| UNIPROT | P08779 |
| Иммуноген | RPA516Hu01-Recombinant Cytokeratin 16 (CK16) |
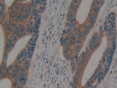
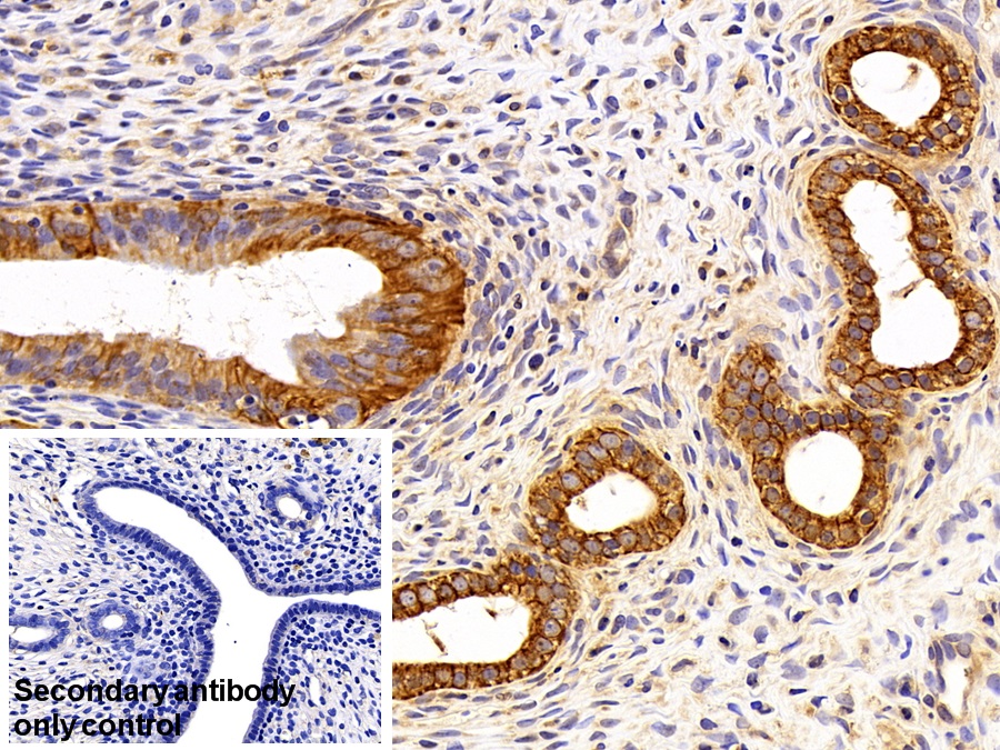
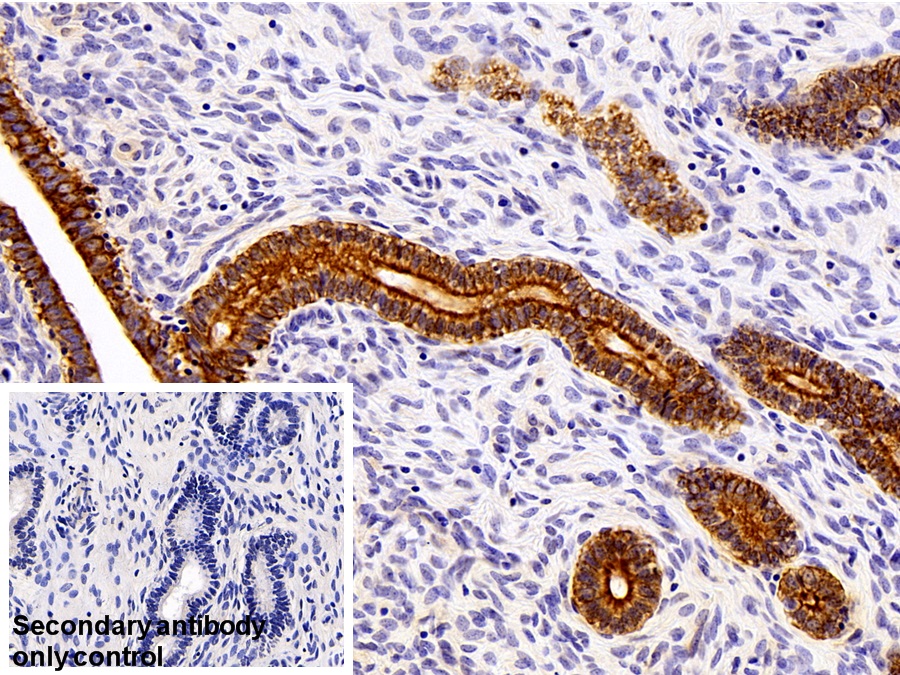
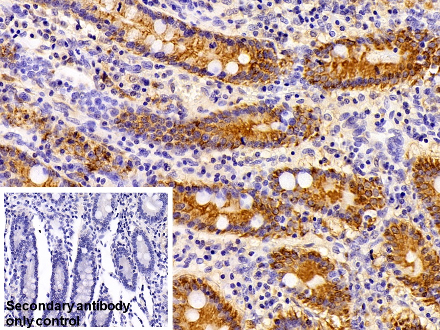
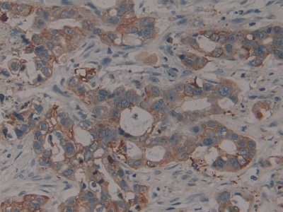
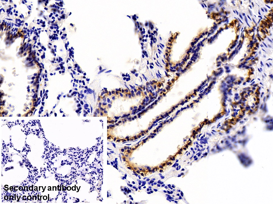
Polyclonal Antibody to Cytokeratin 16 (CK16) (PAA516Hu01)
Реактивность подтвержденная:
человек
Источник (хозяин):
кролик
Валидировано для:
IHC
WB
Характеристики
Публикации
Техническое описание
| Русское название | PAA516Hu01 Поликлональное антитело к CK16 (человек) <Cloud-Clone,Китай> |
| Каталожный номер | PAA516Hu01 |
| Название антигена | Keratin 16 (KRT16) |
| UNIPROT | P08779 |
| Иммуноген | RPA516Hu01-Recombinant Cytokeratin 16 (CK16) |
| Английские синонимы | CK16, NEPPK, Cytokeratin 16, Focal Non-Epidermolytic Palmoplantar Keratoderma, Keratin, type I cytoskeletal 16 |
Реактивность подтвержденная Нужна другая реактивность? |
человек |
| Реактивность предсказываемая | мышь, крыса |
| Источник (хозяин) | кролик |
| Клональность | поликлональное |
| Рекомбинантное | нет |
| Готовое к использованию | нет |
| Концентрация | 0.5 мг/мл |
| Конъюгат | По запросу: HRP, biotin, PerCP, PE, Cy3, FITC, Cy7, Cy5.5, PE-Cy5, PE-Cy7, PerCp-Cy5.5, APC, Cy5, PE-Cy3, PE-Cy5.5, APC-Cy7, Biotin-APC, FITC-Biotin, TRITC, APC-Cy5, AF488, AF594, AF405, AF555, AF700, AF647, AF750 |
| Валидировано для | IHC WB Иммуногистохимия; Вестерн-блоттинг |
| Рекомендуемые разведения | WB: 0.01-2 мкг/мл; IHC: 5-20 мкг/мл; ICC: 5-20 мкг/мл; Оптимальное разведение определяется конечным потребителем |
| Метод очистки | Антигенспецифическая аффинная хроматография с последующей аффинной хроматографией с белком А |
| Состав буфера | PBS, pH7.4, 0.02% NaN3, 50% глицерин |
