
|---|
|
Артикул
|
Наименование |
Производитель
|
|---|
Акции и предложения
Популярные продукты:
Porcine Argininosuccinate lyase(ASL) ELISA kit (E07A1722)
Организм: свинья
Bovine Crumbs homolog 1(CRB1) ELISA kit (E11C2038)
Организм: корова
Bovine Peroxiredoxin 6 ELISA kit (E11P0754)
Организм: корова
Rabbit Kallikrein 10 ELISA kit (E04K0070)
Организм: кролик
Fluor® 488 Anti-Mouse Ly6A/E(Sca-1) Antibody[D7] (FCE3339)
Источник (хозяин): крыса
Реактивность подтвержденная: мышь
Валидировано для: FCM
Реактивность подтвержденная: мышь
Валидировано для: FCM
Anti-HYOU1 Antibody (R2L17) (RHJ88501)
Источник (хозяин): кролик
Реактивность подтвержденная: человек
Валидировано для: IF, IHC, IP, WB
Реактивность подтвержденная: человек
Валидировано для: IF, IHC, IP, WB

