| UNIPROT | P05783 |
| Иммуноген | RPB231Hu01-Recombinant Cytokeratin 18 (CK18) |
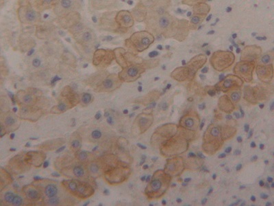
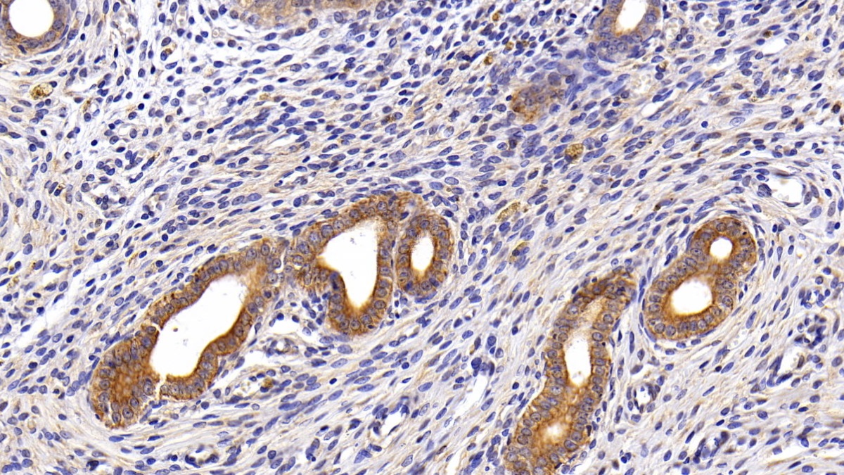
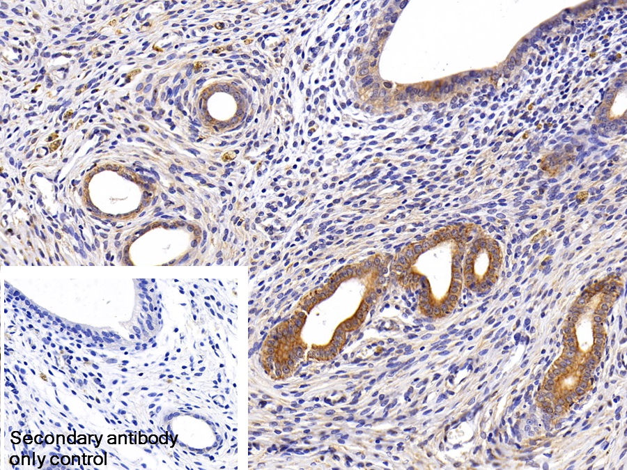
Polyclonal Antibody to Cytokeratin 18 (CK18) (PAB231Hu01)
Реактивность подтвержденная:
человек
Источник (хозяин):
кролик
Валидировано для:
IHC
WB
Характеристики
Техническое описание
| Русское название | PAB231Hu01 Поликлональное антитело к CK18 (человек) <Cloud-Clone,Китай> |
| Каталожный номер | PAB231Hu01 |
| Название антигена | Keratin 18 (KRT18) |
| UNIPROT | P05783 |
| Иммуноген | RPB231Hu01-Recombinant Cytokeratin 18 (CK18) |
| Английские синонимы | CK18, CYK18, K18, Cytokeratin 18, Cell proliferation-inducing gene 46 protein, Keratin, type I cytoskeletal 18 |
Реактивность подтвержденная Нужна другая реактивность? |
человек |
| Реактивность предсказываемая | крыса, свинья |
| Источник (хозяин) | кролик |
| Клональность | поликлональное |
| Рекомбинантное | нет |
| Готовое к использованию | нет |
| Концентрация | 0.5 мг/мл |
| Конъюгат | По запросу: HRP, biotin, PerCP, PE, Cy3, FITC, Cy7, Cy5.5, PE-Cy5, PE-Cy7, PerCp-Cy5.5, APC, Cy5, PE-Cy3, PE-Cy5.5, APC-Cy7, Biotin-APC, FITC-Biotin, TRITC, APC-Cy5, AF488, AF594, AF405, AF555, AF700, AF647, AF750 |
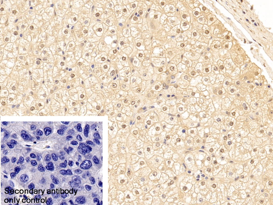
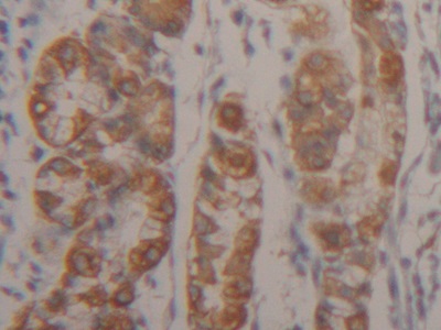
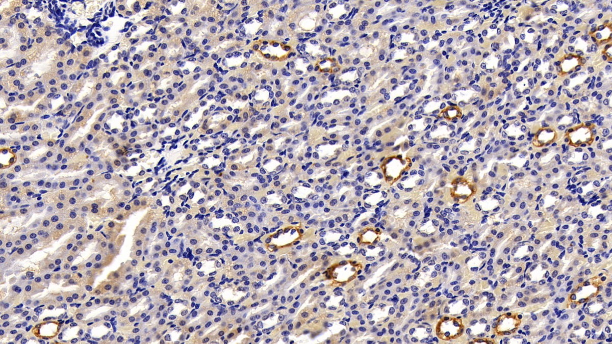
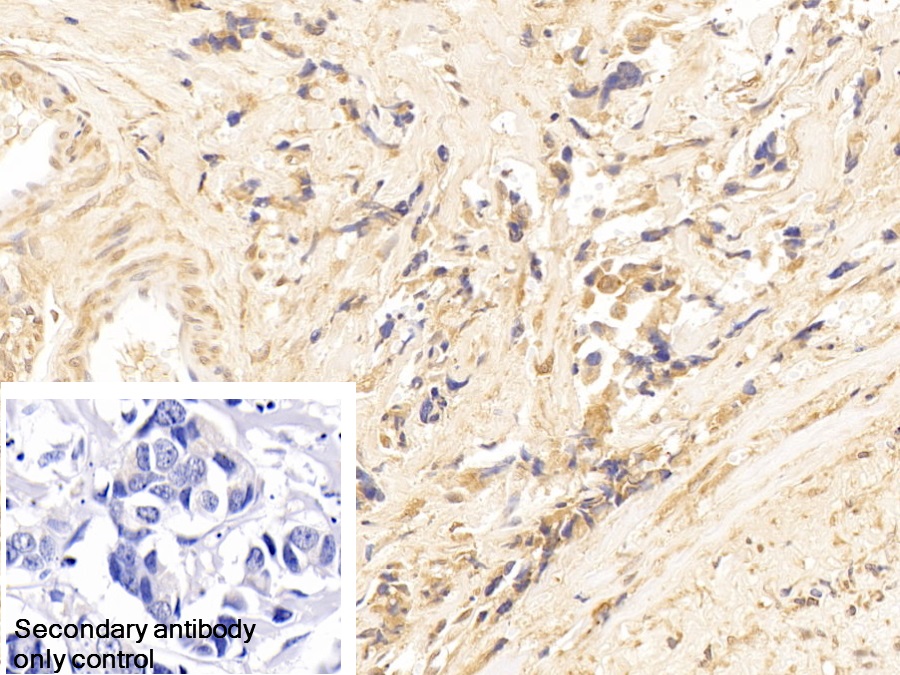
| Валидировано для | IHC WB Иммуногистохимия; Вестерн-блоттинг |
| Рекомендуемые разведения | WB: 0.01-2 мкг/мл; IHC: 5-20 мкг/мл; ICC: 5-20 мкг/мл; Оптимальное разведение определяется конечным потребителем |
