| UNIPROT | P08727 |
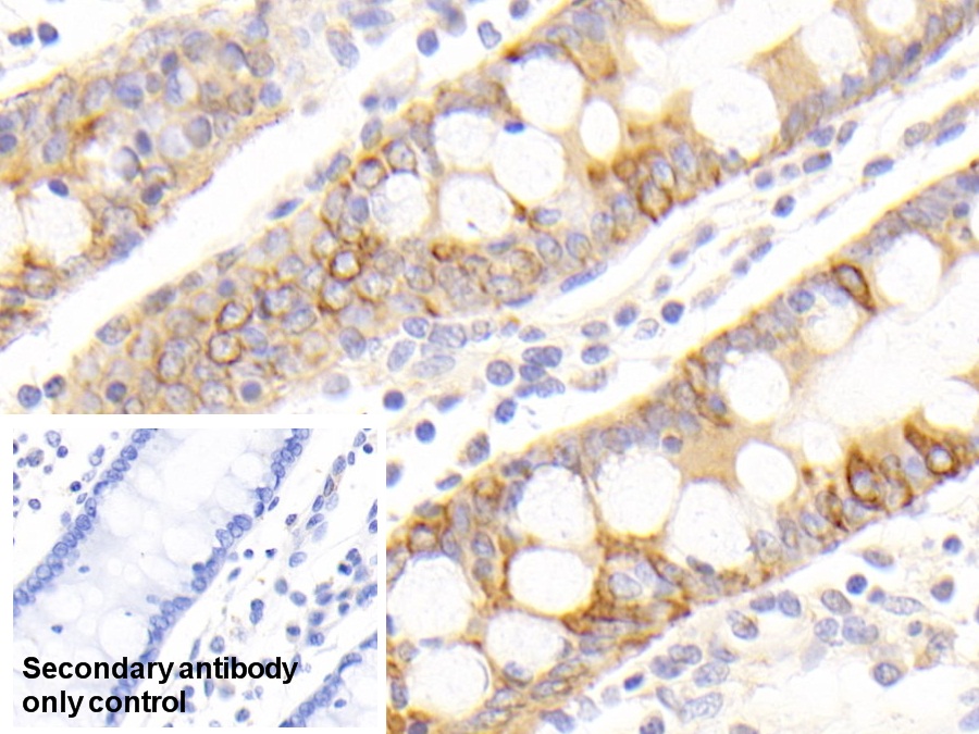
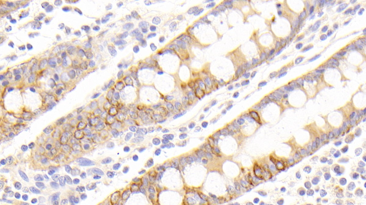
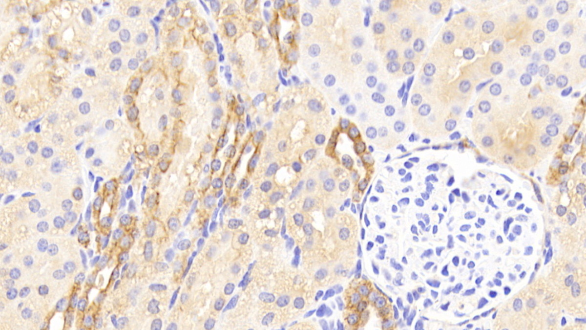
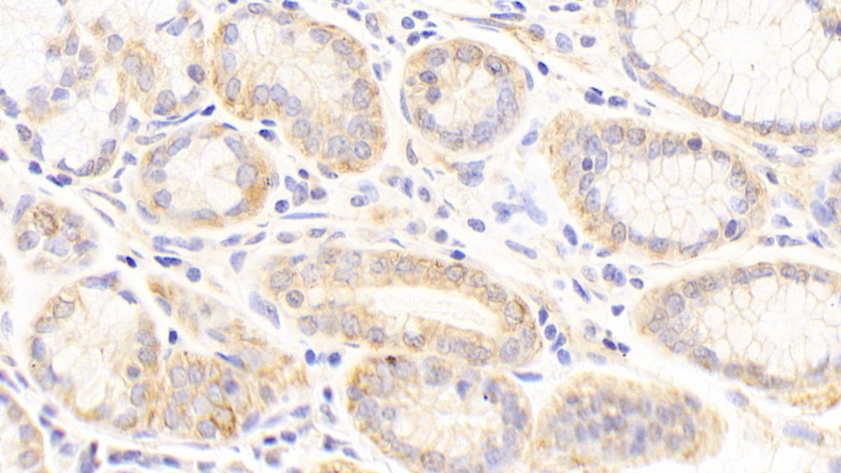
| Иммуноген | RPB239Hu02-Recombinant Cytokeratin 19 (CK19) |
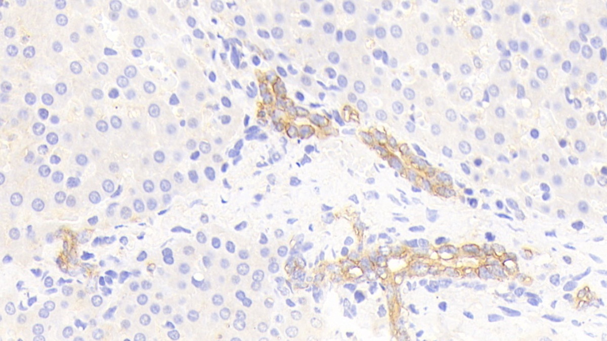
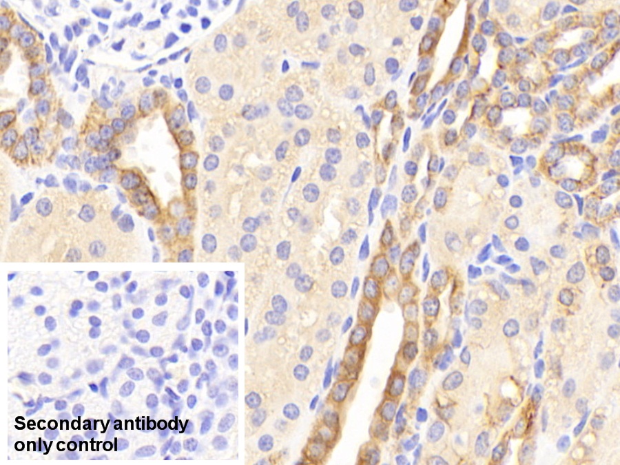
Polyclonal Antibody to Cytokeratin 19 (CK19) (PAB239Hu02)
Реактивность подтвержденная:
человек
Источник (хозяин):
кролик
Валидировано для:
IHC
WB
Характеристики
Техническое описание
| Русское название | PAB239Hu02 Поликлональное антитело к CK19 (человек) <Cloud-Clone,Китай> |
| Каталожный номер | PAB239Hu02 |
| Название антигена | Keratin 19 (KRT19) |
| UNIPROT | P08727 |
| Иммуноген | RPB239Hu02-Recombinant Cytokeratin 19 (CK19) |
| Английские синонимы | K19, CK19, K1CS, Cytokeratin 19, 40-kDa Keratin Intermediate Filament, Keratin, type I cytoskeletal 19 |
Реактивность подтвержденная Нужна другая реактивность? |
человек |
| Реактивность предсказываемая | крыса, свинья |
| Источник (хозяин) | кролик |
| Клональность | поликлональное |
| Рекомбинантное | нет |
| Готовое к использованию | нет |
| Концентрация | 0.5 мг/мл |
| Конъюгат | По запросу: HRP, biotin, PerCP, PE, Cy3, FITC, Cy7, Cy5.5, PE-Cy5, PE-Cy7, PerCp-Cy5.5, APC, Cy5, PE-Cy3, PE-Cy5.5, APC-Cy7, Biotin-APC, FITC-Biotin, TRITC, APC-Cy5, AF488, AF594, AF405, AF555, AF700, AF647, AF750 |
| Валидировано для | IHC WB Иммуногистохимия; Вестерн-блоттинг |
| Рекомендуемые разведения | WB: 0.01-2 мкг/мл; IHC: 5-20 мкг/мл; Оптимальное разведение определяется конечным потребителем |
| Метод очистки | Антигенспецифическая аффинная хроматография с последующей аффинной хроматографией с белком А |
| Состав буфера | 0.01M PBS, pH7.4, 0.05% Proclin-300, 50% глицерин |
