| UNIPROT | P19012 |
| Иммуноген | RPA517Hu02-Recombinant Cytokeratin 15 (CK15) |
Polyclonal Antibody to Cytokeratin 15 (CK15) (PAA517Hu02)
Реактивность подтвержденная:
человек
Источник (хозяин):
кролик
Валидировано для:
ICC
IHC
WB
Характеристики
Техническое описание
| Русское название | PAA517Hu02 Поликлональное антитело к CK15 (человек) <Cloud-Clone,Китай> |
| Каталожный номер | PAA517Hu02 |
| Название антигена | Keratin 15 (KRT15) |
| UNIPROT | P19012 |
| Иммуноген | RPA517Hu02-Recombinant Cytokeratin 15 (CK15) |
| Английские синонимы | CK15, K15, CK15, K1CO, KRTB, Cytokeratin 15, Keratin-15,Basic, Keratin-15,Beta, Keratin, type I cytoskeletal 15 |
Реактивность подтвержденная Нужна другая реактивность? |
человек |
| Реактивность предсказываемая | мышь, крыса |
| Источник (хозяин) | кролик |
| Клональность | поликлональное |
| Рекомбинантное | нет |
| Готовое к использованию | нет |
| Концентрация | 500 мкг/мл |
| Конъюгат | По запросу: HRP, biotin, PerCP, PE, Cy3, FITC, Cy7, Cy5.5, PE-Cy5, PE-Cy7, PerCp-Cy5.5, APC, Cy5, PE-Cy3, PE-Cy5.5, APC-Cy7, Biotin-APC, FITC-Biotin, TRITC, APC-Cy5, AF488, AF594, AF405, AF555, AF700, AF647, AF750 |
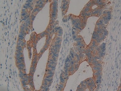
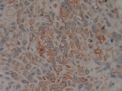
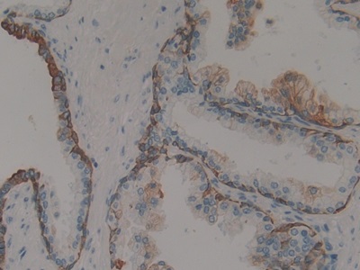
| Валидировано для | ICC IHC WB Иммуноцитохимия; Иммуногистохимия; Вестерн-блоттинг |
| Рекомендуемые разведения | WB: 0.2-2 мкг/мл; 1:250-2500; IHC: 5-20 мкг/мл; 1:25-100; ICC: 5-20 мкг/мл; 1:25-100; Оптимальное разведение определяется конечным потребителем |
| Метод очистки | Антигенспецифическая аффинная хроматография с последующей аффинной хроматографией с белком А |
| Состав буфера | 0.01M PBS, pH7.4, 0.05% Proclin-300, 50% глицерин |
| Условия доставки | термобокс с аккумуляторами холода |
| Условия хранения | Сразу после получения аликвотировать и хранить при -20ºС до 24 месяцев. Для частого использования хранить при +4ºС не более 2 недель. Избегать повторения циклов замерзания/оттаивания |
| Срок хранения | 24 месяца |
| Производитель | Cloud-Clone Corp. |
| Ссылка на страницу товара на сайте производителя | http://www.cloud-clone.com/products/PAA517Hu02.html |
|
Артикул
|
Наименование |
Производитель
|
|---|
|
Артикул
|
Наименование |
Производитель
|
|---|
|
Артикул
|
Наименование |
Производитель
|
|---|
|
Артикул
|
Наименование |
Производитель
|
|---|
|
Артикул
|
Наименование |
Производитель
|
|---|
Акции и предложения
Популярные продукты:
Anti-Desmoglein 3 Antibody (AK23) (RHE01406)
Источник (хозяин): человек
Реактивность подтвержденная: человек, мышь
Валидировано для: ELISA, IF, IP
Реактивность подтвержденная: человек, мышь
Валидировано для: ELISA, IF, IP
Anti-Calprotectin (CALPRO) Monoclonal Antibody (FAK504Hu04)
Источник (хозяин): мышь
Реактивность подтвержденная: человек
Валидировано для: FCM
Реактивность подтвержденная: человек
Валидировано для: FCM
Anti-Calprotectin (CALPRO) Monoclonal Antibody (FAK504Hu02)
Источник (хозяин): мышь
Реактивность подтвержденная: человек
Валидировано для: FCM
Реактивность подтвержденная: человек
Валидировано для: FCM
Monoclonal Antibody to Vinculin (VCL) (MAB839Hu24)
Источник (хозяин): мышь
Реактивность подтвержденная: человек
Валидировано для: WB
Реактивность подтвержденная: человек
Валидировано для: WB
Polyclonal Antibody to Wilms Tumor Protein (WT1) (PAF116Hu03)
Источник (хозяин): кролик
Реактивность подтвержденная: человек
Валидировано для: IHC, WB
Реактивность подтвержденная: человек
Валидировано для: IHC, WB
Chicken Parkinson Disease Protein 7 ELISA kit (E12P1009)
Организм: курица