| Метод очистки | Антигенспецифическая аффинная хроматография с последующей аффинной хроматографией с белком А |
| Состав буфера | 0.01M PBS, pH7.4, 0.05% Proclin-300, 50% глицерин |
| Условия доставки | термобокс с аккумуляторами холода |
| Условия хранения | Сразу после получения аликвотировать и хранить при -20ºС до 24 месяцев. Для частого использования хранить при +4ºС не более 2 недель. Избегать повторения циклов замерзания/оттаивания |
| Срок хранения | 24 месяца |
| Производитель | Cloud-Clone Corp. |
| Ссылка на страницу товара на сайте производителя | http://www.cloud-clone.com/products/PAB231Hu01.html |
|
Артикул
|
Наименование |
Производитель
|
|---|
|
Артикул
|
Наименование |
Производитель
|
|---|
|
Артикул
|
Наименование |
Производитель
|
|---|
|
Артикул
|
Наименование |
Производитель
|
|---|
|
Артикул
|
Наименование |
Производитель
|
|---|
|
Артикул
|
Наименование |
Производитель
|
|---|
|
Артикул
|
Наименование |
Производитель
|
|---|
|
Артикул
|
Наименование |
Производитель
|
|---|
|
Артикул
|
Наименование |
Производитель
|
|---|
Акции и предложения
Популярные продукты:
Polyclonal Antibody to Cytokeratin 18 (CK18) (PAB231Hu04)
Источник (хозяин): кролик
Реактивность подтвержденная: человек
Валидировано для: WB
Реактивность подтвержденная: человек
Валидировано для: WB
ELISA Kit for Carboxypeptidase A3 (CPA3) (SEC395Ra)
Организм: крыса
Диапазон определения: 0.781-50 нг/мл
Чувствительность: 0.84 нг/мл
Диапазон определения: 0.781-50 нг/мл
Чувствительность: 0.84 нг/мл
Bovine Anti livin antibody ELISA kit (E11A0023)
Организм: корова
Chicken Chordin(CHRD) ELISA kit (E12C1699)
Организм: курица
Goat Acetylcholinesterase ELISA kit (E06A0712)
Организм: коза
Bovine cytokein 18,CK 18 ELISA kit (E11C2328)
Организм: корова