| Условия доставки | термобокс с аккумуляторами холода |
| Условия хранения | Сразу после получения аликвотировать и хранить при -20ºС до 24 месяцев. Для частого использования хранить при +4ºС не более 2 недель. Избегать повторения циклов замерзания/оттаивания |
| Срок хранения | 24 месяца |
| Производитель | Cloud-Clone Corp. |
| Ссылка на страницу товара на сайте производителя | http://www.cloud-clone.com/products/PAB239Hu02.html |
|
Артикул
|
Наименование |
Производитель
|
|---|
|
Артикул
|
Наименование |
Производитель
|
|---|
|
Артикул
|
Наименование |
Производитель
|
|---|
|
Артикул
|
Наименование |
Производитель
|
|---|
|
Артикул
|
Наименование |
Производитель
|
|---|
|
Артикул
|
Наименование |
Производитель
|
|---|
|
Артикул
|
Наименование |
Производитель
|
|---|
Акции и предложения
Популярные продукты:
Monoclonal Antibody to Osteopontin (OPN) (MAA899Hu25)
Источник (хозяин): мышь
Реактивность подтвержденная: человек
Валидировано для: WB
Реактивность подтвержденная: человек
Валидировано для: WB
Monoclonal Antibody to Vascular Endothelial Growth Factor A (VEGFA) (MAA143Rb22)
Источник (хозяин): мышь
Реактивность подтвержденная: кролик
Валидировано для: WB
Реактивность подтвержденная: кролик
Валидировано для: WB
ELISA Kit for Actin Related Protein 3 (ACTR3) (SEL174Hu)
Организм: человек
Диапазон определения: 0.156-10 нг/мл
Чувствительность: 2.44 нг/мл
Диапазон определения: 0.156-10 нг/мл
Чувствительность: 2.44 нг/мл
Bovine Cyclosporine A ELISA kit (E11C0832)
Организм: корова
Human Adaptin ear binding coat associated protein 1(NECAP1) ELISA kit (E01A1931)
Организм: человек
Диапазон определения: 100-2500 пг/мл
Чувствительность: 1 пг/мл
Диапазон определения: 100-2500 пг/мл
Чувствительность: 1 пг/мл

