| UNIPROT | Q6P6Q2 |
| Иммуноген | RPA488Ra01-Recombinant Cytokeratin 5 (CK5) |
Polyclonal Antibody to Cytokeratin 5 (CK5) (PAA488Ra01)
Реактивность подтвержденная:
крыса
Источник (хозяин):
кролик
Валидировано для:
IHC
WB
Характеристики
Техническое описание
| Русское название | PAA488Ra01 Поликлональное антитело к CK5 (крыса) <Cloud-Clone,Китай> |
| Каталожный номер | PAA488Ra01 |
| Название антигена | Keratin 5 (KRT5) |
| UNIPROT | Q6P6Q2 |
| Иммуноген | RPA488Ra01-Recombinant Cytokeratin 5 (CK5) |
| Английские синонимы | CK5, DDD, EBS2, K5, KRT5A, KRT5-A, Cytokeratin 5, 58 kDa cytokeratin, Type-II keratin Kb5, Epidermolysis Bullosa Simplex Dowling-Meara/Kobner/Weber-Cockayne Types |
Реактивность подтвержденная Нужна другая реактивность? |
крыса |
| Источник (хозяин) | кролик |
| Клональность | поликлональное |
| Рекомбинантное | нет |
| Готовое к использованию | нет |
| Концентрация | 500 мкг/мл |
| Конъюгат | По запросу: HRP, biotin, PerCP, PE, Cy3, FITC, Cy7, Cy5.5, PE-Cy5, PE-Cy7, PerCp-Cy5.5, APC, Cy5, PE-Cy3, PE-Cy5.5, APC-Cy7, Biotin-APC, FITC-Biotin, TRITC, APC-Cy5, AF488, AF594, AF405, AF555, AF700, AF647, AF750 |
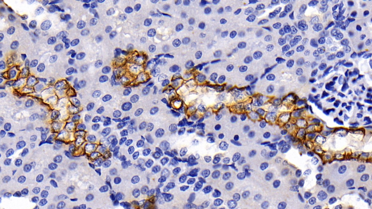
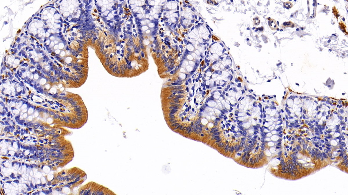
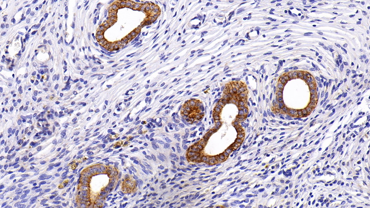
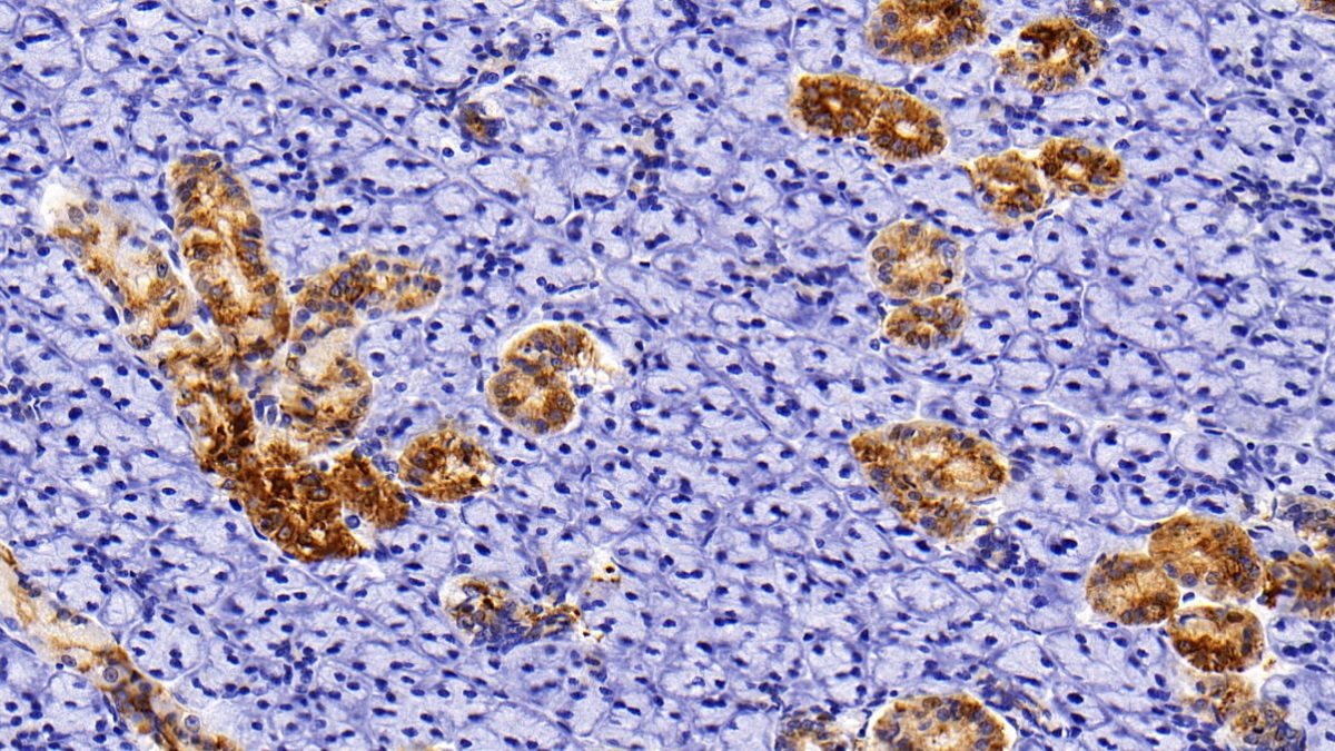
| Валидировано для | IHC WB Иммуногистохимия; Вестерн-блоттинг |
| Рекомендуемые разведения | WB: 0.5-2 мкг/мл; IHC: 5-20 мкг/мл; ICC: 5-20 мкг/мл; Оптимальное разведение определяется конечным потребителем |
| Метод очистки | Антигенспецифическая аффинная хроматография с последующей аффинной хроматографией с белком А |
| Состав буфера | PBS, pH7.4, 0.02% NaN3, 50% глицерин |