| Условия доставки | термобокс с аккумуляторами холода |
| Условия хранения | Сразу после получения аликвотировать и хранить при -20ºС до 24 месяцев. Для частого использования хранить при +4ºС не более 2 недель. Избегать повторения циклов замерзания/оттаивания |
| Срок хранения | 24 месяца |
| Производитель | Cloud-Clone Corp. |
| Ссылка на страницу товара на сайте производителя | http://www.cloud-clone.com/products/PAA516Hu01.html |
|
Артикул
|
Наименование |
Производитель
|
|---|
|
Артикул
|
Наименование |
Производитель
|
|---|
Акции и предложения
Популярные продукты:
Porcine Retinoid isomerohydrolase(RPE65) ELISA kit (E07R0420)
Организм: свинья
MAP7 Polyclonal Antibody (E-AB-92587)
Источник (хозяин): кролик
Реактивность подтвержденная: человек
Валидировано для: WB
Реактивность подтвержденная: человек
Валидировано для: WB
Monoclonal Antibody to Interleukin 10 (IL10) (MAA056Ca21)
Источник (хозяин): мышь
Реактивность подтвержденная: собака
Валидировано для: WB
Реактивность подтвержденная: собака
Валидировано для: WB
Polyclonal Antibody to Cytokeratin 16 (CK16) (PAA516Hu01)
Источник (хозяин): кролик
Реактивность подтвержденная: человек
Валидировано для: IHC, WB
Реактивность подтвержденная: человек
Валидировано для: IHC, WB
Active Fibroblast Growth Factor 9 (FGF9) (APA036Hu01)
Источник (хозяин): E.coli
Организм: человек
Фрагмент: Met1-Ser208
Теги: N-концевой His-Tag
Биоактивность: да
Организм: человек
Фрагмент: Met1-Ser208
Теги: N-концевой His-Tag
Биоактивность: да
Recombinant Protein Tyrosine Phosphatase Receptor Type M (PTPRM) (RPA917Hu01)
Источник (хозяин): E.coli
Организм: человек
Фрагмент: Thr1197-Ser1403
Теги: N-концевой His-Tag
Биоактивность: нет
Организм: человек
Фрагмент: Thr1197-Ser1403
Теги: N-концевой His-Tag
Биоактивность: нет

