| UNIPROT | P19013 |
| Иммуноген | RPC025Hu02-Recombinant Cytokeratin 8 (CK8) |
Polyclonal Antibody to Cytokeratin 4 (CK4) (PAA489Hu01)
Реактивность подтвержденная:
человек
Источник (хозяин):
кролик
Валидировано для:
IHC
WB
Характеристики
Техническое описание
| Русское название | PAA489Hu01 Поликлональное антитело к CK4 (человек) <Cloud-Clone,Китай> |
| Каталожный номер | PAA489Hu01 |
| Название антигена | Keratin 4 (KRT4) |
| UNIPROT | P19013 |
| Иммуноген | RPC025Hu02-Recombinant Cytokeratin 8 (CK8) |
| Английские синонимы | CYK4, CK4, K4, Cytokeratin 4, Keratin, type II cytoskeletal 4, Type-II keratin Kb4 |
Реактивность подтвержденная Нужна другая реактивность? |
человек |
| Реактивность предсказываемая | мышь |
| Источник (хозяин) | кролик |
| Клональность | поликлональное |
| Рекомбинантное | нет |
| Готовое к использованию | нет |
| Концентрация | 0.5 мг/мл |
| Конъюгат | По запросу: HRP, biotin, PerCP, PE, Cy3, FITC, Cy7, Cy5.5, PE-Cy5, PE-Cy7, PerCp-Cy5.5, APC, Cy5, PE-Cy3, PE-Cy5.5, APC-Cy7, Biotin-APC, FITC-Biotin, TRITC, APC-Cy5, AF488, AF594, AF405, AF555, AF700, AF647, AF750 |
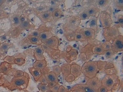
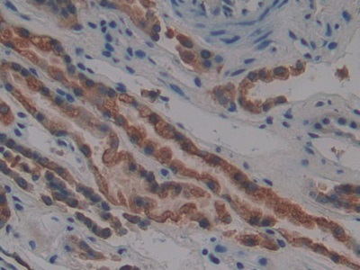
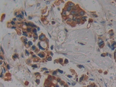
| Валидировано для | IHC WB Иммуногистохимия; Вестерн-блоттинг |
| Рекомендуемые разведения | WB: 0.5-2 мкг/мл; IHC: 5-20 мкг/мл; ICC: 5-20 мкг/мл; Оптимальное разведение определяется конечным потребителем |
| Метод очистки | Антигенспецифическая аффинная хроматография с последующей аффинной хроматографией с белком А |
| Состав буфера | 0.01M PBS, pH7.4, 0.05% Proclin-300, 50% глицерин |
| Условия доставки | термобокс с аккумуляторами холода |
| Условия хранения | Сразу после получения аликвотировать и хранить при -20ºС до 24 месяцев. Для частого использования хранить при +4ºС не более 2 недель. Избегать повторения циклов замерзания/оттаивания |
| Срок хранения | 24 месяца |
| Производитель | Cloud-Clone Corp. |
| Ссылка на страницу товара на сайте производителя | http://www.cloud-clone.com/products/PAA489Hu01.html |
|
Артикул
|
Наименование |
Производитель
|
|---|
|
Артикул
|
Наименование |
Производитель
|
|---|
|
Артикул
|
Наименование |
Производитель
|
|---|
|
Артикул
|
Наименование |
Производитель
|
|---|
|
Артикул
|
Наименование |
Производитель
|
|---|
|
Артикул
|
Наименование |
Производитель
|
|---|
Акции и предложения
Популярные продукты:
19-methyltestosterone/19-NT ELISA Kit (KSN45601)
Организм: для всех
Диапазон определения: 1.56 - 100 нг/мл
Чувствительность: 0.5 нг/мл
Диапазон определения: 1.56 - 100 нг/мл
Чувствительность: 0.5 нг/мл
Chicken Alpha mannosidase 2C1(MAN2C1) ELISA kit (E12A1905)
Организм: курица
Goat Alpha mannosidase 2C1(MAN2C1) ELISA kit (E06A1905)
Организм: коза
Chicken Cathepsin W(CTSW) ELISA kit (E12C2170)
Организм: курица
Porcine Cathepsin W(CTSW) ELISA kit (E07C2170)
Организм: свинья
Canine Thymidine kinase, cytosolic(TK1) ELISA kit (E08T0694)
Организм: собака
Диапазон определения: 0.5-10 нг/мл
Чувствительность: 0.1 нг/мл
Диапазон определения: 0.5-10 нг/мл
Чувствительность: 0.1 нг/мл