| Условия доставки | термобокс с аккумуляторами холода |
| Условия хранения | Сразу после получения аликвотировать и хранить при -20ºС до 24 месяцев. Для частого использования хранить при +4ºС не более 2 недель. Избегать повторения циклов замерзания/оттаивания |
| Срок хранения | 24 месяца |
| Производитель | Cloud-Clone Corp. |
| Ссылка на страницу товара на сайте производителя | http://www.cloud-clone.com/products/PAA488Ra01.html |
|
Артикул
|
Наименование |
Производитель
|
|---|
|
Артикул
|
Наименование |
Производитель
|
|---|
|
Артикул
|
Наименование |
Производитель
|
|---|
|
Артикул
|
Наименование |
Производитель
|
|---|
|
Артикул
|
Наименование |
Производитель
|
|---|
|
Артикул
|
Наименование |
Производитель
|
|---|
Акции и предложения
Популярные продукты:
GIRK1/KIR3.1/KCNJ3 Mouse Monoclonal Antibody (BF8614)
Источник (хозяин): мышь
Реактивность подтвержденная: человек, мышь
Валидировано для: WB
Реактивность подтвержденная: человек, мышь
Валидировано для: WB
VWA5A Mouse Monoclonal Antibody (BF9351)
Источник (хозяин): мышь
Реактивность подтвержденная: человек
Валидировано для: WB
Реактивность подтвержденная: человек
Валидировано для: WB
ELISA Kit DIY Materials for Interleukin 17C (IL17C) (KSD347Hu01)
Организм: человек
Диапазон определения: 15.6-1000 пг/мл
Чувствительность: 5.7 пг/мл
Диапазон определения: 15.6-1000 пг/мл
Чувствительность: 5.7 пг/мл
Rat Cytochrome b reductase 1(CYBRD1) ELISA kit (E02C2213)
Организм: крыса
Mouse X Box Binding Protein 1 ELISA kit (E03X0002)
Организм: мышь
Chicken Free cholesterol ELISA kit (E12F0212)
Организм: курица
Диапазон определения: 5-100 нг/мл
Чувствительность: 1 нг/мл
Диапазон определения: 5-100 нг/мл
Чувствительность: 1 нг/мл

