| UNIPROT | P35900 |
| Иммуноген | RPB240Hu01-Recombinant Cytokeratin 20 (CK 20) |
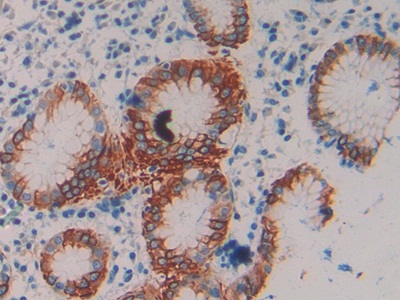
Polyclonal Antibody to Cytokeratin 20 (CK 20) (PAB240Hu01)
Реактивность подтвержденная:
человек
Источник (хозяин):
кролик
Валидировано для:
IHC
WB
Характеристики
Техническое описание
| Русское название | PAB240Hu01 Поликлональное антитело к CK 20 (человек) <Cloud-Clone,Китай> |
| Каталожный номер | PAB240Hu01 |
| Название антигена | Keratin 20 (KRT20) |
| UNIPROT | P35900 |
| Иммуноген | RPB240Hu01-Recombinant Cytokeratin 20 (CK 20) |
| Английские синонимы | CK20, Cytokeratin 20, Protein IT, Keratin, type I cytoskeletal 20 |
Реактивность подтвержденная Нужна другая реактивность? |
человек |
| Реактивность предсказываемая | свинья |
| Источник (хозяин) | кролик |
| Клональность | поликлональное |
| Рекомбинантное | нет |
| Готовое к использованию | нет |
| Концентрация | 0.5 мг/мл |
| Конъюгат | По запросу: HRP, biotin, PerCP, PE, Cy3, FITC, Cy7, Cy5.5, PE-Cy5, PE-Cy7, PerCp-Cy5.5, APC, Cy5, PE-Cy3, PE-Cy5.5, APC-Cy7, Biotin-APC, FITC-Biotin, TRITC, APC-Cy5, AF488, AF594, AF405, AF555, AF700, AF647, AF750 |
| Валидировано для | IHC WB Иммуногистохимия; Вестерн-блоттинг |
| Рекомендуемые разведения | WB: 0.01-2 мкг/мл; IHC: 5-20 мкг/мл; IF: 5-20 мкг/мл; Оптимальное разведение определяется конечным потребителем |
| Метод очистки | Антигенспецифическая аффинная хроматография с последующей аффинной хроматографией с белком А |
| Состав буфера | PBS, pH7.4, 0.02% NaN3, 50% глицерин |
| Условия доставки | термобокс с аккумуляторами холода |
| Условия хранения | Сразу после получения аликвотировать и хранить при -20ºС до 24 месяцев. Для частого использования хранить при +4ºС не более 2 недель. Избегать повторения циклов замерзания/оттаивания |
| Срок хранения | 24 месяца |
| Производитель | Cloud-Clone Corp. |
| Ссылка на страницу товара на сайте производителя | http://www.cloud-clone.com/products/PAB240Hu01.html |
|
Артикул
|
Наименование |
Производитель
|
|---|
|
Артикул
|
Наименование |
Производитель
|
|---|
|
Артикул
|
Наименование |
Производитель
|
|---|
|
Артикул
|
Наименование |
Производитель
|
|---|
|
Артикул
|
Наименование |
Производитель
|
|---|
Акции и предложения
Популярные продукты:
Porcine Argininosuccinate lyase(ASL) ELISA kit (E07A1722)
Организм: свинья
Bovine Crumbs homolog 1(CRB1) ELISA kit (E11C2038)
Организм: корова
Bovine Peroxiredoxin 6 ELISA kit (E11P0754)
Организм: корова
Bovine Homovanillic acid ELISA kit (E11H0326)
Организм: корова
Goat Dopamine Receptor D1 ELISA kit (E06D0044)
Организм: коза
Rabbit Kallikrein 10 ELISA kit (E04K0070)
Организм: кролик

